Phone:
+1 877 302 8632
Fax:
+1 888 205 9894 (Toll-free)
E-Mail:
orders@antibodies-online.com

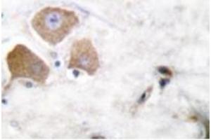
MAPT antibody (pSer396)

This Rabbit Polyclonal antibody specifically detects MAPT in WB and EIA. It exhibits reactivity toward Human, Rat and Mouse.
Catalog No. ABIN318142
$666.00
Plus shipping costs $50.00
0.1 mg
Shipping to: United States
Delivery in 1 to 2 Business Days

Quick Overview for MAPT antibody (pSer396) (ABIN318142)

Target

See all MAPT Antibodies
MAPT (Microtubule-Associated Protein tau (MAPT))

Reactivity

  • 269
  • 123
  • 117
  • 20
  • 8
  • 8
  • 7
  • 6
  • 4
  • 3
  • 2
  • 2
  • 2
  • 2
  • 1
  • 1
Human, Rat, Mouse

Host

  • 226
  • 25
  • 19
  • 7
  • 2
  • 1
Rabbit

Clonality

  • 196
  • 84
Polyclonal

Conjugate

  • 225
  • 17
  • 8
  • 5
  • 4
  • 4
  • 2
  • 2
  • 2
  • 2
  • 2
  • 2
  • 2
  • 1
  • 1
  • 1
This MAPT antibody is un-conjugated

Application

  • 212
  • 140
  • 88
  • 37
  • 30
  • 21
  • 18
  • 9
  • 3
  • 2
  • 2
  • 2
  • 1
  • 1
  • 1
  • 1
Western Blotting (WB), Enzyme Immunoassay (EIA)
  • Binding Specificity

    • 10
    • 9
    • 8
    • 8
    • 8
    • 7
    • 7
    • 7
    • 7
    • 7
    • 6
    • 6
    • 6
    • 6
    • 6
    • 5
    • 5
    • 4
    • 4
    • 4
    • 3
    • 3
    • 3
    • 3
    • 3
    • 3
    • 3
    • 3
    • 3
    • 3
    • 2
    • 2
    • 2
    • 2
    • 2
    • 2
    • 2
    • 2
    • 2
    • 2
    • 2
    • 2
    • 2
    • 2
    • 1
    • 1
    • 1
    • 1
    • 1
    • 1
    pSer396

    Purification

    Affinity Chromatography using epitope-specific immunogen.
  • Application Notes

    ELISA: 1/20000-1/40000. Western Blot: 1/500-1/1000. Immunohistochemistry: 1/50-1/200.
    Other applications not tested.
    Optimal dilutions are dependent on conditions and should be determined by the user.

    Restrictions

    For Research Use only
  • Concentration

    1.0 mg/mL

    Buffer

    Phosphate buffered saline (PBS), pH ~7.2 containing 15 mM Sodium Azide as preservative.

    Preservative

    Sodium azide

    Precaution of Use

    This product contains sodium azide: a POISONOUS AND HAZARDOUS SUBSTANCE which should be handled by trained staff only.

    Handling Advice

    Avoid repeated freezing and thawing.

    Storage

    4 °C/-20 °C

    Storage Comment

    Store the antibody undiluted at 2-8 °C for one month or (in aliquots) at -20 °C for longer.
  • Target

    MAPT (Microtubule-Associated Protein tau (MAPT))

    Alternative Name

    MAPT / tau

    Background

    Tau is a neuronal microtubule associated protein found predominantly on axons. The function of Tau is to promote tubulin polymerisation and stabilise microtubules, but it also serves to link certain signalling pathways to the cytoskeleton. Tau, in its hyperphosphorylated form, is the major component of paired helical filaments (PHF) and neurofibrillary lesions in Alzheimer's disease (AD) brain. Hyperphosphorylation impairs the microtubule binding function of Tau, resulting in the destabilisation of microtubules in AD brains, ultimately leading to the degeneration of the affected neurons. Hyperphosphorylated tau is also found in a range of other central nervous system disorders. Numerous serine/threonine kinases, including GSK3 beta, PKA, Cdk5, and casein kinase II can phosphorylate Tau.Synonyms: MAPTL, MTBT1, Microtubule-associated protein tau, Neurofibrillary tangle protein, PHF-tau, Paired helical filament-tau

    Gene ID

    9606

    UniProt

    P10636

    Pathways

    MAPK Signaling, Microtubule Dynamics, M Phase, Regulation of Cell Size
You are here:
Chat with us!