Phone:
+1 877 302 8632
Fax:
+1 888 205 9894 (Toll-free)
E-Mail:
orders@antibodies-online.com

STAT3 antibody (pTyr705)

This Rabbit Polyclonal antibody specifically detects STAT3 in WB and IHC (p). It exhibits reactivity toward Human and Mouse and has been mentioned in 9+ publications.
Catalog No. ABIN196691

Quick Overview for STAT3 antibody (pTyr705) (ABIN196691)

Target

See all STAT3 Antibodies
STAT3 (Signal Transducer and Activator of Transcription 3 (Acute-Phase Response Factor) (STAT3))

Reactivity

  • 306
  • 146
  • 140
  • 40
  • 26
  • 25
  • 22
  • 15
  • 14
  • 7
  • 4
  • 4
  • 3
  • 3
  • 2
  • 2
  • 1
Human, Mouse

Host

  • 234
  • 87
  • 4
  • 2
  • 1
  • 1
Rabbit

Clonality

  • 199
  • 128
Polyclonal

Conjugate

  • 194
  • 21
  • 15
  • 10
  • 7
  • 6
  • 4
  • 4
  • 4
  • 4
  • 4
  • 4
  • 3
  • 3
  • 3
  • 3
  • 3
  • 3
  • 3
  • 3
  • 3
  • 3
  • 3
  • 2
  • 2
  • 2
  • 2
  • 2
  • 2
  • 2
  • 2
  • 2
  • 1
This STAT3 antibody is un-conjugated

Application

  • 238
  • 125
  • 105
  • 83
  • 56
  • 47
  • 43
  • 41
  • 33
  • 27
  • 15
  • 11
  • 8
  • 7
  • 5
  • 3
  • 3
  • 2
  • 1
  • 1
  • 1
  • 1
  • 1
Western Blotting (WB), Immunohistochemistry (Paraffin-embedded Sections) (IHC (p))
  • Binding Specificity

    • 81
    • 50
    • 23
    • 10
    • 8
    • 6
    • 5
    • 4
    • 4
    • 4
    • 4
    • 3
    • 3
    • 3
    • 3
    • 3
    • 3
    • 3
    • 2
    • 2
    • 2
    • 2
    • 2
    • 2
    • 2
    • 2
    • 2
    • 1
    • 1
    • 1
    • 1
    • 1
    • 1
    • 1
    • 1
    • 1
    • 1
    • 1
    • 1
    • 1
    • 1
    • 1
    • 1
    • 1
    • 1
    • 1
    • 1
    • 1
    • 1
    • 1
    pTyr705

    Specificity

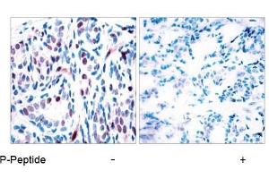
    The antibody was affinity-purified from rabbit antiserum by affinity-chromatography using epitope-specific phosphopeptide. The antibody against non-phosphopeptide was removed by chromatography using non-phosphopeptide corresponding to the phosphorylation site. STAT3 (phospho-Tyr705) antibody detects endogenous levels of STAT3 only when phosphorylated at tyrosine 705.

    Purification

    Immunoaffinity chromatography.

    Immunogen

    The antiserum was produced against synthesized phosphopeptide derived from human STAT3 around the phosphorylation site of tyrosine 705 (A-P-YP-L-K).
  • Application Notes

    Suitable for use in Western blot (1: 500approx. 1: 1000) and Immunohistochemistry (1: 50approx. 1: 100).
    Other applications not tested.
    Optimal dilutions are dependent on conditions and should be determined by the user.

    Restrictions

    For Research Use only
  • Concentration

    1.0 mg/mL

    Buffer

    Phosphate buffered saline (without Mg2+ and Ca2+), pH 7.4, 150 mM NaCl, 0.02 % Sodium Azide and 50 % glycerol.

    Preservative

    Sodium azide

    Precaution of Use

    This product contains sodium azide: a POISONOUS AND HAZARDOUS SUBSTANCE which should be handled by trained staff only.

    Handling Advice

    Avoid repeated freezing and thawing.

