Phone:
+1 877 302 8632
Fax:
+1 888 205 9894 (Toll-free)
E-Mail:
orders@antibodies-online.com

UBA5 Antibodies

(Ubiquitin-Like Modifier Activating Enzyme 5 (UBA5))

Choose one of 27 UBA5 antibodies from our product listing based on 24 validation images.

Explore reliable UBA5 antibodies from a broad selection of renowned manufacturers. Our portfolio enables accurate UBA5 detection across multiple species, including Human, Mouse, Rat, Cow, Guinea Pig, Horse, Rabbit, Zebrafish (Danio rerio), Dog, Monkey, Bat, Chicken, Pig, Drosophila melanogaster, Insect, Xenopus laevis, and supports diverse research applications such as WB, ELISA, IHC, IP, IHC (p).

Quickly find the right antibody using our search, filter, and comparison tools. Each product page provides detailed validation data, literature references, and customer feedback. Unlike comparison-only resources, you can conveniently purchase antibodies directly through our site. Choose from polyclonal, monoclonal, or recombinant UBA5 antibodies derived from various hosts such as Rabbit, Mouse. Browse our products below and order directly to support your research with confidence.

Alternative names for UBA5 are uba5, UBA5, LOC100270786, Uba5, uba5.S.

27 results

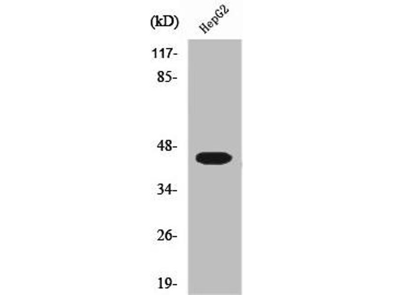
UBA5 Reactivity: Human WB Host: Mouse Polyclonal unconjugated
Catalog No. ABIN529112
$520.15
Plus shipping costs $50.00
50 μg
Shipping to: United States
Delivery in 11 to 14 Business Days
 
UBA5 Reactivity: Human, Mouse, Rat WB, ELISA, IHC, IF, ICC Host: Rabbit Polyclonal unconjugated
Catalog No. ABIN6265836
$494.77
Plus shipping costs $50.00
100 μL (More quantities available)
Shipping to: United States
Delivery in 11 to 13 Business Days
 
UBA5 Reactivity: Human WB, IHC Host: Rabbit Polyclonal unconjugated
Catalog No. ABIN7271188
$383.00
Plus shipping costs $50.00
100 μL (More quantities available)
Shipping to: United States
Delivery in 7 to 10 Business Days
 
UBA5 Reactivity: Human, Mouse, Rat WB, ELISA, IHC, FACS Host: Rabbit Polyclonal unconjugated
Catalog No. ABIN7601503
$370.00
Plus shipping costs $50.00
100 μg
Shipping to: United States
Delivery in 4 to 7 Business Days
 
UBA5 Reactivity: Human, Mouse, Rat WB, ELISA, IHC Host: Rabbit Polyclonal unconjugated
Catalog No. ABIN3187392
$402.79
Plus shipping costs $50.00
100 μL (More quantities available)
Shipping to: United States
Delivery in 11 to 15 Business Days
 
UBA5 Reactivity: Human WB, ELISA, IHC Host: Rabbit Polyclonal unconjugated
Catalog No. ABIN7185643
$262.68
Plus shipping costs $50.00
100 μg (More quantities available)
Shipping to: United States
Delivery in 13 to 17 Business Days
 
UBA5 Reactivity: Human WB, ELISA Host: Rabbit Polyclonal unconjugated
Catalog No. ABIN7174524
$394.68
Plus shipping costs $50.00
100 μg (More quantities available)
Shipping to: United States
Delivery in 13 to 17 Business Days
 
UBA5 Reactivity: Human, Mouse, Rat WB, ELISA, IHC, IHC (p) Host: Rabbit Polyclonal unconjugated
Catalog No. ABIN2878842
$476.30
Plus shipping costs $50.00
50 μL
Shipping to: United States
Delivery in 11 to 15 Business Days
 
UBA5 Reactivity: Human, Mouse, Rat, Cow, Guinea Pig, Horse, Rabbit, Monkey, Zebrafish (Danio rerio), Dog, Chicken, Bat, Pig, Drosophila melanogaster, Insect, Xenopus laevis WB Host: Rabbit Polyclonal unconjugated
Catalog No. ABIN6738639
$690.07
Plus shipping costs $50.00
100 μL
Shipping to: United States
Delivery in 11 to 15 Business Days
 
UBA5 Reactivity: Human WB, IP Host: Rabbit Polyclonal unconjugated
Catalog No. ABIN7450856
$538.15
Plus shipping costs $50.00
100 μg (More quantities available)
Shipping to: United States
Delivery in 3 to 5 Business Days
 
UBA5 Reactivity: Human, Mouse, Rat WB, IHC (p), EIA Host: Rabbit Polyclonal unconjugated
Catalog No. ABIN1109430
$633.60
Plus shipping costs $50.00
50 μg
Shipping to: United States
Delivery in 1 to 2 Business Days
 
UBA5 Reactivity: Human, Mouse, Rat, Monkey WB, IHC Host: Rabbit Polyclonal unconjugated
Catalog No. ABIN7301424
$330.77
Plus shipping costs $50.00
100 μL (More quantities available)
Shipping to: United States
Delivery in 13 to 15 Business Days
 
UBA5 Reactivity: Human, Mouse, Rat WB, ELISA, IHC (p) Host: Rabbit Polyclonal unconjugated
Catalog No. ABIN7217420
$379.10
Plus shipping costs $50.00
100 μL (More quantities available)
Shipping to: United States
Delivery in 12 to 16 Business Days
 
