Phone:
+1 877 302 8632
Fax:
+1 888 205 9894 (Toll-free)
E-Mail:
orders@antibodies-online.com

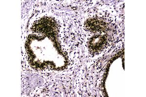
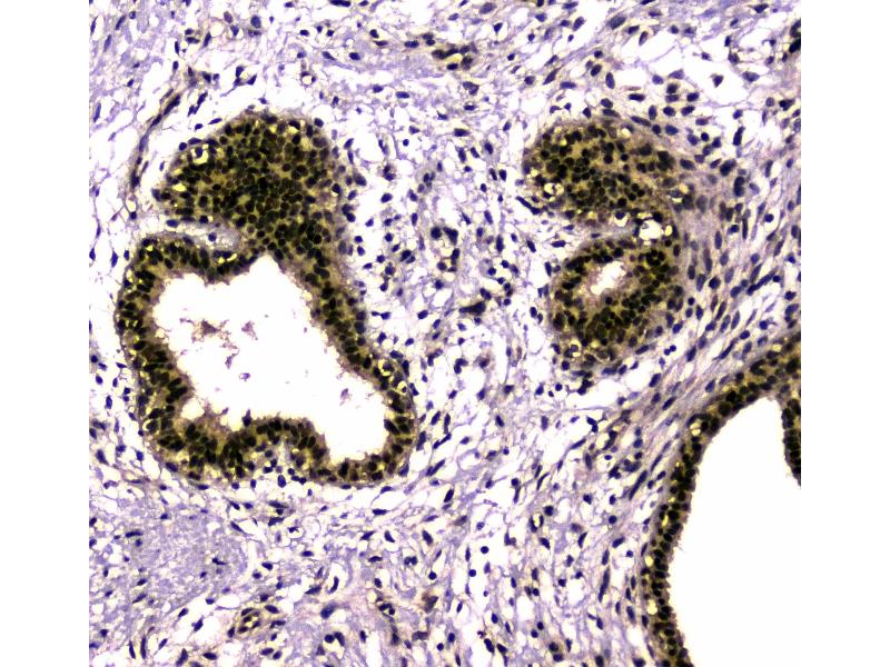
UBA2 Antibodies

(SUMO1 Activating Enzyme Subunit 2 (UBA2))

Choose one of 62 UBA2 antibodies from our product listing based on 4 publications and 37 validation images.

Explore reliable UBA2 antibodies from a broad selection of renowned manufacturers. Our portfolio enables accurate UBA2 detection across multiple species, including Human, Mouse, Rat, Dog, Horse, Cow, Guinea Pig, Monkey, and supports diverse research applications such as WB, IHC, IF, IP, ICC.

Quickly find the right antibody using our search, filter, and comparison tools. Each product page provides detailed validation data, literature references, and customer feedback. Unlike comparison-only resources, you can conveniently purchase antibodies directly through our site. Choose from polyclonal, monoclonal, or recombinant UBA2 antibodies derived from various hosts such as Rabbit, Mouse, Goat. Browse our products below and order directly to support your research with confidence.

Alternative names for UBA2 are MICPUN_63834, MICPUCDRAFT_36729, SAE2, UBA2, Uba2, uba2.L, uba2.

62 results

UBA2 Reactivity: Human, Mouse, Rat WB, IHC, ELISA, IF, ICC, FACS, IHC (fro) Host: Rabbit Polyclonal unconjugated
Catalog No. ABIN5692937
$370.00
Plus shipping costs $50.00
100 μg
Shipping to: United States
Delivery in 4 to 7 Business Days
 
UBA2 Reactivity: Human WB, IHC Host: Rabbit Polyclonal unconjugated
Pubmed 3 references
Catalog No. ABIN1944808
$451.00
Plus shipping costs $50.00
100 μg
Shipping to: United States
Delivery in 10 to 12 Business Days
 
