Phone:
+1 877 302 8632
Fax:
+1 888 205 9894 (Toll-free)
E-Mail:
orders@antibodies-online.com

Tubulin, beta Antibodies

(Tubulin, beta (TUBB))

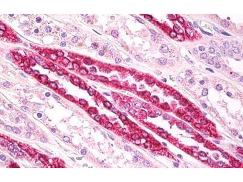
Choose one of 231 TUBB antibodies from our product listing based on 38 publications and 159 validation images.

Explore reliable TUBB antibodies from a broad selection of renowned manufacturers. Our portfolio enables accurate TUBB detection across multiple species, including Human, Mouse, Rat, Pig, Rabbit, Chicken, Monkey, Cow, Dog, Zebrafish (Danio rerio), Hamster, Drosophila melanogaster, Xenopus tropicalis, Saccharomyces cerevisiae, Xenopus laevis, Insect, Plant, Sheep, Arabidopsis thaliana, Fish, Goat, Horse, Tetrahymena, Arabidopsis, Bat, and supports diverse research applications such as WB, FACS, IHC, IF, ELISA.

Quickly find the right antibody using our search, filter, and comparison tools. Each product page provides detailed validation data, literature references, and customer feedback. Unlike comparison-only resources, you can conveniently purchase antibodies directly through our site. Choose from polyclonal, monoclonal, or recombinant TUBB antibodies derived from various hosts such as Rabbit, Mouse, Human. Browse our products below and order directly to support your research with confidence.

Alternative names for TUBB are TUBB, czcC, tbb-6, tubb, LOC462399, betaTub56D, betaTub60D, betaTub85D, betaTub97EF, Tub1, Tub3, Tub2, Tub4, TVAG_525430, TVAG_062880, TVAG_456920, LOC100101153, TUBB6, Tb927.1.2330, Tb927.1.2350, Tb927.1.2370, Tb927.1.2390, tubb.L, Tubb, LOC693049, LOC443015, Tubb5.

231 results

TUBB Reactivity: Human WB, IF, ICC, IHC (p), IHC (wm) Host: Rabbit Polyclonal unconjugated
Pubmed 4 references
Catalog No. ABIN2854998
$564.19
Plus shipping costs $50.00
100 μL
Shipping to: United States
Delivery in 3 to 5 Business Days
 
TUBB Reactivity: Human WB, IHC, IF Host: Rabbit Polyclonal unconjugated
Pubmed 8 references
Catalog No. ABIN3020553
$220.00
Plus shipping costs $50.00
100 μL (More quantities available)
Shipping to: United States
Delivery in 7 to 10 Business Days
 
TUBB Reactivity: Human, Mouse, Rat, Pig, Chicken, Tetrahymena, Fish, Nicotiana tabacum, Arabidopsis, Paramecium WB, ICC, IHC (p) Host: Mouse Monoclonal TU-06 unconjugated
Pubmed 6 references
Catalog No. ABIN93914
$461.77
Plus shipping costs $50.00
100 μg
Shipping to: United States
Delivery in 5 to 9 Business Days
 
TUBB Reactivity: Human WB, IHC, IF, ICC Host: Rabbit Polyclonal unconjugated
Catalog No. ABIN7443818
$339.17
Plus shipping costs $50.00
100 μL (More quantities available)
Shipping to: United States
Delivery in 13 to 17 Business Days
 
TUBB Reactivity: Human WB, IHC, ICC, IP Host: Mouse Monoclonal C6 unconjugated
Catalog No. ABIN7428434
$374.22
Plus shipping costs $50.00
100 μL (More quantities available)
Shipping to: United States
Delivery in 13 to 17 Business Days
 
TUBB Reactivity: Human WB Host: Mouse Monoclonal C3 unconjugated
Catalog No. ABIN7428962
$360.20
Plus shipping costs $50.00
100 μL (More quantities available)
Shipping to: United States
Delivery in 13 to 17 Business Days
 
TUBB Reactivity: Human, Mouse, Rat, Rabbit WB, ELISA, FACS, IHC (p), IF (p), IF (cc), IHC (fro) Host: Rabbit Polyclonal unconjugated
Pubmed 3 references
Catalog No. ABIN706721
$129.85
Plus shipping costs $50.00
100 μL
Shipping to: United States
Delivery in 4 to 7 Business Days
 
TUBB Reactivity: Human, Mouse, Rat WB, IF, IHC (p) Host: Mouse Monoclonal 87CT59-3-7 unconjugated
Pubmed 1 reference
Catalog No. ABIN387758
$451.00
Plus shipping costs $50.00
400 μL (More quantities available)
Shipping to: United States
Delivery in 10 to 12 Business Days
 
