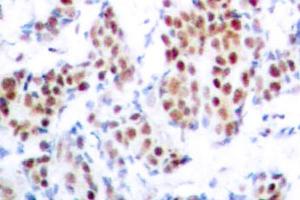
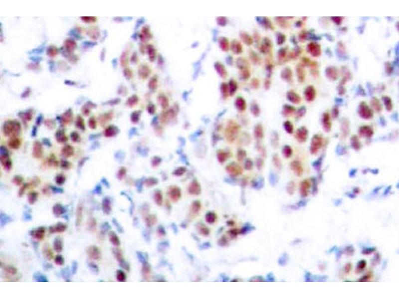
The Rabbit Polyclonal anti-STAT5A antibody is suitable to detect STAT5A in samples from Human, Mouse and Rat. It has been validated for WB, IHC (p) and EIA.
ELISA: 1: 10000approx. 1: 20000. WB: 1: 500approx. 1: 1000. IHC: 1: 50approx. 1: 200. Other applications not tested. Optimal dilutions are dependent on conditions and should be determined by the user.
Restrictions
For Research Use only
Concentration
1,0 mg/mL
Buffer
Phosphate buffered saline (PBS), pH 7.2., 15 mM sodium azide
Preservative
Sodium azide
Precaution of Use
This product contains sodium azide: a POISONOUS AND HAZARDOUS SUBSTANCE which should be handled by trained staff only.
Handling Advice
DO NOT FREEZE!
Storage
4 °C
Storage Comment
Store the antibody undiluted at 2-8 °C.
Target
STAT5A
(Signal Transducer and Activator of Transcription 5A (STAT5A))
Alternative Name
STAT5 / STAT5A
Background
Stat 5a protein is a transcription factor activated by hormone and cytokines. Two highly related, but distinct Stat 5 genes (Stat 5a and Stat 5b) were identified in mouse. The amino acid sequences of Stat 5a and Stat 5b show 96 % sequence similarity, and both proteins are co expressed in most tissues of both virgin and lactating mice. However, differential accumulation of Stat 5a and Stat 5b mRNA has been reported for both muscle and mammary tissue. Stat 5a is critically involved in a variety of physiological functions, including reproduction, lactation, immune function and somatic growth.Synonyms: MGF, Mammary gland factor, STAT-5, STAT-5A, Signal transducer and activator of transcription 5A