UBA5 Reactivity: Human ELISA Host: Rabbit Polyclonal HRP
Catalog No. ABIN7174527
$394.68
Plus shipping costs $50.00
100 μg (More quantities available)
Shipping to: United States
Delivery in 13 to 17 Business Days
 
UBA5 Reactivity: Human Host: Rabbit Polyclonal FITC
Catalog No. ABIN7174526
$394.68
Plus shipping costs $50.00
100 μg (More quantities available)
Shipping to: United States
Delivery in 13 to 17 Business Days
 
UBA5 Reactivity: Human ELISA Host: Rabbit Polyclonal Biotin
Catalog No. ABIN7174525
$394.68
Plus shipping costs $50.00
100 μg (More quantities available)
Shipping to: United States
Delivery in 13 to 17 Business Days
 
UBA5 Reactivity: Human, Mouse, Cow, Guinea Pig, Horse, Rabbit, Monkey, Zebrafish (Danio rerio), Bat, Pig WB Host: Rabbit Polyclonal unconjugated
Catalog No. ABIN6748759
$690.07
Plus shipping costs $50.00
100 μL
Shipping to: United States
Delivery in 11 to 15 Business Days
 
UBA5 Reactivity: Human IP Host: Rabbit Polyclonal unconjugated
Catalog No. ABIN7451370
$538.15
Plus shipping costs $50.00
100 μg (More quantities available)
Shipping to: United States
Delivery in 3 to 5 Business Days
 
UBA5 Reactivity: Human, Cow, Guinea Pig, Horse, Rabbit, Chicken IP Host: Rabbit Polyclonal unconjugated
Catalog No. ABIN1946127
$825.00
Plus shipping costs $50.00
100 μL (More quantities available)
Shipping to: United States
Delivery in 11 to 15 Business Days
 
UBA5 Reactivity: Human, Cow WB, IP Host: Rabbit Polyclonal unconjugated
Catalog No. ABIN1946128
$825.00
Plus shipping costs $50.00
100 μL (More quantities available)
Shipping to: United States
Delivery in 11 to 15 Business Days
 
  • Type Primary
    • Primary
  • Application
    • Western Blotting (WB)
    • ELISA
    • Immunohistochemistry (IHC)
    • Immunoprecipitation (IP)
    • Immunohistochemistry (Paraffin-embedded Sections) (IHC (p))
    • Flow Cytometry (FACS)
    • Immunofluorescence (IF)
    • Enzyme Immunoassay (EIA)
    • Immunocytochemistry (ICC)
  • Reactivity
    • Human
    • Mouse
    • Rat
    • Cow
    • Guinea Pig
    • Horse
    • Rabbit
    • Zebrafish (Danio rerio)
    • Dog
    • Monkey
    • Bat
    • Chicken
    • Pig
    • Drosophila melanogaster
    • Insect
    • Xenopus laevis
  • Images available
  • Carrier free only
  • Host
    • Rabbit
    • Mouse
  • Clonality
    • Polyclonal
  • Binding Specificity
    • AA 291-404
    • C-Term
    • AA 1-404
    • AA 125-175
    • AA 281-330
    • AA 325-375
    • AA 122-171
    • AA 250-330
    • AA 37-389
    • AA 99-148
    • Internal Region
    • Middle Region
    • N-Term
  • Conjugate
    • Un-conjugated
    • FITC
    • Biotin
    • HRP
  • Isotype
    • IgG
  • Format
    • Liquid
    • Lyophilized
  • Supplier
    • antibodies-online
    • Aviva Systems Biology
    • Abbexa
    • Acris
    • Assay Biotechnology Company, Inc.
    • Boster Bio
    • Cohesion Biosciences
    • USBio

Latest Publications for our UBA5 Antibodies

Huber, Obata, Gruber, Akutsu, Löhr, Rogova, Güntert, Dikic, Kirkin, Komatsu, Dötsch, Rogov: "An atypical LIR motif within UBA5 (ubiquitin like modifier activating enzyme 5) interacts with GABARAP proteins and mediates membrane localization of UBA5." in: Autophagy, pp. 1-15, (2019) (PubMed).

Stadler, Rexhepaj, Singan, Murphy, Pepperkok, Uhlén, Simpson, Lundberg: "Immunofluorescence and fluorescent-protein tagging show high correlation for protein localization in mammalian cells." in: Nature methods, Vol. 10, Issue 4, pp. 315-23, (2013) (PubMed).

Komatsu, Chiba, Tatsumi, Iemura, Tanida, Okazaki, Ueno, Kominami, Natsume, Tanaka: "A novel protein-conjugating system for Ufm1, a ubiquitin-fold modifier." in: The EMBO journal, Vol. 23, Issue 9, pp. 1977-86, (2004) (PubMed).

Aliases for UBA5 Antibodies

ubiquitin-like modifier activating enzyme 5 (uba5) Antibodies
ubiquitin like modifier activating enzyme 5 (uba5) Antibodies
ubiquitin like modifier activating enzyme 5 (UBA5) Antibodies
ubiquitin-like modifier activating enzyme 5 (UBA5) Antibodies
ubiquitin-activating enzyme E1-like protein (LOC100270786) Antibodies
ubiquitin-like modifier activating enzyme 5 (Uba5) Antibodies
ubiquitin like modifier activating enzyme 5 S homeolog (uba5.S) Antibodies
5730525G14Rik Antibodies
AW240750 Antibodies
cb972 Antibodies
THIFP1 Antibodies
UBAL Antibodies
ube1dc1 Antibodies
UBE1DC1 Antibodies
Ube1dc1 Antibodies
You are here:
Chat with us!