This product contains Sodium azide: a POISONOUS AND HAZARDOUS SUBSTANCE which should be handled by trained staff only.
Storage
-20 °C
Storage Comment
Store at -20°C. Avoid freeze / thaw cycles.
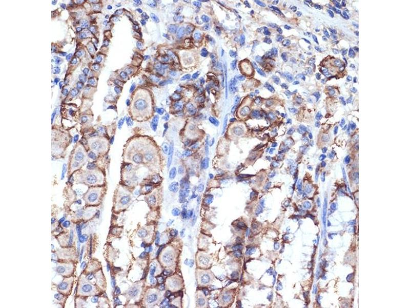
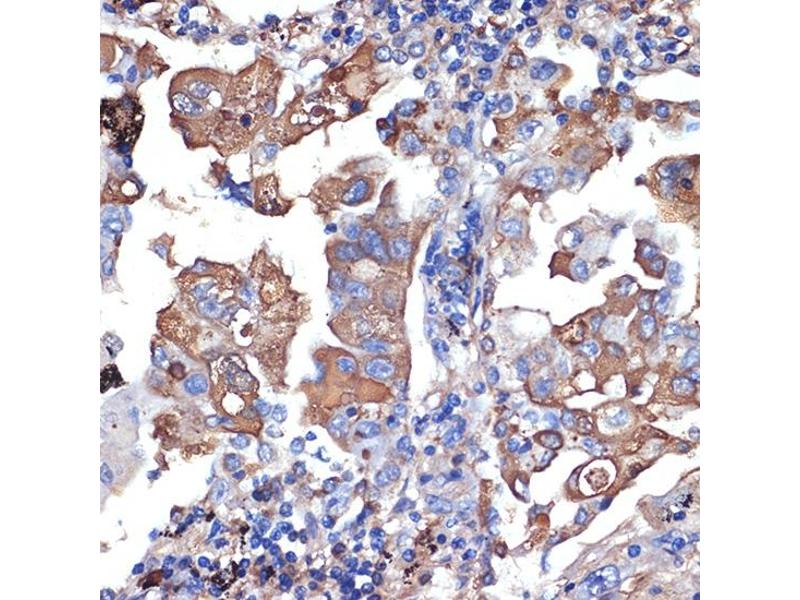
Target
VPS11
(Vacuolar Protein Sorting 11 Homolog (VPS11))
Alternative Name
VPS11
Background
Vesicle mediated protein sorting plays an important role in segregation of intracellular molecules into distinct organelles. Genetic studies in yeast have identified more than 40 vacuolar protein sorting (VPS) genes involved in vesicle transport to vacuoles. This gene encodes the human homolog of yeast class C Vps11 protein. The mammalian class C Vps proteins are predominantly associated with late endosomes/lysosomes, and like their yeast counterparts, may mediate vesicle trafficking steps in the endosome/lysosome pathway. Alternative splicing results in multiple transcript variants. [provided by RefSeq, Feb 2014],END1, HLD12, PEP5, RNF108, hVPS11,Signal Transduction,VPS11