TUBB Reactivity: Human WB, ELISA, IHC (p) Host: Mouse Monoclonal 3B3 unconjugated
Pubmed 2 references
Catalog No. ABIN531302
$520.15
Plus shipping costs $50.00
100 μg
Shipping to: United States
Delivery in 11 to 14 Business Days
 
TUBB Reactivity: Human, Mouse WB, IHC, IF, ICC, IHC (p) Host: Rabbit Polyclonal unconjugated
Catalog No. ABIN1501915
$728.20
Plus shipping costs $50.00
100 μL
Shipping to: United States
Delivery in 11 to 15 Business Days
 
TUBB Reactivity: Human, Mouse, Rat, Rabbit, Chicken, Monkey, Dog, Hamster, Saccharomyces cerevisiae, Insect, Sheep WB, IF, IHC (p) Host: Mouse Monoclonal 8B2 unconjugated
Catalog No. ABIN7250854
$310.80
Plus shipping costs $50.00
200 μL (More quantities available)
Shipping to: United States
Delivery in 11 to 15 Business Days
 
TUBB Reactivity: Mouse WB, FACS Host: Rabbit Polyclonal RB57742 unconjugated
Catalog No. ABIN6242661
$451.00
Plus shipping costs $50.00
200 μL (More quantities available)
Shipping to: United States
Delivery in 10 to 12 Business Days
 
TUBB Reactivity: Mouse, Rat WB, FACS, IHC (p) Host: Rabbit Polyclonal RB55944 unconjugated
Catalog No. ABIN6242660
$451.00
Plus shipping costs $50.00
200 μL (More quantities available)
Shipping to: United States
Delivery in 10 to 12 Business Days
 
TUBB Reactivity: Mouse, Rat WB, IF, FACS Host: Rabbit Polyclonal RB55943 unconjugated
Catalog No. ABIN6242659
$451.00
Plus shipping costs $50.00
200 μL (More quantities available)
Shipping to: United States
Delivery in 10 to 12 Business Days
 
TUBB Reactivity: Human, Mouse, Rat, Rabbit, Chicken, Monkey, Dog, Hamster WB, IHC, IP Host: Mouse Monoclonal Mix unconjugated
Catalog No. ABIN3181209
$402.79
Plus shipping costs $50.00
100 μL (More quantities available)
Shipping to: United States
Delivery in 11 to 15 Business Days
 
TUBB Reactivity: Human WB, ELISA Host: Rabbit Chimeric S11B unconjugated Recombinant Antibody
Catalog No. ABIN5668109
$624.00
Plus shipping costs $50.00
200 μg
Shipping to: United States
Delivery in 7 to 13 Business Days
 
TUBB Reactivity: Human, Mouse, Rat, Rabbit, Chicken, Monkey, Dog, Hamster, Saccharomyces cerevisiae, Insect, Sheep WB, IHC Host: Mouse Monoclonal 5G3 unconjugated
Catalog No. ABIN3181102
$402.79
Plus shipping costs $50.00
100 μL (More quantities available)
Shipping to: United States
Delivery in 11 to 15 Business Days
 
TUBB Reactivity: Human, Mouse, Rat, Pig, Cow WB, IF, ELISA, IHC (p) Host: Rabbit Polyclonal unconjugated
Catalog No. ABIN7210626
$367.10
Plus shipping costs $50.00
100 μL
Shipping to: United States
Delivery in 12 to 16 Business Days
 
TUBB Reactivity: Human, Mouse, Rat, Pig WB, ELISA, FACS, IHC (p), IF (p), IF (cc), IHC (fro) Host: Rabbit Polyclonal unconjugated
Pubmed 2 references
Catalog No. ABIN726320
$129.85
Plus shipping costs $50.00
100 μL
Shipping to: United States
Delivery in 4 to 7 Business Days
 
TUBB Reactivity: Human, Mouse, Rat, Rabbit, Pig, Chicken, Monkey, Dog, Cow, Hamster, Xenopus laevis, Horse, Bat WB, IHC, IHC (p) Host: Rabbit Polyclonal unconjugated
Catalog No. ABIN1100230
$476.30
Plus shipping costs $50.00
50 μg
Shipping to: United States
Delivery in 11 to 15 Business Days
 
