Protein G Affinity Chromatography. Then, the antibody fraction is peptide affinity purified in a 2-step procedure with control and phosphorylated peptides. The phospho-specific antibody is eluted with high and low pH buffers and neutralized immediately, followed by dialysis against PBS.
Immunogen
This antibody is generated from rabbits immunized with a KLH conjugated synthetic phosphopeptide corresponding to amino acid residues surrounding Y1188 of human HER4.
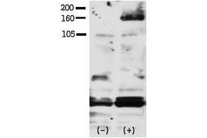
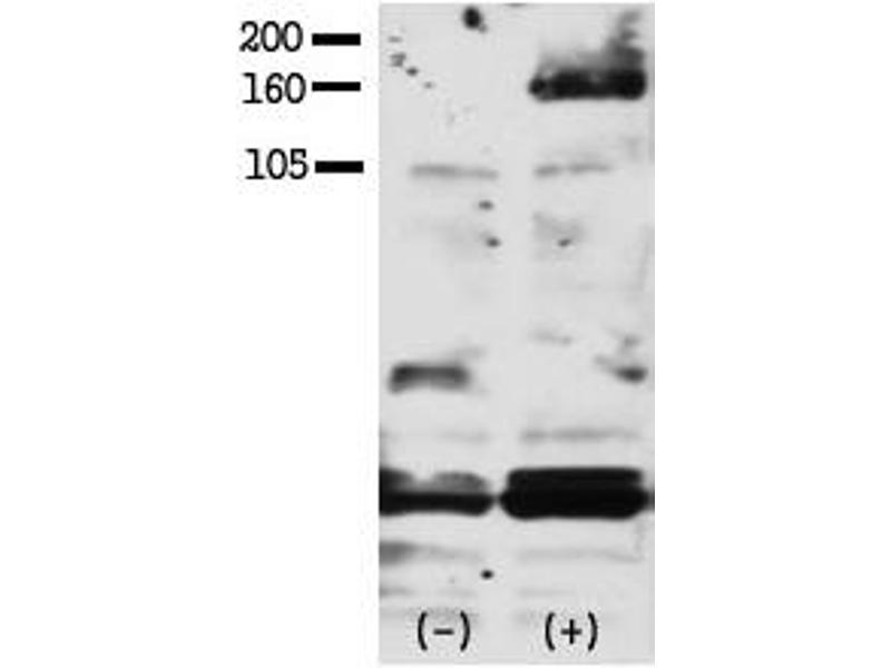
ELISA: 1/1,000. Western Blot: 1/100-1/500. Immunohistochemistry: 1/50-1/100. Other applications not tested. Optimal dilutions are dependent on conditions and should be determined by the user.
Restrictions
For Research Use only
Format
Liquid
Concentration
0.25 mg/mL
Buffer
PBS with 0.09 % (W/V) Sodium Azide as preservative.
Preservative
Sodium azide
Precaution of Use
This product contains sodium azide: a POISONOUS AND HAZARDOUS SUBSTANCE which should be handled by trained staff only.
Handling Advice
Avoid repeated freezing and thawing.
Storage
4 °C/-20 °C
Storage Comment
Store the antibody undiluted at 2-8 °C for one month or (in aliquots) at-20 °C for longer.
The HER4/ERBB4 gene is a member of the type I receptor tyrosine kinase subfamily that includes EGFR, ERBB2, and ERBB3. It encodes a receptor for NDF/heregulin.Synonyms: HER-4, Proto-oncogene-like protein c-ErbB-4, Receptor tyrosine-protein kinase erbB-4, Tyrosine kinase-type cell surface receptor HER4, c-ErbB-4, p180erbB4