MAP2K3 antibody
Quick Overview for MAP2K3 antibody (ABIN1499399)
Target
See all MAP2K3 AntibodiesReactivity
Host
Clonality
Conjugate
Application
Clone
-
-
Specificity
- Human MEK3 / MKK3
-
Purification
- Protein A/G purified
-
Immunogen
-
Full length human recombinant protein of human MAP2K3(NP_659731) produced in HEK293T cell.
Type of Immunogen: Recombinant protein -
Isotype
- IgG2b
-
-
-
-
Application Notes
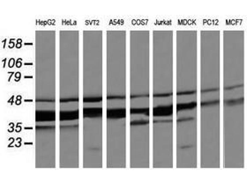
- Approved: IF (1:100), IHC, IHC-P (1:150), WB (1:200 - 1:2000)
-
Comment
-
Target Species of Antibody: Human
-
Restrictions
- For Research Use only
-
-
-
Format
- Liquid
-
Concentration
- Lot specific
-
Buffer
- PBS, pH 7.3, 1 % BSA, 50 % glycerol, 0.02 % sodium azide
-
Preservative
- Sodium azide
-
Precaution of Use
- This product contains Sodium azide: a POISONOUS AND HAZARDOUS SUBSTANCE which should be handled by trained staff only.
-
Handling Advice
- Minimize freezing and thawing.
-
Storage
- -20 °C
-
Storage Comment
- Store at -20°C. Avoid freeze-thaw cycles.
-
-
- MAP2K3 (Mitogen-Activated Protein Kinase Kinase 3 (MAP2K3))
-
Alternative Name
- MAP2K3 / MEK3 / MKK3
-
Background
-
Name/Gene ID: MAP2K3
Subfamily: MAP2K
Family: Protein Kinase
Synonyms: MAP2K3, MAPKK 3, MAPKK3, PRKMK3, SAPK kinase 2, SAPKK-2, SAPKK2, SKK2, MAP kinase kinase 3, MEK 3, MEK3, MKK3, MAPK/ERK kinase 3 -
Gene ID
- 5606
-
NCBI Accession
- NP_659731
-
UniProt
- P46734
-
Pathways
- MAPK Signaling, TLR Signaling, Activation of Innate immune Response, Toll-Like Receptors Cascades, Autophagy, Signaling Events mediated by VEGFR1 and VEGFR2
Target
-