Verified UBA2 Reactivity: Human, Mouse WB, ELISA, IF Host: Goat Polyclonal unconjugated
Pubmed 1 reference
Catalog No. ABIN185083
$488.25
Plus shipping costs $50.00
100 μg
Shipping to: United States
Delivery in 1 to 3 Business Days
 
UBA2 Reactivity: Human, Mouse, Rat WB, IHC Host: Mouse Monoclonal 5B13 unconjugated
Catalog No. ABIN7601755
$370.00
Plus shipping costs $50.00
100 μg
Shipping to: United States
Delivery in 4 to 7 Business Days
 
UBA2 Reactivity: Human WB, IHC (p) Host: Rabbit Polyclonal RB2822 unconjugated
Catalog No. ABIN387913
$451.00
Plus shipping costs $50.00
400 μL (More quantities available)
Shipping to: United States
Delivery in 10 to 12 Business Days
 
UBA2 Reactivity: Human WB, IF Host: Mouse Polyclonal unconjugated
Catalog No. ABIN523428
$520.15
Plus shipping costs $50.00
50 μg
Shipping to: United States
Delivery in 11 to 14 Business Days
 
UBA2 Reactivity: Human WB, IF, ICC Host: Rabbit Polyclonal unconjugated
Catalog No. ABIN2855439
$564.19
Plus shipping costs $50.00
100 μL
Shipping to: United States
Delivery in 3 to 5 Business Days
 
UBA2 Reactivity: Human WB, IHC, ELISA Host: Rabbit Polyclonal unconjugated
Catalog No. ABIN7180278
$392.04
Plus shipping costs $50.00
100 μL
Shipping to: United States
Delivery in 13 to 17 Business Days
 
KD Validated UBA2 Reactivity: Human WB Host: Mouse Monoclonal 25GB8010 unconjugated
Catalog No. ABIN7800459
$598.92
Plus shipping costs $50.00
100 μL
Shipping to: United States
Delivery in 3 to 5 Business Days
 
UBA2 Reactivity: Human, Rat, Dog, Monkey WB, IHC, IF Host: Mouse Monoclonal 4A3 unconjugated
Catalog No. ABIN2731359
$608.40
Plus shipping costs $50.00
0.1 mL
Shipping to: United States
Delivery in 6 to 9 Business Days
 
UBA2 Reactivity: Human, Rat WB, IHC, IF Host: Rabbit Polyclonal unconjugated
Catalog No. ABIN7297712
$330.77
Plus shipping costs $50.00
100 μL (More quantities available)
Shipping to: United States
Delivery in 13 to 15 Business Days
 
UBA2 Reactivity: Human WB Host: Rabbit Monoclonal 24GB2275 unconjugated Recombinant Antibody
Catalog No. ABIN7800460
$394.31
Plus shipping costs $50.00
100 μL
Shipping to: United States
Delivery in 3 to 5 Business Days
 
UBA2 Reactivity: Human WB, IHC (p), EIA Host: Rabbit Polyclonal unconjugated
Catalog No. ABIN356597
$768.00
Plus shipping costs $50.00
0.4 mL
Shipping to: United States
Delivery in 1 to 2 Business Days
 
UBA2 Reactivity: Human WB, IHC, ELISA Host: Rabbit Polyclonal unconjugated
Catalog No. ABIN1533453
$341.00
Plus shipping costs $50.00
100 μL (More quantities available)
Shipping to: United States
Delivery in 2 to 4 Business Days
 
UBA2 Reactivity: Human, Mouse, Rat WB, FACS Host: Rabbit Monoclonal 4F12 unconjugated
Catalog No. ABIN6945243
$490.77
Plus shipping costs $50.00
100 μL
Shipping to: United States
Delivery in 8 to 12 Business Days
 
UBA2 Reactivity: Human WB, IHC, IF Host: Mouse Monoclonal 4A3 unconjugated
Catalog No. ABIN2154155
$1,915.18
Plus shipping costs $50.00
100 μL
Shipping to: United States
Delivery in 9 to 12 Business Days
 
