HTR2A antibody (N-Term)
Quick Overview for HTR2A antibody (N-Term) (ABIN461681)
Target
See all HTR2A AntibodiesReactivity
Host
Clonality
Conjugate
Application
-
-
Binding Specificity
- N-Term
-
Specificity
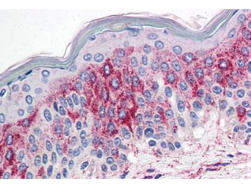
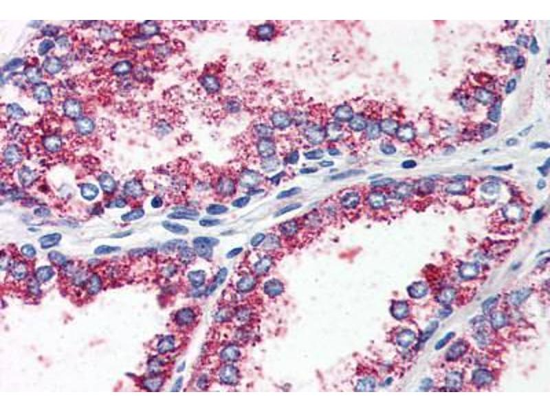
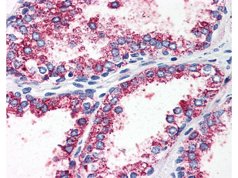
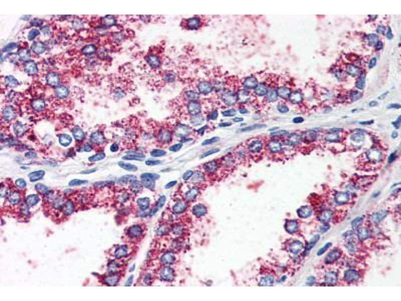
- Human 5HT2A Receptor. BLAST analysis of the peptide immunogen showed no homology with other human proteins.
-
Predicted Reactivity
- Percent identity with other species by BLAST analysis: Human, Chimpanzee, Gorilla, Orangutan, Gibbon, Monkey, Panda, Horse, Pig, Bat, Elephant (100%) Marmoset, Bovine, Dog (94%) Hamster (82%).
-
Purification
- Immunoaffinity purified
-
Immunogen
-
Synthetic 17 amino acid peptide from N-Terminus of human 5HT2A Receptor. Percent identity with other species by BLAST analysis: Human, Chimpanzee, Gorilla, Orangutan, Gibbon, Monkey, Panda, Horse, Pig, Bat, Elephant (100%), Marmoset, Bovine, Dog (94%), Hamster (82%).
Type of Immunogen: Synthetic peptide
-
-
-
-
Application Notes
-
Approved: IHC, IHC-P (10 - 12.5 μg/mL)
Usage: Immunohistochemistry with formalin-fixed paraffin-embedded tissues requires pretreatment with Proteinase K. -
Comment
-
Target Species of Antibody: Human
-
Restrictions
- For Research Use only
-
-
-
Format
- Liquid
-
Concentration
- Lot specific
-
Buffer
- PBS, less than 0.1 % sodium azide.
-
Preservative
- Sodium azide
-
Precaution of Use
- This product contains Sodium azide: a POISONOUS AND HAZARDOUS SUBSTANCE which should be handled by trained staff only.
-
Storage
- 4 °C,-20 °C
-
Storage Comment
- Aliquot and store undiluted at -20°C or below for up to 1 year. Can be stored undiluted at 4°C for up to 1 month. Avoid freeze-thaw cycles.
-
Expiry Date
- 12 months
-
-
- HTR2A (5-Hydroxytryptamine (serotonin) Receptor 2A (HTR2A))
-
Alternative Name
- HTR2A / 5-HT2A Receptor
-
Background
-
Name/Gene ID: HTR2A
Subfamily: Serotonin
Family: GPCR
Synonyms: HTR2A, 5-HT2A, 5-HT-2A, 5-HT2a receptor, 5HT2A Receptor, 5-HT-2, 5-HT2A/2C, 5-HT2A/2C receptor, 5-HT2 receptor, HTR2, Serotonin 5-HT-2A receptor, Serotonin receptor 2A, Serotonin 2a receptor -
Gene ID
- 3356
-
Pathways
- JAK-STAT Signaling, Inositol Metabolic Process, Regulation of Carbohydrate Metabolic Process
Target
-