  • Type Primary
    • Primary
  • Application
    • Western Blotting (WB)
    • Flow Cytometry (FACS)
    • Immunohistochemistry (IHC)
    • Immunofluorescence (IF)
    • ELISA
    • Immunocytochemistry (ICC)
    • Immunofluorescence (Paraffin-embedded Sections) (IF (p))
    • Immunohistochemistry (Paraffin-embedded Sections) (IHC (p))
    • Immunofluorescence (Cultured Cells) (IF (cc))
    • Immunoprecipitation (IP)
    • Immunohistochemistry (Frozen Sections) (IHC (fro))
    • Dot Blot (DB)
    • Immunochromatography (IC)
    • Immunofluorescence (fixed cells) (IF/ICC)
    • Blocking Antibody (Inhibition)
    • Enzyme Immunoassay (EIA)
    • Immunohistochemistry (Formalin-fixed Paraffin-embedded Sections) (IHC (fp))
    • Immunostaining (ISt)
    • Intracellular Flow Cytometry (ICFC)
    • Immunohistochemistry (Whole Mount) (IHC (wm))
  • Reactivity
    • Human
    • Mouse
    • Rat
    • Pig
    • Rabbit
    • Chicken
    • Monkey
    • Cow
    • Dog
    • Zebrafish (Danio rerio)
    • Hamster
    • Drosophila melanogaster
    • Xenopus tropicalis
    • Saccharomyces cerevisiae
    • Xenopus laevis
    • Insect
    • Plant
    • Sheep
    • Arabidopsis thaliana
    • Fish
    • Goat
    • Horse
    • Tetrahymena
    • Arabidopsis
    • Bat
    • C. elegans
    • Chlamydomonas
    • Dictyostelium sp.
    • Guinea Pig
    • Nicotiana tabacum
    • Alfalfa
    • Bacteria
    • Carp
    • Chlamydomonas reinhardtii
    • Frog
    • Mammalian
    • Paramecium
    • Primate
    • Protozoa
    • Schizosaccharomyces pombe
  • Cited in publications
  • Images available
  • Carrier free only
  • Host
    • Rabbit
    • Mouse
    • Human
    • Goat
    • Human Cells
  • Clonality
    • Monoclonal
    • Polyclonal
    • Chimeric
  • Clone
    • 7G3
    • S11B
    • TU-06
    • TUB-2
    • 5F7
    • 16E11D4
    • 3B3
    • 5G3
    • AT5B2
    • BT7R
    • C3
    • TU-12
    • TU-13
    • 13k134
    • 17T13
    • 17T15
    • 1E1-E8-H4
    • 1TUB-2A2
    • 24GB7860
    • 24GB7875
    • 24GB7895
    • 2E11
    • 2F11
    • 2G7D4
    • 3K5
    • 5E4
    • 7C2
    • 7D3
    • 7H79
    • 87CT59-3-7
    • 8B2
    • 9F3
    • A488
    • BLR236K
    • C4
    • C4-2
    • C5
    • M7
    • Mix
    • PT0505R
    • RB55943
    • RB55944
    • RB57742
    • SPM178
  • Binding Specificity
    • AA 61-160
    • AA 1-50
    • N-Term
    • C-Term
    • acLys379
    • AA 170-419
    • AA 1-100
    • AA 1-445
    • AA 200-444
    • AA 400-444
    • AA 401-450
    • AA 417-435
    • AA 46-78
    • Chain alpha
    • Chain beta
    • Gly434
    • AA 1-444
    • AA 160-447
    • AA 202-292
    • AA 238-429
    • AA 238-439
    • AA 298-328
    • AA 36-85
    • AA 370-450
    • AA 383-412
    • AA 4-31
    • AA 40-260
  • Conjugate
    • Un-conjugated
    • Biotin
    • HRP
    • Alexa Fluor 555
    • Alexa Fluor 488
    • Alexa Fluor 594
    • Alexa Fluor 647
    • Alexa Fluor 680
    • Alexa Fluor 750
    • AbBy Fluor® 350
    • AbBy Fluor® 488
    • AbBy Fluor® 555
    • AbBy Fluor® 594
    • AbBy Fluor® 647
    • AbBy Fluor® 680
    • AbBy Fluor® 750
    • Cy3
    • Cy5
    • Cy5.5
    • Cy7
    • FITC
    • Alexa Fluor 350
    • Alexa Fluor 405
    • PE
    • Magnetic Particles
    • Sepharose
  • Isotype
    • IgG
    • IgG1
    • IgM
    • IgG2a
    • Ig Fraction
    • IgG2b
    • IgG2b kappa
    • IgG1 kappa
    • IgG2a kappa
    • kappa
    • Ig kappa
    • IgG lambda
    • IgG1 lambda
    • IgG2
    • IgG2 lambda
    • IgG3
    • IgG3 kappa
  • Protein Type
    • Recombinant Antibody
  • Format
    • Liquid
    • Lyophilized
  • Supplier
    • antibodies-online
    • Signalway
    • Cohesion Biosciences
    • USBio
    • Biomatik
    • Boster Bio
    • Agrisera
    • Abbexa
    • Acris
    • Enogene Biotech
    • CUSABIO
    • Covalab
    • NSJ Bioreagents
    • ProteoGenix
    • Abeomics
    • Assay Biotechnology Company, Inc.
    • Aviva Systems Biology
    • Elabscience
    • Epitope Biotech
    • RayBiotech

