BRAF antibody
Quick Overview for BRAF antibody (ABIN1496961)
Target
See all BRAF AntibodiesReactivity
Host
Clonality
Conjugate
Application
Clone
-
-
Specificity
- Human BRAF / B-Raf
-
Purification
- Protein A/G purified
-
Immunogen
-
Protein expressed in 293T cell transfected with human BRAF expression vector.
Type of Immunogen: Transfected Cells -
Isotype
- IgG1
-
-
-
-
Application Notes
-
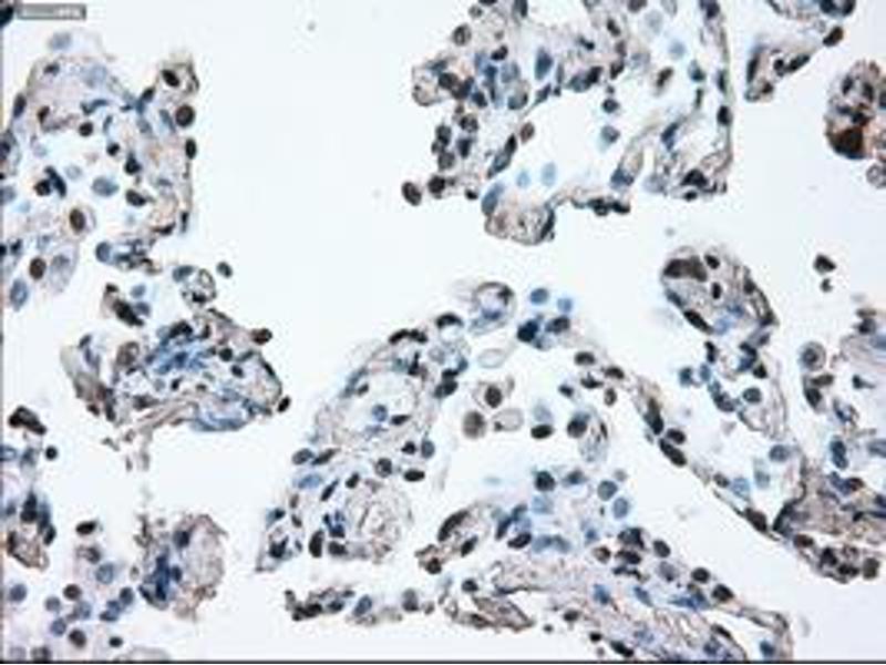
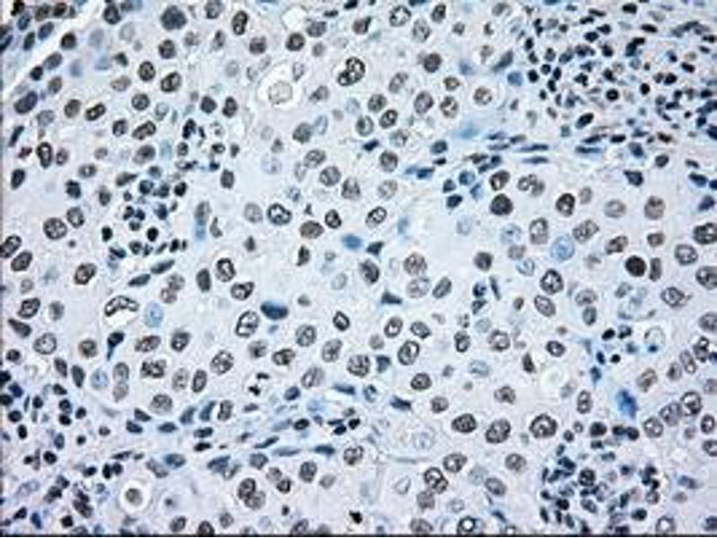
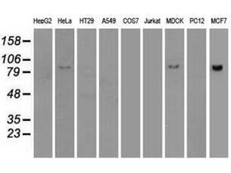
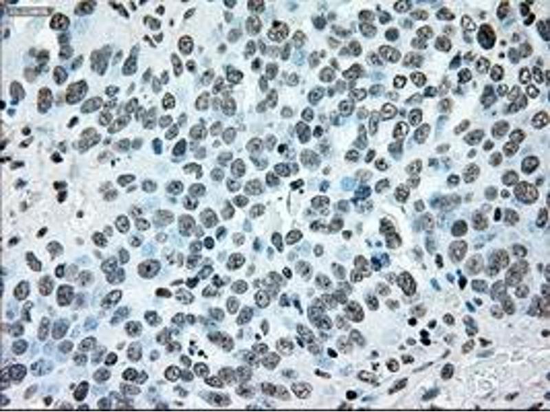
Approved: IHC, IHC-P (1:50), WB
Usage: Concentration: 0.5-1.0 mg/mL (Lot dependent) -
Comment
-
Target Species of Antibody: Human
-
Restrictions
- For Research Use only
-
-
-
Format
- Liquid
-
Concentration
- Lot specific
-
Buffer
- PBS, pH 7.3, 1 % BSA, 50 % glycerol, 0.02 % sodium azide
-
Preservative
- Sodium azide
-
Precaution of Use
- This product contains Sodium azide: a POISONOUS AND HAZARDOUS SUBSTANCE which should be handled by trained staff only.
-
Handling Advice
- Minimize freezing and thawing.
-
Storage
- -20 °C
-
Storage Comment
- Store at -20°C. Avoid freeze-thaw cycles.
-
-
- BRAF (B-Raf proto-oncogene, serine/threonine kinase (BRAF))
-
Alternative Name
- BRAF / B-Raf
-
Background
-
Name/Gene ID: BRAF
Subfamily: Raf
Family: Protein Kinase
Synonyms: BRAF, 94 kDa B-raf protein, B-raf, BRAF1, B Raf, Proto-oncogene B-Raf, p94, B-RAF1, NS7, ONCOGENE BRAF, RAFB1 -
Gene ID
- 673
-
UniProt
- P15056
-
Pathways
- MAPK Signaling, RTK Signaling, Neurotrophin Signaling Pathway, Ribonucleoprotein Complex Subunit Organization, Hepatitis C, Autophagy
Target
-