RIPK1 antibody (AA 133-422)
Quick Overview for RIPK1 antibody (AA 133-422) (ABIN1490909)
Target
See all RIPK1 AntibodiesReactivity
Host
Clonality
Conjugate
Application
Clone
-
-
Binding Specificity
- AA 133-422
-
Specificity
- Human RIP
-
Purification
- Protein A/G purified
-
Immunogen
-
Human recombinant protein fragment corresponding to amino acids 133-422 of human RIPK1(NP_003795) produced in E. coli.
Type of Immunogen: Recombinant protein -
Isotype
- IgG1
-
-
-
-
Application Notes
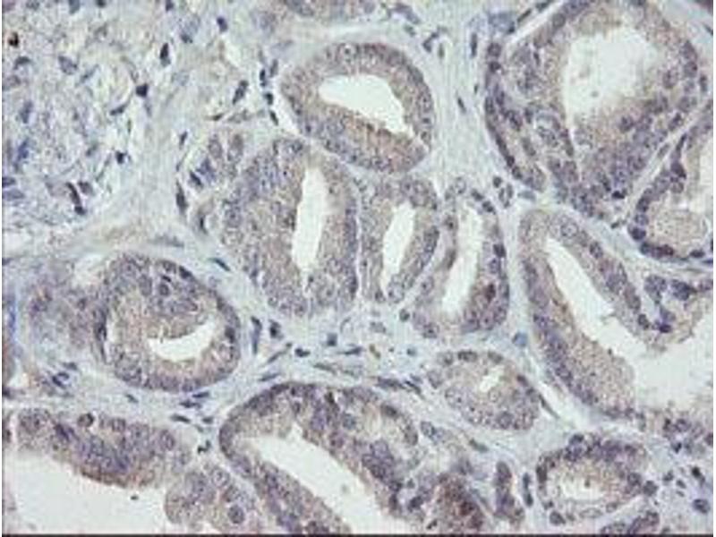
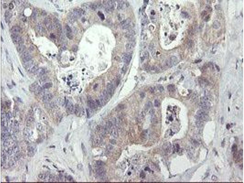
- Approved: IHC, IHC-P (1:150), WB (1:2000)
-
Comment
-
Target Species of Antibody: Human
-
Restrictions
- For Research Use only
-
-
-
Format
- Liquid
-
Concentration
- Lot specific
-
Buffer
- PBS, pH 7.3, 1 % BSA, 50 % glycerol, 0.02 % sodium azide
-
Preservative
- Sodium azide
-
Precaution of Use
- This product contains Sodium azide: a POISONOUS AND HAZARDOUS SUBSTANCE which should be handled by trained staff only.
-
Handling Advice
- Minimize freezing and thawing.
-
Storage
- -20 °C
-
Storage Comment
- Store at -20°C. Avoid freeze-thaw cycles.
-
-
- RIPK1 (Receptor (TNFRSF)-Interacting serine-threonine Kinase 1 (RIPK1))
-
Alternative Name
- RIPK1 / RIP
-
Background
-
Name/Gene ID: RIPK1
Subfamily: RIP
Family: Protein Kinase
Synonyms: RIPK1, Cell death protein RIP, Receptor interacting protein, RIP1, RIP, RIP-1, Protein kinase rip, Receptor-interacting protein 1, Rinp -
Gene ID
- 8737
-
NCBI Accession
- NP_003795
-
UniProt
- Q13546
-
Pathways
- NF-kappaB Signaling, Apoptosis, Caspase Cascade in Apoptosis, TLR Signaling, Activation of Innate immune Response, Inositol Metabolic Process, Positive Regulation of Endopeptidase Activity, Hepatitis C, Protein targeting to Nucleus, Toll-Like Receptors Cascades, Negative Regulation of intrinsic apoptotic Signaling, SARS-CoV-2 Protein Interactome, Ubiquitin Proteasome Pathway
Target
-