Phone:
+1 877 302 8632
Fax:
+1 888 205 9894 (Toll-free)
E-Mail:
orders@antibodies-online.com

VPS28 Antibodies

(Vacuolar Protein Sorting 28 (VPS28))

Choose one of 38 VPS28 antibodies from our product listing based on 13 validation images.

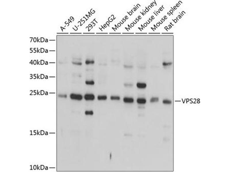
Explore reliable VPS28 antibodies from a broad selection of renowned manufacturers. Our portfolio enables accurate VPS28 detection across multiple species, including Human, Mouse, Rat, Dog, Cow, Guinea Pig, Horse, Monkey, Rabbit, Zebrafish (Danio rerio), Hamster, Pig, Xenopus laevis, and supports diverse research applications such as WB, IHC, IF, FACS, ICC.

Quickly find the right antibody using our search, filter, and comparison tools. Each product page provides detailed validation data, literature references, and customer feedback. Unlike comparison-only resources, you can conveniently purchase antibodies directly through our site. Choose from polyclonal, monoclonal, or recombinant VPS28 antibodies derived from various hosts such as Rabbit, Chicken, Goat. Browse our products below and order directly to support your research with confidence.

Alternative names for VPS28 are Vps28, VPS28, vps28, LOC408783, CpipJ_CPIJ003920, LACBIDRAFT_399656, PTRG_04781, MCYG_00028, PITG_04534, Tsp_08691, Tsp_08687, Tsp_08688, vps-28, vps28.S.

38 results

KD Validated VPS28 Reactivity: Human WB, FACS, IF (p) Host: Rabbit Monoclonal 24GB1755 unconjugated Recombinant Antibody
Catalog No. ABIN7800926
$598.92
Plus shipping costs $50.00
100 μL
Shipping to: United States
Delivery in 3 to 5 Business Days
 
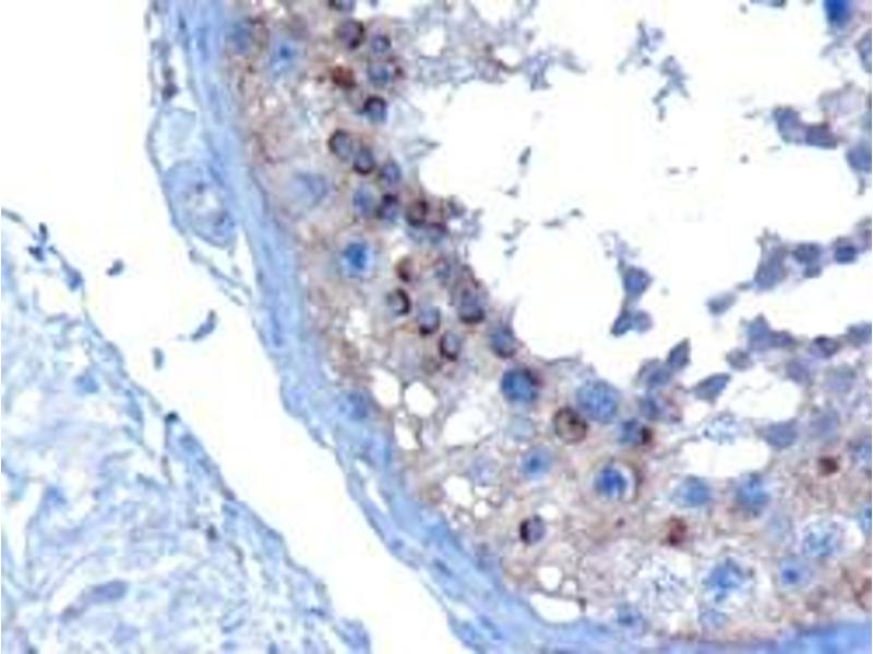
Verified VPS28 Reactivity: Human WB, IHC, ELISA Host: Goat Polyclonal unconjugated
Catalog No. ABIN185184
$488.25
Plus shipping costs $50.00
100 μg
Shipping to: United States
Delivery in 1 to 3 Business Days
 
VPS28 Reactivity: Human WB, IHC Host: Rabbit Monoclonal unconjugated
Catalog No. ABIN7271275
$393.00
Plus shipping costs $50.00
100 μL (More quantities available)
Shipping to: United States
Delivery in 7 to 10 Business Days
 
VPS28 Reactivity: Human IHC, ELISA Host: Rabbit Polyclonal unconjugated
Catalog No. ABIN7175300
$394.68
Plus shipping costs $50.00
100 μL (More quantities available)
Shipping to: United States
Delivery in 13 to 17 Business Days
 
