PIK3CA antibody (Internal Region)
Quick Overview for PIK3CA antibody (Internal Region) (ABIN334459)
Target
See all PIK3CA AntibodiesReactivity
Host
Clonality
Conjugate
Application
Grade
-
-
Binding Specificity
- Internal Region
-
Purpose
- PIK3CA / P110alpha
-
Sequence
- HQWLKDKNKG EIYD
-
Cross-Reactivity
- Cow, Dog, Human, Mouse, Rat
-
Purification
- Purified from goat serum by ammonium sulphate precipitation followed by antigen affinity chromatography using the immunizing peptide.
-
Immunogen
- Peptide with sequence C-HQWLKDKNKGEIYD, from the internal region of the protein sequence according to NP_006209.2.
-
Isotype
- IgG
-
-
-
-
Application Notes
-
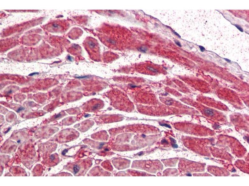
Immunohistochemistry: In paraffin embedded Human Brain (Cerebral Cortex) shows cytoplasm stained in the cell bodies. Recommended concentration: 2-3 μg/mL. Paraffin embedded Human Heart. Recommended concentration: 5 μg/mL. This antibody has been successfull
Western Blot: Preliminary experiments in lysates of cell lines A431, HeLa and Jurkat gave no specific signal but low background (at antibody concentration up to 1 μg/mL).
Peptide ELISA: antibody detection limit dilution 1:128000.
-
Restrictions
- For Research Use only
-
-
-
Format
- Liquid
-
Concentration
- 0.5 mg/mL
-
Buffer
- Supplied at 0.5 mg/mL in Tris saline, 0.02 % sodium azide, pH 7.3 with 0.5 % bovine serum albumin.
-
Preservative
- Sodium azide
-
Precaution of Use
- This product contains Sodium azide: a POISONOUS AND HAZARDOUS SUBSTANCE which should be handled by trained staff only.
-
Handling Advice
- Minimize freezing and thawing.
-
Storage
- -20 °C
-
Storage Comment
- Aliquot and store at -20°C, with minimal freeze/thawing. A working aliquot may be refrigerated at 4°C for a few weeks and still remain viable.
-
-
-
: "PIK3CA alterations in Middle Eastern ovarian cancers." in: Molecular cancer, Vol. 8, pp. 51, (2009) (PubMed).
-
-
- PIK3CA (Phosphoinositide-3-Kinase, Catalytic, alpha Polypeptide (PIK3CA))
-
Alternative Name
- PIK3CA
-
Background
- PIK3CA, p110-alpha, phosphoinositide-3-kinase, catalytic, alpha polypeptide , MGC142161, MGC142163, PI3K, PI3-kinase p110 subunit alpha, PtdIns-3-kinase p110, phosphatidylinositol 3-kinase, catalytic, 110-KD, alpha, phosphatidylinositol 3-kinase, catalyti
-
Gene ID
- 5290, 18706, 170911
-
NCBI Accession
- NP_006209
-
Pathways
- PI3K-Akt Signaling, RTK Signaling, TCR Signaling, AMPK Signaling, Interferon-gamma Pathway, TLR Signaling, Fc-epsilon Receptor Signaling Pathway, EGFR Signaling Pathway, Neurotrophin Signaling Pathway, Inositol Metabolic Process, Hepatitis C, CXCR4-mediated Signaling Events, Signaling Events mediated by VEGFR1 and VEGFR2, Signaling of Hepatocyte Growth Factor Receptor, VEGFR1 Specific Signals, VEGF Signaling
Target
-