UBA2 Reactivity: Human WB, ELISA, IF, IHC (p) Host: Rabbit Polyclonal unconjugated
Catalog No. ABIN7217418
$379.10
Plus shipping costs $50.00
100 μL (More quantities available)
Shipping to: United States
Delivery in 12 to 16 Business Days
 
UBA2 Reactivity: Human WB, ELISA, IF, ICC Host: Rabbit Polyclonal unconjugated
Catalog No. ABIN6991337
$577.50
Plus shipping costs $50.00
0.1 mg (More quantities available)
Shipping to: United States
Delivery in 2 to 4 Business Days
 
UBA2 Reactivity: Human WB, IHC, ICC, IP Host: Rabbit Polyclonal unconjugated
Catalog No. ABIN7646694
$340.17
Plus shipping costs $50.00
100 μL (More quantities available)
Shipping to: United States
Delivery in 13 to 17 Business Days
 
UBA2 Reactivity: Human WB, IHC, IF, IHC (p) Host: Rabbit Polyclonal unconjugated
Catalog No. ABIN2891728
$659.27
Plus shipping costs $50.00
100 μL (More quantities available)
Shipping to: United States
Delivery in 11 to 15 Business Days
 
  • Type Primary
    • Primary
  • Application
    • Western Blotting (WB)
    • Immunohistochemistry (IHC)
    • Immunofluorescence (IF)
    • Immunoprecipitation (IP)
    • Immunocytochemistry (ICC)
    • ELISA
    • Immunohistochemistry (Paraffin-embedded Sections) (IHC (p))
    • Flow Cytometry (FACS)
    • Immunohistochemistry (Formalin-fixed Paraffin-embedded Sections) (IHC (fp))
    • Enzyme Immunoassay (EIA)
    • Immunochromatography (IC)
    • Immunohistochemistry (Frozen Sections) (IHC (fro))
  • Reactivity
    • Human
    • Mouse
    • Rat
    • Dog
    • Horse
    • Cow
    • Guinea Pig
    • Monkey
  • Cited in publications
  • Images available
  • Preservative free only
  • Carrier free only
  • Host
    • Rabbit
    • Mouse
    • Goat
  • Clonality
    • Polyclonal
    • Monoclonal
  • Clone
    • 4A3
    • 24GB2275
    • 25GB8010
    • 4F12
    • 5B13
    • 5H11
    • AEAI-21
    • R08-6D4
    • RB2822
  • Binding Specificity
    • AA 601-631
    • C-Term
    • AA 449-564
    • AA 1-640
    • AA 525-575
    • AA 590-640
    • N-Term
    • AA 453-638
    • AA 550-600
    • AA 560-640
    • AA 591-640
    • Glu616
    • Ser621
  • Conjugate
    • Un-conjugated
    • Biotin
    • Alexa Fluor 488
    • Alexa Fluor 555
    • Alexa Fluor 594
    • Alexa Fluor 647
    • Alexa Fluor 680
    • Alexa Fluor 750
    • APC
    • Alexa Fluor 350
    • Alexa Fluor 405
    • FITC
    • HRP
    • PE
  • Isotype
    • IgG
    • IgG2a
    • Ig Fraction
    • IgG2b
    • IgG1
  • Protein Type
    • Recombinant Antibody
  • Format
    • Liquid
    • Lyophilized
  • Grade
    • KD Validated
    • Verified
  • Supplier
    • antibodies-online
    • Signalway
    • Boster Bio
    • USBio
    • Acris
    • Assay Biotechnology Company, Inc.
    • Biomatik
    • Cohesion Biosciences
    • OriGene

Latest Publications for our UBA2 Antibodies

Sidik, Salsman, Dellaire, Rohde: "Shigella infection interferes with SUMOylation and increases PML-NB number." in: PLoS ONE, Vol. 10, Issue 4, pp. e0122585, (2015) (PubMed).