Latest Publications for our Tubulin, beta Antibodies

Xu, Sun, Zeng, Xu, Chen, Xu, Zhang, Cao, Tang, Wu, Kong, Zeng, Mao: "Anti-bacterial and anti-viral nanchangmycin displays anti-myeloma activity by targeting Otub1 and c-Maf." in: Cell death & disease, Vol. 11, Issue 9, pp. 818, (2021) (PubMed).

Tan, Wang, Wang, Zeng, Hong, Li, Yang, Cai, Zheng, Wu, Gu: "Genome-Wide Analysis of H3K27me3 in Porcine Embryonic Muscle Development." in: Frontiers in cell and developmental biology, Vol. 9, pp. 739321, (2021) (PubMed).

Feng, Zhao, Liu, Peng, Duan, Yan, Wu, Wang, Deng, Duan: "Role of Nrf2 in Lipopolysaccharide-Induced Acute Kidney Injury: Protection by Human Umbilical Cord Blood Mononuclear Cells." in: Oxidative medicine and cellular longevity, Vol. 2020, pp. 6123459, (2021) (PubMed).

Niu, Zheng, Xue, Cheng, Liu, Wang, Hu, Zhang, Liu, Xu: "Two coupled mutations abolished the binding of CEBPB to the promoter of CXCL14 that displayed an antiviral effect on PRRSV by activating IFN signaling." in: FASEB journal : official publication of the Federation of American Societies for Experimental Biology, Vol. 34, Issue 8, pp. 11257-11271, (2021) (PubMed).

Dai, Zhou, Zhang, Ge: "Bletilla striata Polysaccharide Prevents Restenosis of Vein Graft Through Inhibiting Cell Proliferation in Rat Model." in: Cell transplantation, Vol. 29, pp. 963689720969173, (2021) (PubMed).

Tan, Hong, Qiao, Zhou, Xing, Yan, Zheng, Cai, Huang, Wu, Gu: "Identification and Expression Pattern of EZH2 in Pig Developing Fetuses." in: BioMed research international, Vol. 2020, pp. 5315930, (2021) (PubMed).

Dong, Sun, Zhang, Li, Yuan, Mao, Liu: "Genetic deletion of Rnd3 suppresses apoptosis through NF‑κB signaling in the brain." in: Oncology reports, Vol. 45, Issue 2, pp. 595-605, (2021) (PubMed).

Castle, Daude, Gilch, Westaway: "Application of high-throughput, capillary-based Western analysis to modulated cleavage of the cellular prion protein." in: The Journal of biological chemistry, Vol. 294, Issue 8, pp. 2642-2650, (2019) (PubMed).

Hannen, Steffani, Voellger, Carl, Wang, Bartsch, Nimsky: "Effects of anti-estrogens on cell invasion and survival in pituitary adenoma cells: A systematic study." in: The Journal of steroid biochemistry and molecular biology, Vol. 187, pp. 88-96, (2019) (PubMed).

Lee, Jun, Kim, Kim: "Astrocytic cystine/glutamate antiporter is a key regulator of erythropoietin expression in the ischemic retina." in: FASEB journal : official publication of the Federation of American Societies for Experimental Biology, Vol. 33, Issue 5, pp. 6045-6054, (2019) (PubMed).

