JNK2 antibody (C-Term)
Quick Overview for JNK2 antibody (C-Term) (ABIN292321)
Target
See all JNK2 (MAPK9) AntibodiesReactivity
Host
Clonality
Conjugate
Application
-
-
Binding Specificity
- C-Term
-
Specificity
- Synthetic peptide corresponding to C-terminal residues of human MAPK9 (Mitogen-activated protein kinase 9)
-
Purification
- Immunoaffinity purified
-
Immunogen
-
Synthetic peptide from human MAPK9 / JNK2.
Type of Immunogen: Synthetic peptide
-
-
-
-
Application Notes
-
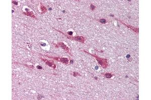
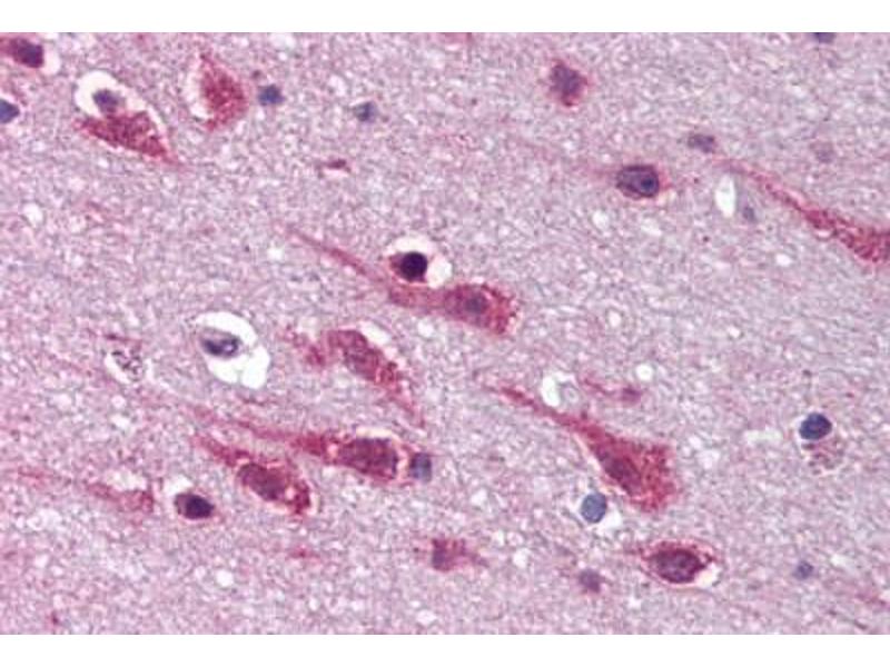
Approved: ELISA (1 μg/mL), IHC, IHC-P (20 μg/mL), WB (1 μg/mL)
Usage: Immunohistochemistry: This antibody was validated for use in immunohistochemistry on a panel of 21 formalin-fixed, paraffin-embedded (FFPE) human tissues after heat induced antigen retrieval in pH 6.0 citrate buffer. After incubation with the primary antibody, slides were incubated with biotinylated secondary antibody, followed by alkaline phosphatase-streptavidin and chromogen. The stained slides were evaluated by a pathologist to confirm staining specificity. The optimal working concentration for this antibody was determined to be 20 μg/mL. -
Comment
-
Target Species of Antibody: Human
-
Restrictions
- For Research Use only
-
-
-
Format
- Liquid
-
Concentration
- Lot specific
-
Buffer
- PBS, 0.01 % sodium azide, 50 % glycerol.
-
Preservative
- Sodium azide
-
Precaution of Use
- This product contains Sodium azide: a POISONOUS AND HAZARDOUS SUBSTANCE which should be handled by trained staff only.
-
Handling Advice
- Avoid repeated freezing and thawing.
-
Storage
- 4 °C,-20 °C
-
Storage Comment
- 4°C or -20°C, Avoid freeze-thaw cycles.
-
-
- JNK2 (MAPK9) (Mitogen-Activated Protein Kinase 9 (MAPK9))
-
Alternative Name
- MAPK9 / JNK2 / SAPK
-
Background
-
Name/Gene ID: MAPK9
Subfamily: MAPK
Family: Protein Kinase
Synonyms: MAPK9, C-Jun kinase 2, C-Jun N-terminal kinase 2, JNK2B, JNK2, JNK2ALPHA, MAP kinase 9, p54a, JNK2BETA, PRKM9, SAPK, MAPK 9, p54aSAPK, SAPK1a, JNK-55, JNK2A, Jun kinase -
Gene ID
- 5601
-
UniProt
- P45984
-
Pathways
- MAPK Signaling, WNT Signaling, TLR Signaling, Fc-epsilon Receptor Signaling Pathway, Activation of Innate immune Response, Cellular Response to Molecule of Bacterial Origin, Positive Regulation of Endopeptidase Activity, Hepatitis C, Toll-Like Receptors Cascades, BCR Signaling, S100 Proteins
Target
-