Phone:
+1 877 302 8632
Fax:
+1 888 205 9894 (Toll-free)
E-Mail:
orders@antibodies-online.com

VPS11 antibody (Internal Region)

The Goat Polyclonal anti-VPS11 antibody (ABIN185427) specifically detects VPS11 in ELISA and IHC. The antibody is reactive with Human samples.
Catalog No. ABIN185427
$488.25
Plus shipping costs $50.00
100 μg
Shipping to: United States
Delivery in 1 to 3 Business Days

Quick Overview for VPS11 antibody (Internal Region) (ABIN185427)

Target

See all VPS11 Antibodies
VPS11 (Vacuolar Protein Sorting 11 Homolog (VPS11))

Reactivity

  • 39
  • 16
  • 3
  • 1
  • 1
  • 1
  • 1
  • 1
Human

Host

  • 36
  • 3
Goat

Clonality

  • 25
  • 14
Polyclonal

Conjugate

  • 25
  • 2
  • 1
  • 1
  • 1
  • 1
  • 1
  • 1
  • 1
  • 1
  • 1
  • 1
  • 1
  • 1
This VPS11 antibody is un-conjugated

Application

  • 38
  • 14
  • 13
  • 12
  • 4
  • 3
  • 3
  • 1
  • 1
  • 1
ELISA, Immunohistochemistry (IHC)

Grade

Verified
  • Binding Specificity

    • 8
    • 3
    • 2
    • 2
    • 2
    • 2
    • 2
    • 1
    • 1
    • 1
    • 1
    • 1
    • 1
    Internal Region

    Purpose

    VPS11

    Sequence

    HALQEKDTQT KLE

    Cross-Reactivity

    Cow, Dog, Human, Mouse, Rat

    Purification

    Purified from goat serum by ammonium sulphate precipitation followed by antigen affinity chromatography using the immunizing peptide.

    Immunogen

    Peptide with sequence C-HALQEKDTQTKLE, from the internal region of the protein sequence according to NP_068375.3.

    Isotype

    IgG
  • Application Notes

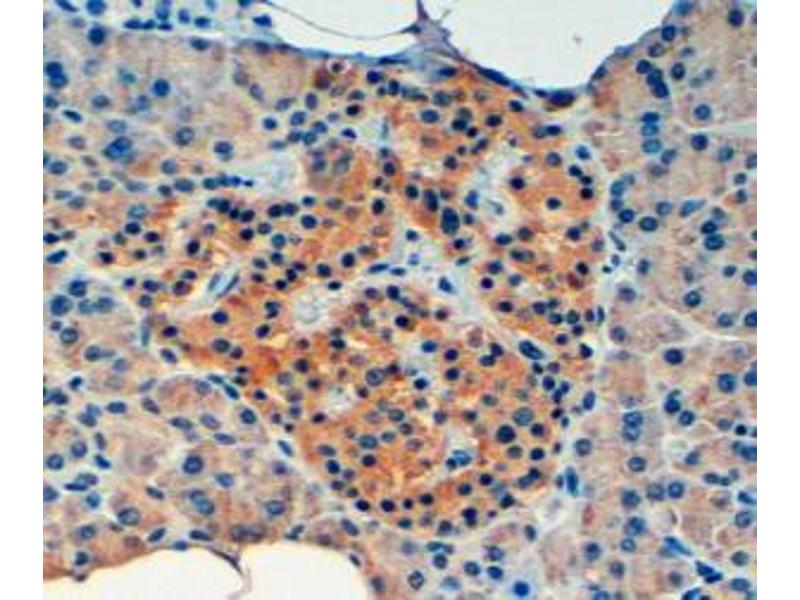
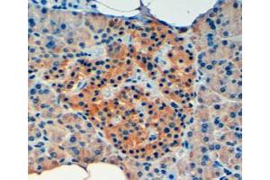
    Immunohistochemistry: In paraffin embedded Human Kidney shows brushborder staning in PCT cells and Human Pancreas shows cytoplasm staining of beta cells in islets of Langerhans. Recommended concentration, 3-6 μg/mL.

    Western Blot: Preliminary experiments gave an approx 75 kDa band in human duodenum, colon and placenta lysates after 0.3 μg/mL antibody staining. Please note that currently we cannot find an explanation in the literature for the band we observe given the c

    Peptide ELISA: antibody detection limit dilution 1:32000.

    Restrictions

    For Research Use only
  • Format

    Liquid

    Concentration

    0.5 mg/mL

    Buffer

    Supplied at 0.5 mg/mL in Tris saline, 0.02 % sodium azide, pH 7.3 with 0.5 % bovine serum albumin.

    Preservative

    Sodium azide

    Precaution of Use

    This product contains Sodium azide: a POISONOUS AND HAZARDOUS SUBSTANCE which should be handled by trained staff only.

    Handling Advice

    Minimize freezing and thawing.

    Storage

    -20 °C

    Storage Comment

    Aliquot and store at -20°C, with minimal freeze/thawing. A working aliquot may be refrigerated at 4°C for a few weeks and still remain viable.
  • Target

    VPS11 (Vacuolar Protein Sorting 11 Homolog (VPS11))

    Alternative Name

    VPS11

    Background

    VPS11, vacuolar protein sorting 11 (yeast) , HGNC:14583, END1, PEP5, RNF108, hVPS11 , vacuolar protein sorting 11 (yeast homolog), vacuolar protein sorting protein 11, vacuolar protein sorting 11 homolog (S. cerevisiae)

    Gene ID

    55823, 71732

    NCBI Accession

    NP_068375

    Pathways

    SARS-CoV-2 Protein Interactome
You are here:
Chat with us!