Aliases for Tubulin, beta Antibodies

tubulin beta class I (TUBB) Antibodies
putative cobalt-zinc-cadmium outer membrane resistance protein (czcC) Antibodies
Tubulin beta chain (tbb-6) Antibodies
tubulin beta class I (tubb) Antibodies
tubulin beta-2A chain (LOC462399) Antibodies
beta-Tubulin at 56D (betaTub56D) Antibodies
beta-Tubulin at 60D (betaTub60D) Antibodies
beta-Tubulin at 85D (betaTub85D) Antibodies
beta-Tubulin at 97EF (betaTub97EF) Antibodies
beta-tubulin (Tub1) Antibodies
beta-tubulin (Tub3) Antibodies
beta-tubulin (Tub2) Antibodies
beta-tubulin (Tub4) Antibodies
beta-tubulin (TVAG_525430) Antibodies
beta-tubulin (TVAG_062880) Antibodies
beta-tubulin (TVAG_456920) Antibodies
beta-tubulin (LOC100101153) Antibodies
tubulin beta 6 class V (TUBB6) Antibodies
beta tubulin (Tb927.1.2330) Antibodies
beta tubulin (Tb927.1.2350) Antibodies
beta tubulin (Tb927.1.2370) Antibodies
beta tubulin (Tb927.1.2390) Antibodies
tubulin beta class I L homeolog (tubb.L) Antibodies
tubulin beta class I (Tubb) Antibodies
beta-tubulin (LOC693049) Antibodies
beta-tubulin (LOC443015) Antibodies
tubulin, beta 5 class I (Tubb5) Antibodies
1t Antibodies
2t Antibodies
3t Antibodies
4t Antibodies
143391_i_at Antibodies
B1t Antibodies
B2t Antibodies
B3t Antibodies
B4t Antibodies
beta Antibodies
beta(2)Tu Antibodies
beta(2)Tub Antibodies
beta-Tub Antibodies
beta-tub Antibodies
beta-Tub6D Antibodies
beta-Tub56D Antibodies
beta-Tub60D Antibodies
beta-Tub85D Antibodies
beta-tub85D Antibodies
beta-Tub97EF Antibodies
beta-tubulin56D Antibodies
beta1 Antibodies
beta1-tub Antibodies
beta1-Tubulin Antibodies
beta1t Antibodies
beta1Tub Antibodies
beta1tub Antibodies
BETA2 Antibodies
beta2 Antibodies
beta2-tub Antibodies
beta2t Antibodies
beta2tub Antibodies
beta3 Antibodies
beta3 TU Antibodies
beta3-Tub Antibodies
beta3-tubulin Antibodies
beta3t Antibodies
beta3TUB Antibodies
beta3Tub Antibodies
beta4 Antibodies
beta4t Antibodies
BETA 56D Antibodies
beta56D Antibodies
beta60C Antibodies
BETA 60D Antibodies
BETA 85D Antibodies
beta85D Antibodies
beta97F Antibodies
BETA 98B Antibodies
betaTub Antibodies
betatub(56D) Antibodies
betaTub1 Antibodies
betaTub2 Antibodies
betaTub3 Antibodies
betaTub4 Antibodies
betaTub60C Antibodies
betatub60D Antibodies
betaTub98BC Antibodies
betaTub98C Antibodies
beta[[1]]-tubulin Antibodies
beta[[1]] tubulin Antibodies
beta[[2]]-tubulin Antibodies
beta[[3]]-Tub Antibodies
beta[[3]]-tubulin Antibodies
beta[[3]] tubulin Antibodies
bmtub1 Antibodies
bmtub2 Antibodies
bmtub3 Antibodies
bmtub4 Antibodies
CG3401 Antibodies
CG4869 Antibodies
CG9277 Antibodies
CG9359 Antibodies
D.m.BETA-60D Antibodies
D.m.BETA-85D Antibodies
Dmbeta1 Antibodies
Dmbeta2 Antibodies
Dmbeta3 Antibodies
Dmbeta4 Antibodies
Dmel\\CG3401 Antibodies
Dmel\\CG4869 Antibodies
Dmel\\CG9277 Antibodies
Dmel\\CG9359 Antibodies
DTB1 Antibodies
DTB2 Antibodies
DTB3 Antibodies
DTB4 Antibodies
LOC100101153 Antibodies
M40 Antibodies
m40 Antibodies
ms(3)KK[D] Antibodies
OK/SW-cl.56 Antibodies
ok/sw-cl.56 Antibodies
p50 Antibodies
p50/tubulin Antibodies
p53 Antibodies
p53/tubulin Antibodies
T Antibodies
Tub Antibodies
Tub1 Antibodies
Tub2 Antibodies
Tub3 Antibodies
Tub4 Antibodies
Tub60D Antibodies
TUBB Antibodies
TUBB1 Antibodies
tubb1 Antibodies
TUBB2A Antibodies
TUBB2B Antibodies
TUBB5 Antibodies
tubb5 Antibodies
Tubulin Antibodies
XLOT Antibodies
You are here:
Chat with us!