Phone:
+1 877 302 8632
Fax:
+1 888 205 9894 (Toll-free)
E-Mail:
orders@antibodies-online.com

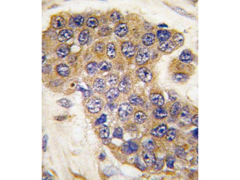
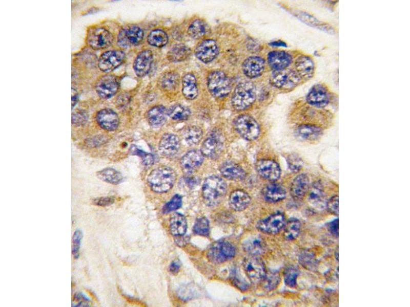
PUMA antibody (AA 119-154)

There is 1 publication for this product available. The Rabbit Polyclonal anti-PUMA antibody is suitable to detect PUMA in samples from Human. It has been validated for WB, IF, FACS and IHC (p).
Catalog No. ABIN388112
$451.00
Plus shipping costs $50.00
Shipping to: United States
Delivery in 10 to 12 Business Days

Quick Overview for PUMA antibody (AA 119-154) (ABIN388112)

Target

See all PUMA (BBC3) Antibodies
PUMA (BBC3) (BCL2 Binding Component 3 (BBC3))

Reactivity

  • 99
  • 52
  • 50
  • 16
  • 1
Human

Host

  • 97
  • 6
  • 1
Rabbit

Clonality

  • 76
  • 28
Polyclonal

Conjugate

  • 55
  • 5
  • 4
  • 3
  • 3
  • 3
  • 3
  • 3
  • 3
  • 3
  • 2
  • 2
  • 2
  • 1
  • 1
  • 1
  • 1
  • 1
  • 1
  • 1
  • 1
  • 1
  • 1
  • 1
  • 1
  • 1
This PUMA antibody is un-conjugated

Application

  • 84
  • 35
  • 32
  • 23
  • 21
  • 16
  • 14
  • 13
  • 11
  • 7
  • 5
  • 3
  • 2
  • 2
Western Blotting (WB), Immunofluorescence (IF), Flow Cytometry (FACS), Immunohistochemistry (Paraffin-embedded Sections) (IHC (p))

Clone

RB01353
  • Binding Specificity

    • 16
    • 11
    • 7
    • 7
    • 6
    • 5
    • 5
    • 4
    • 2
    • 2
    • 2
    • 1
    • 1
    • 1
    • 1
    • 1
    • 1
    • 1
    • 1
    • 1
    AA 119-154

    Predicted Reactivity

    M, Rat

    Purification

    This antibody is prepared by Saturated Ammonium Sulfate (SAS) precipitation followed by dialysis against PBS.

    Immunogen

    This Puma BH3 Domain antibody is generated from rabbits immunized with a KLH conjugated synthetic peptide between 119-154 amino acids from human Puma BH3 Domain.

    Isotype

    Ig Fraction
  • Application Notes

    IF: 1:10~50. WB: 1:1000. IHC-P: 1:10~50. FC: 1:10~50

    Restrictions

    For Research Use only
  • Format

    Liquid

    Buffer

    Purified polyclonal antibody supplied in PBS with 0.09 % (W/V) sodium azide.

    Preservative

    Sodium azide

    Precaution of Use

    This product contains Sodium azide: a POISONOUS AND HAZARDOUS SUBSTANCE which should be handled by trained staff only.

    Storage

    4 °C,-20 °C

    Storage Comment

    Maintain refrigerated at 2-8 °C for up to 6 months. For long term storage store at -20 °C in small aliquots to prevent freeze-thaw cycles.

    Expiry Date

    6 months
  • Vesela, Matalova: "Detection of Bim and Puma in mouse hair follicles using immunofluorescence and TUNEL assay double staining." in: Biotechnic & histochemistry : official publication of the Biological Stain Commission, pp. 1-7, (2015) (PubMed).

  • Target

    PUMA (BBC3) (BCL2 Binding Component 3 (BBC3))

    Alternative Name

    Puma

    Background

    PUMA is one of the pro-apoptotic Bcl-2 family members including Bax and Noxa, which are also transcriptional targets of p53. The PUMA gene encodes two BH3 domain-containing proteins termed PUMA-a and PUMA-b. PUMA proteins bind Bcl-2, localize to the mitochondria, and induce cytochrome c release and apoptosis in response to p53. PUMA may be a direct mediator of p53-induced apoptosis.

    Molecular Weight

    20532

    Gene ID

    27113

    NCBI Accession

    NP_001120712, NP_001120713, NP_001120714, NP_055232

    UniProt

    Q9BXH1

    Pathways

    p53 Signaling, Positive Regulation of Endopeptidase Activity
You are here:
Chat with us!