Phone:
+1 877 302 8632
Fax:
+1 888 205 9894 (Toll-free)
E-Mail:
orders@antibodies-online.com

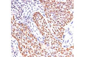
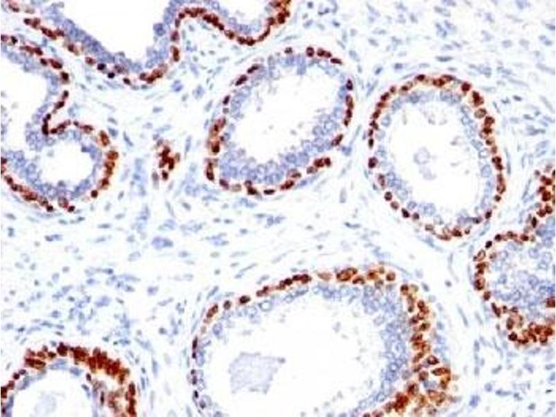
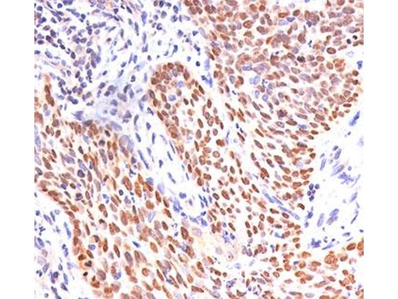
p40 (p63 Delta) (AA 5-17) antibody

The Rabbit Polyclonal anti-p40 (p63 Delta) antibody is suitable to detect p40 (p63 Delta) in samples from Human, Cow, Mouse and Rat. It has been validated for WB, FACS, IF and IHC (p).
Catalog No. ABIN3025362
$640.46
Plus shipping costs $50.00
100 μg
Shipping to: United States
Delivery in 2 to 4 Business Days

Quick Overview for p40 (p63 Delta) (AA 5-17) antibody (ABIN3025362)

Target

p40 (p63 Delta)

Reactivity

Human, Cow, Mouse, Rat

Host

  • 29
  • 2
Rabbit

Clonality

  • 17
  • 13
  • 1
Polyclonal

Conjugate

  • 7
  • 3
  • 2
  • 2
  • 2
  • 2
  • 2
  • 2
  • 1
  • 1
  • 1
  • 1
  • 1
  • 1
  • 1
  • 1
  • 1
Un-conjugated

Application

  • 21
  • 18
  • 14
  • 9
  • 8
  • 7
  • 2
  • 1
Western Blotting (WB), Flow Cytometry (FACS), Immunofluorescence (IF), Immunohistochemistry (Paraffin-embedded Sections) (IHC (p))
  • Binding Specificity

    • 10
    • 2
    • 1
    AA 5-17

    Purification

    Protein A affinity chromatography

    Immunogen

    Amino acids ENNAQTQFSEPQY (aa 5-17) of human p40 / p63 delta were used as the immunogen for this antibody.

    Isotype

    IgG
  • Application Notes

    The concentration stated for each application is a general starting point. Variations in protocols, secondaries and substrates may require the p40 antibody to be titered up or down for optimal performance.

    1. Staining of FFPE tissues requires boiling sections in 1  mM EDTA,  pH 9.0, for 10-20 min followed by cooling at RT for 20 min.
    2. The prediluted format is supplied in a dropper bottle and is optimized for use in IHC. After epitope retrieval step (if required), drip mAb solution onto the tissue section and incubate at RT for 30 min.\. FACS: 0.5-1 μg/10e6 cells,IF: 1-2 μg/mL,WB: 0.5-1 μg/mL,IHC (FFPE): 1-2 μg/mL for 30 minutes at RT (1),Prediluted format : incubate for 30 min at RT (2)

    Restrictions

    For Research Use only
  • Concentration

    1 mg/mL

    Buffer

    1 mg/mL in 1X PBS, BSA free, sodium azide free

    Preservative

    Azide free

    Storage

    4 °C,-20 °C

    Storage Comment

    Store the p40 antibody at 2-8°C (with azide) or aliquot and store at -20°C or colder (without azide).
  • Target

    p40 (p63 Delta)

    Alternative Name

    p40

    Background

    P40 (p63 delta) is a marker recently determined to be highly specific for squamous basal cells in the immunohistochemistry (IHC) application. The current more routinely recommended marker, p63, appears to have less specificity compared to p40, especially on squamous cell tumors. The ability to differentiate between lung adenocarcinoma vs. squamous cell carcinoma is difficult and has bearing on the different therapeutic avenues for each subtype treatment. p40 antibody's ability to distinguish between the tumor types appears to be superior when compared to p63. The ability to utilize a p40 antibody probe as a squamous cell marker bolsters its use for future sub-classification of lung cancers, especially by immunohistochemical techniques.

    Gene ID

    8626
You are here:
Chat with us!