ERBB4 antibody (Internal Region)
Quick Overview for ERBB4 antibody (Internal Region) (ABIN213400)
Target
See all ERBB4 AntibodiesReactivity
Host
Clonality
Conjugate
Application
-
-
Binding Specificity
- Internal Region
-
Specificity
- Human ERBB4. BLAST analysis of the peptide immunogen showed no homology with other human proteins.
-
Predicted Reactivity
- Percent identity with other species by BLAST analysis: Human, Gibbon, Monkey, Marmoset, Mouse, Bat, Hamster, Panda, Horse (100%) Gorilla, Rat, Pig (95%) Opossum (89%) Platypus (84%).
-
Purification
- Immunoaffinity purified
-
Immunogen
-
Synthetic 19 amino acid peptide from internal region of human ERBB4. Percent identity with other species by BLAST analysis: Human, Gibbon, Monkey, Marmoset, Mouse, Bat, Hamster, Panda, Horse (100%), Gorilla, Rat, Pig (95%), Opossum (89%), Platypus (84%).
Type of Immunogen: Synthetic peptide
-
-
-
-
Application Notes
-
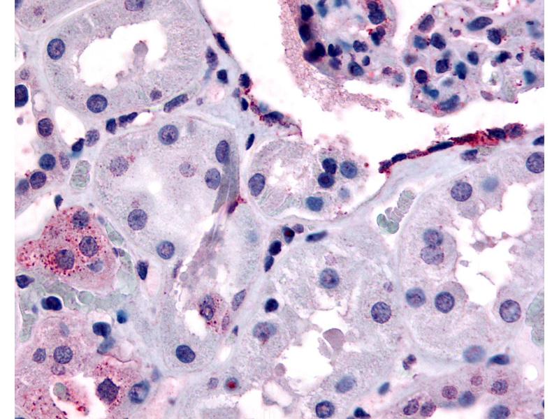
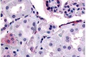
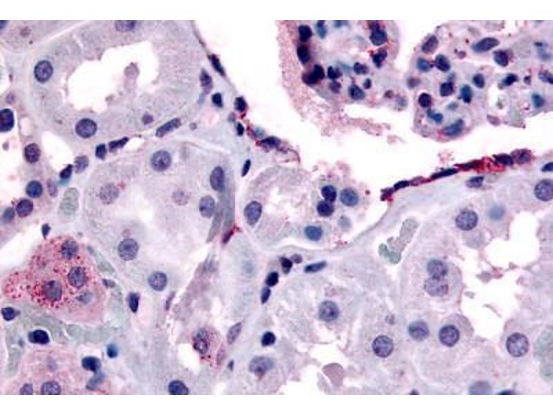
Approved: IHC, IHC-P (15 - 30 μg/mL)
Usage: Immunohistochemistry: This antibody was validated for use in immunohistochemistry on a panel of 21 formalin-fixed, paraffin-embedded (FFPE) human tissues after heat induced antigen retrieval in pH 6.0 citrate buffer. After incubation with the primary antibody, slides were incubated with biotinylated secondary antibody, followed by alkaline phosphatase-streptavidin and chromogen. The stained slides were evaluated by a pathologist to confirm staining specificity. The optimal working concentration for this antibody was determined to be 15-32 μg/mL. -
Comment
-
Target Species of Antibody: Human
-
Restrictions
- For Research Use only
-
-
-
Format
- Liquid
-
Concentration
- Lot specific
-
Buffer
- PBS, less than 0.1 % sodium azide.
-
Preservative
- Sodium azide
-
Precaution of Use
- This product contains Sodium azide: a POISONOUS AND HAZARDOUS SUBSTANCE which should be handled by trained staff only.
-
Storage
- 4 °C,-20 °C
-
Storage Comment
- Aliquot and store undiluted at -20°C or below for up to 1 year. Can be stored undiluted at 4°C for up to 1 month. Avoid freeze-thaw cycles.
-
Expiry Date
- 12 months
-
-
- ERBB4 (V-Erb-A erythroblastic Leukemia Viral Oncogene Homolog 4 (Avian) (ERBB4))
-
Alternative Name
- ERBB4 / HER4
-
Background
-
Name/Gene ID: ERBB4
Subfamily: EGF Receptor
Family: Protein Kinase
Synonyms: ERBB4, ERBB 4, HER4, p180 erb4, p180erbB4 -
Gene ID
- 2066
-
Pathways
- RTK Signaling, Fc-epsilon Receptor Signaling Pathway, EGFR Signaling Pathway, Neurotrophin Signaling Pathway
Target
-