Phone:
+1 877 302 8632
Fax:
+1 888 205 9894 (Toll-free)
E-Mail:
orders@antibodies-online.com

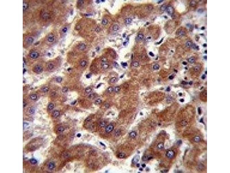
Androgen Receptor antibody (AA 365-392)

The Rabbit Polyclonal anti-Androgen Receptor antibody (ABIN3029940) specifically detects Androgen Receptor in WB, IHC and ELISA. The antibody is reactive with Human and Mouse samples.
Catalog No. ABIN3029940
$612.54
Plus shipping costs $50.00
Shipping to: United States
Delivery in 2 to 4 Business Days

Quick Overview for Androgen Receptor antibody (AA 365-392) (ABIN3029940)

Target

See all Androgen Receptor (AR) Antibodies
Androgen Receptor (AR)

Reactivity

  • 365
  • 109
  • 100
  • 29
  • 17
  • 17
  • 15
  • 12
  • 11
  • 4
  • 4
  • 3
  • 1
  • 1
Human, Mouse

Host

  • 311
  • 58
  • 1
  • 1
  • 1
Rabbit

Clonality

  • 258
  • 112
Polyclonal

Conjugate

  • 154
  • 32
  • 12
  • 12
  • 10
  • 10
  • 10
  • 10
  • 10
  • 10
  • 7
  • 7
  • 7
  • 7
  • 7
  • 7
  • 7
  • 7
  • 7
  • 5
  • 5
  • 5
  • 4
  • 3
  • 3
  • 2
  • 2
  • 2
  • 2
  • 2
  • 2
  • 1
  • 1
This Androgen Receptor antibody is un-conjugated

Application

  • 232
  • 108
  • 98
  • 66
  • 63
  • 53
  • 38
  • 28
  • 27
  • 24
  • 18
  • 17
  • 4
  • 3
  • 3
  • 3
  • 2
  • 2
  • 2
  • 2
  • 2
  • 2
  • 1
  • 1
  • 1
  • 1
  • 1
Western Blotting (WB), Immunohistochemistry (IHC), ELISA
  • Binding Specificity

    • 23
    • 22
    • 22
    • 20
    • 17
    • 17
    • 15
    • 13
    • 13
    • 10
    • 10
    • 8
    • 8
    • 8
    • 7
    • 7
    • 7
    • 7
    • 6
    • 5
    • 4
    • 4
    • 4
    • 4
    • 3
    • 3
    • 3
    • 2
    • 2
    • 2
    • 2
    • 2
    • 2
    • 2
    • 2
    • 2
    • 2
    • 1
    • 1
    • 1
    • 1
    • 1
    • 1
    • 1
    • 1
    • 1
    • 1
    • 1
    • 1
    • 1
    AA 365-392

    Cross-Reactivity (Details)

    Expected species reactivity: Pig, Primate

    Purification

    Antigen affinity purified

    Immunogen

    A portion of amino acids 365-392 from the human protein was used as the immunogen for this Androgen Receptor antibody.

    Isotype

    Ig Fraction
  • Application Notes

    Titration of the Androgen Receptor antibody may be required due to differences in protocols and secondary/substrate sensitivity.\. Western blot: 1:1000,IHC (Paraffin): 1:10-1:50

    Restrictions

    For Research Use only
  • Format

    Liquid

    Buffer

    In 1X PBS pH 7.4 with 0.09 % sodium azide

    Preservative

    Sodium azide

    Precaution of Use

    This product contains Sodium azide: a POISONOUS AND HAZARDOUS SUBSTANCE which should be handled by trained staff only.

    Storage

    -20 °C

    Storage Comment

    Aliquot the Androgen Receptor antibody and store frozen at -20°C or colder. Avoid repeated freeze-thaw cycles.
  • Target

    Androgen Receptor (AR)

    Alternative Name

    Androgen Receptor

    Background

    Steroid hormone receptors are ligand-activated transcription factors that regulate eukaryotic gene expression and affect cellular proliferation and differentiation in target tissues. Transcription factor activity of Androgen Receptor is modulated by bound coactivator and corepressor proteins. Transcription activation is down-regulated by NR0B2. Activated, but not phosphorylated, by HIPK3 and ZIPK/DAPK3. [UniProt]

    UniProt

    P10275

    Pathways

    Nuclear Receptor Transcription Pathway, Intracellular Steroid Hormone Receptor Signaling Pathway, Steroid Hormone Mediated Signaling Pathway, Regulation of Intracellular Steroid Hormone Receptor Signaling, Nuclear Hormone Receptor Binding, Chromatin Binding
You are here:
Chat with us!