VPS28 Reactivity: Human WB, IF Host: Rabbit Polyclonal unconjugated
Catalog No. ABIN6150124
$383.00
Plus shipping costs $50.00
100 μL (More quantities available)
Shipping to: United States
Delivery in 7 to 10 Business Days
 
VPS28 Reactivity: Human, Mouse, Rat, Dog, Cow, Horse, Monkey, Rabbit, Pig, Guinea Pig, Zebrafish (Danio rerio), Hamster, Xenopus laevis WB Host: Rabbit Polyclonal unconjugated
Catalog No. ABIN6741900
$690.07
Plus shipping costs $50.00
100 μL
Shipping to: United States
Delivery in 11 to 15 Business Days
 
VPS28 Reactivity: Human WB, IF, ICC, IHC (p) Host: Rabbit Polyclonal unconjugated
Catalog No. ABIN7469652
$740.00
Plus shipping costs $50.00
100 μL
Shipping to: United States
Delivery in 3 to 5 Business Days
 
VPS28 Reactivity: Human Host: Rabbit Polyclonal FITC
Catalog No. ABIN7175302
$394.68
Plus shipping costs $50.00
100 μL (More quantities available)
Shipping to: United States
Delivery in 13 to 17 Business Days
 
VPS28 Reactivity: Human ELISA Host: Rabbit Polyclonal HRP
Catalog No. ABIN7175303
$394.68
Plus shipping costs $50.00
100 μL (More quantities available)
Shipping to: United States
Delivery in 13 to 17 Business Days
 
VPS28 Reactivity: Human ELISA Host: Rabbit Polyclonal Biotin
Catalog No. ABIN7175301
$394.68
Plus shipping costs $50.00
100 μL (More quantities available)
Shipping to: United States
Delivery in 13 to 17 Business Days
 
VPS28 Reactivity: Human, Mouse, Rat WB, IHC Host: Rabbit Polyclonal unconjugated
Catalog No. ABIN378653
$643.13
Plus shipping costs $50.00
500 μg
Shipping to: United States
Delivery in 11 to 15 Business Days
 
VPS28 Reactivity: Human, Mouse, Rat, Dog, Monkey WB, IHC, IF, IHC (p) Host: Mouse Monoclonal 1A8 unconjugated
Catalog No. ABIN2451889
$704.73
Plus shipping costs $50.00
100 μL
Shipping to: United States
Delivery in 11 to 15 Business Days
 
VPS28 Reactivity: Human, Mouse, Rat WB, ELISA, IP Host: Rabbit Polyclonal unconjugated
Catalog No. ABIN7120706
$472.62
Plus shipping costs $50.00
100 μg
Shipping to: United States
Delivery in 13 to 17 Business Days
 
VPS28 Reactivity: Human, Mouse, Rat, Dog, Cow, Horse, Rabbit, Guinea Pig, Zebrafish (Danio rerio) WB Host: Rabbit Polyclonal unconjugated
Catalog No. ABIN2786937
$483.54
Plus shipping costs $50.00
100 μL (More quantities available)
Shipping to: United States
Delivery in 2 to 4 Business Days
 
VPS28 Reactivity: Human, Mouse, Rat WB Host: Chicken Polyclonal unconjugated
Catalog No. ABIN2468070
$877.25
Plus shipping costs $50.00
50 μg
Shipping to: United States
Delivery in 2 to 4 Business Days
 
VPS28 Reactivity: Human, Mouse, Rat WB, IHC, ELISA Host: Rabbit Polyclonal unconjugated
Catalog No. ABIN6042097
$549.66
Plus shipping costs $50.00
100 μL (More quantities available)
Shipping to: United States
Delivery in 10 to 18 Business Days
 
VPS28 Reactivity: Human EIA, RIA Host: Rabbit Polyclonal Biotin
Catalog No. ABIN5566244
$437.23
Plus shipping costs $50.00
150 μg
Shipping to: United States
Delivery in 2 to 4 Business Days
 
VPS28 Reactivity: Human EIA, RIA Host: Rabbit Polyclonal unconjugated
Catalog No. ABIN5566242
$310.46
Plus shipping costs $50.00
150 μg
Shipping to: United States
Delivery in 2 to 4 Business Days
 
VPS28 Reactivity: Human Host: Rabbit Polyclonal Alexa Fluor 680
Catalog No. ABIN6903565
$515.90
Plus shipping costs $50.00
100 μL
Shipping to: United States
Delivery in 6 to 9 Business Days
 
VPS28 Reactivity: Human Host: Rabbit Polyclonal Alexa Fluor 555
Catalog No. ABIN6887502
$515.90
Plus shipping costs $50.00
100 μL
Shipping to: United States
Delivery in 6 to 9 Business Days
 