    Storage

    -20 °C

    Storage Comment

    Store the antibody (in aliquots) at -20 °C.
  • Mpousis, Thysiadis, Avramidis, Katsamakas, Efthimiopoulos, Sarli: "Synthesis and evaluation of gallocyanine dyes as potential agents for the treatment of Alzheimer's disease and related neurodegenerative tauopathies." in: European journal of medicinal chemistry, Vol. 108, pp. 28-38, (2016) (PubMed).

    Sangaletti, Tripodo, Sandri, Torselli, Vitali, Ratti, Botti, Burocchi, Porcasi, Tomirotti, Colombo, Chiodoni: "Osteopontin shapes immunosuppression in the metastatic niche." in: Cancer research, Vol. 74, Issue 17, pp. 4706-19, (2015) (PubMed).

    Ma, Li, Wang, Gong, Zhang, Li, Ji, Liu, Chen, Xiang: "Atrial natriuretic peptide suppresses Th17 development through regulation of cGMP-dependent protein kinase and PI3K-Akt signaling pathways." in: Regulatory peptides, Vol. 181, pp. 9-16, (2013) (PubMed).

    Wang, Peng-Jiao, Yang, Chuang-Yuan, Zhao, Liu, Fei, Zhang: "PF-04691502 triggers cell cycle arrest, apoptosis and inhibits the angiogenesis in hepatocellular carcinoma cells." in: Toxicology letters, Vol. 220, Issue 2, pp. 150-6, (2013) (PubMed).

    García-Prieto, González-López, Cabrera, Astudillo, Gutiérrez-Fernández, Fanjul-Fernandez, Batalla-Solís, Puente, Fueyo, López-Otín, Albaiceta: "Resistance to bleomycin-induced lung fibrosis in MMP-8 deficient mice is mediated by interleukin-10." in: PLoS ONE, Vol. 5, Issue 10, pp. e13242, (2010) (PubMed).

    Takeichi, Sugiura, Muro, Matsumoto, Ogawa, Futamura, Kaminuma, Hashimoto, Shimoyama, Saito, Tomita: "Overexpression of LEDGF/DFS70 induces IL-6 via p38 activation in HaCaT cells, similar to that seen in the psoriatic condition." in: The Journal of investigative dermatology, Vol. 130, Issue 12, pp. 2760-7, (2010) (PubMed).

    Zhang, Zhao, Xin: "Significance and relationship between Cripto-1 and p-STAT3 expression in gastric cancer and precancerous lesions." in: World journal of gastroenterology : WJG, Vol. 16, Issue 5, pp. 571-7, (2010) (PubMed).

    Yuan, Qian, Shi, Lu, Li, Hu, Yu, Shen, Guo: "HER2-dependent MMP-7 expression is mediated by activated STAT3." in: Cellular signalling, Vol. 20, Issue 7, pp. 1284-91, (2008) (PubMed).

    Yamaguchi, Zhu, Yu, Sasaki, Umetsu, Kidachi, Ryoyama: "Low-level bisphenol A increases production of glial fibrillary acidic protein in differentiating astrocyte progenitor cells through excessive STAT3 and Smad1 activation." in: Toxicology, Vol. 226, Issue 2-3, pp. 131-42, (2006) (PubMed).

  • Target

    STAT3 (Signal Transducer and Activator of Transcription 3 (Acute-Phase Response Factor) (STAT3))

    Alternative Name

    STAT3

    Background

    Synonyms: APRF, Acute-phase response factor, STAT-3, Signal transducer and activator of transcription 3

    Gene ID

    6774

    NCBI Accession

    NP_003141

    UniProt

    P40763

    Pathways

    JAK-STAT Signaling, RTK Signaling, Interferon-gamma Pathway, Neurotrophin Signaling Pathway, Dopaminergic Neurogenesis, Response to Growth Hormone Stimulus, Carbohydrate Homeostasis, Stem Cell Maintenance, Hepatitis C, Protein targeting to Nucleus, Feeding Behaviour, CXCR4-mediated Signaling Events, Signaling of Hepatocyte Growth Factor Receptor
You are here:
Chat with us!