Kanemaru, Saitoh: "High-yield expression of mouse Aos1-Uba2-fusion SUMO-activating enzyme, mAU, in a baculovirus-insect cell system." in: Bioscience, biotechnology, and biochemistry, Vol. 77, Issue 7, pp. 1575-8, (2013) (PubMed).

Pal, Santos, Rosas, Ortiz-Guzman, Rosas-Acosta: "Influenza A virus interacts extensively with the cellular SUMOylation system during infection." in: Virus research, Vol. 158, Issue 1-2, pp. 12-27, (2011) (PubMed).

La Salle, Sun, Zhang, Matunis, Handel: "Developmental control of sumoylation pathway proteins in mouse male germ cells." in: Developmental biology, Vol. 321, Issue 1, pp. 227-37, (2008) (PubMed).

Rosendorff, Sakakibara, Lu, Kieff, Xuan, DiBacco, Shi, Shi, Gill: "NXP-2 association with SUMO-2 depends on lysines required for transcriptional repression." in: Proceedings of the National Academy of Sciences of the United States of America, Vol. 103, Issue 14, pp. 5308-13, (2006) (PubMed).

Wiemann, Weil, Wellenreuther, Gassenhuber, Glassl, Ansorge, Böcher, Blöcker, Bauersachs, Blum, Lauber, Düsterhöft, Beyer, Köhrer, Strack, Mewes, Ottenwälder, Obermaier, Tampe, Heubner, Wambutt, Korn et al.: "Toward a catalog of human genes and proteins: sequencing and analysis of 500 novel complete protein coding human cDNAs. ..." in: Genome research, Vol. 11, Issue 3, pp. 422-35, (2001) (PubMed).

Okuma, Honda, Ichikawa, Tsumagari, Yasuda: "In vitro SUMO-1 modification requires two enzymatic steps, E1 and E2." in: Biochemical and biophysical research communications, Vol. 254, Issue 3, pp. 693-8, (1999) (PubMed).

Gong, Li, Millas, Yeh: "Molecular cloning and characterization of human AOS1 and UBA2, components of the sentrin-activating enzyme complex." in: FEBS letters, Vol. 448, Issue 1, pp. 185-9, (1999) (PubMed).

Desterro, Rodriguez, Kemp, Hay: "Identification of the enzyme required for activation of the small ubiquitin-like protein SUMO-1." in: The Journal of biological chemistry, Vol. 274, Issue 15, pp. 10618-24, (1999) (PubMed).

Aliases for UBA2 Antibodies

SUMO1 activating enzyme subunit 2 (MICPUN_63834) Antibodies
SUMO1 activating enzyme subunit 2 (MICPUCDRAFT_36729) Antibodies
SUMO-activating enzyme 2 (SAE2) Antibodies
ubiquitin like modifier activating enzyme 2 (UBA2) Antibodies
ubiquitin-like modifier activating enzyme 2 (Uba2) Antibodies
ubiquitin like modifier activating enzyme 2 L homeolog (uba2.L) Antibodies
ubiquitin-like modifier activating enzyme 2 (uba2) Antibodies
AA986091 Antibodies
ARX Antibodies
Arx Antibodies
ATSAE2 Antibodies
EMB2764 Antibodies
EMBRYO DEFECTIVE 2764 Antibodies
F3K23.23 Antibodies
F3K23_23 Antibodies
SAE2 Antibodies
Sae2 Antibodies
sae2 Antibodies
sae2-B Antibodies
sae2b Antibodies
SUMO-ACTIVATING ENZYME 2 Antibodies
SUMO-activating enzyme 2 Antibodies
UBA1 Antibodies
uba2-a Antibodies
uba2-b Antibodies
Ubl1a2 Antibodies
Uble1b Antibodies
uble1b Antibodies
uble1b-B Antibodies
wu:fi17g06 Antibodies
zgc:66354 Antibodies
You are here:
Chat with us!