  • Type Primary
    • Primary
  • Application
    • Western Blotting (WB)
    • Immunohistochemistry (IHC)
    • Immunofluorescence (IF)
    • Flow Cytometry (FACS)
    • Immunocytochemistry (ICC)
    • ELISA
    • Enzyme Immunoassay (EIA)
    • Immunohistochemistry (Paraffin-embedded Sections) (IHC (p))
    • Radioimmunoassay (RIA)
    • Immunofluorescence (Paraffin-embedded Sections) (IF (p))
    • Immunoprecipitation (IP)
  • Reactivity
    • Human
    • Mouse
    • Rat
    • Dog
    • Cow
    • Guinea Pig
    • Horse
    • Monkey
    • Rabbit
    • Zebrafish (Danio rerio)
    • Hamster
    • Pig
    • Xenopus laevis
  • Images available
  • Preservative free only
  • Carrier free only
  • Host
    • Rabbit
    • Chicken
    • Goat
    • Mouse
  • Clonality
    • Polyclonal
    • Monoclonal
  • Clone
    • 1A8
    • 24GB1755
    • 25V63
  • Binding Specificity
    • AA 1-221
    • N-Term
    • C-Term
    • Internal Region
  • Conjugate
    • Un-conjugated
    • Biotin
    • Alexa Fluor 488
    • Alexa Fluor 555
    • Alexa Fluor 594
    • Alexa Fluor 647
    • Alexa Fluor 680
    • Alexa Fluor 750
    • FITC
    • APC
    • Alexa Fluor 350
    • Alexa Fluor 405
    • HRP
    • PE
    • PerCP
  • Isotype
    • IgG
    • IgG1
  • Protein Type
    • Recombinant Antibody
  • Format
    • Liquid
    • Lyophilized
  • Grade
    • KD Validated
    • Verified
  • Supplier
    • Signalway
    • antibodies-online
    • Assaypro
    • Abbexa
    • Aviva Systems Biology
    • Boster Bio
    • ProSci

Latest Publications for our VPS28 Antibodies

Bishop, Woodman: "TSG101/mammalian VPS23 and mammalian VPS28 interact directly and are recruited to VPS4-induced endosomes." in: The Journal of biological chemistry, Vol. 276, Issue 15, pp. 11735-42, (2001) (PubMed).

Aliases for VPS28 Antibodies

Vacuolar protein sorting 28 (Vps28) Antibodies
VPS28, ESCRT-I subunit (VPS28) Antibodies
vacuolar protein sorting 28 homolog (vps28) Antibodies
vacuolar protein sorting-associated protein 28 homolog (LOC408783) Antibodies
ESCRT-I subunit protein VPS28 (VPS28) Antibodies
ESCRT I complex subunit Vps28 (vps28) Antibodies
transport of soluble vacuolar hydrolase precursors (VPS28) Antibodies
subunit of the ESCRT-I complex (VPS28) Antibodies
vacuolar protein sorting-associated protein (VPS28) Antibodies
vacuolar protein sorting 28 family protein (vps28) Antibodies
VPS28, ESCRT-I subunit (vps28) Antibodies
vacuolar protein sorting-associated protein 28 (CpipJ_CPIJ003920) Antibodies
vacuolar protein sorting-associated protein 28 (LACBIDRAFT_399656) Antibodies
vacuolar protein sorting-associated protein 28 (PTRG_04781) Antibodies
vacuolar protein sorting-associated protein 28 (MCYG_00028) Antibodies
vacuolar protein sorting-associated protein 28 (PITG_04534) Antibodies
vacuolar protein sorting-associated protein 28 (Tsp_08691) Antibodies
vacuolar protein sorting-associated protein 28 (Tsp_08687) Antibodies
vacuolar protein sorting-associated protein 28 (Tsp_08688) Antibodies
Vacuolar protein sorting-associated protein 28 homolog (vps-28) Antibodies
vacuolar protein sorting 28 (Vps28) Antibodies
vacuolar protein sorting 28 (yeast) (vps28) Antibodies
vacuolar protein sorting 28 homolog S homeolog (vps28.S) Antibodies
VPS28, ESCRT-I subunit (Vps28) Antibodies
1110014J03Rik Antibodies
AI847241 Antibodies
CG12770 Antibodies
D730005C08Rik Antibodies
DDBDRAFT_0186436 Antibodies
DDBDRAFT_0234023 Antibodies
DDB_0186436 Antibodies
DDB_0234023 Antibodies
Dmel\\CG12770 Antibodies
DmVps28 Antibodies
Dvps28 Antibodies
dVps28 Antibodies
dvps28 Antibodies
ESCRT-I Antibodies
ESCRT-II Antibodies
GB12925 Antibodies
l(2)k16503 Antibodies
VPL13 Antibodies
vps28 Antibodies
VPS28 Antibodies
VPT28 Antibodies
zgc:66078 Antibodies
You are here:
Chat with us!