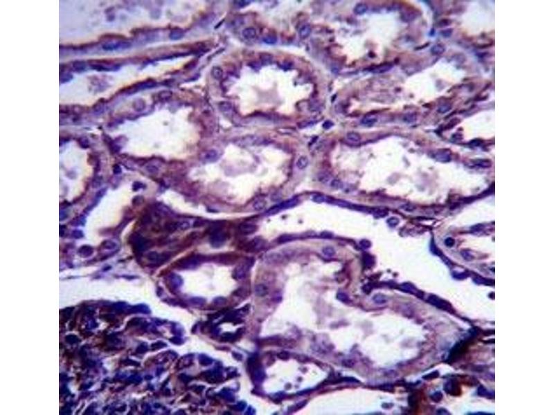
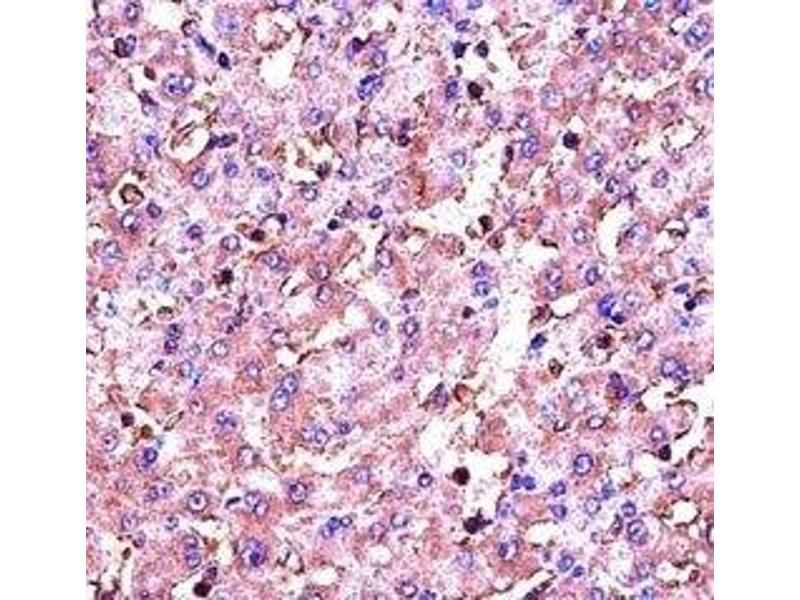
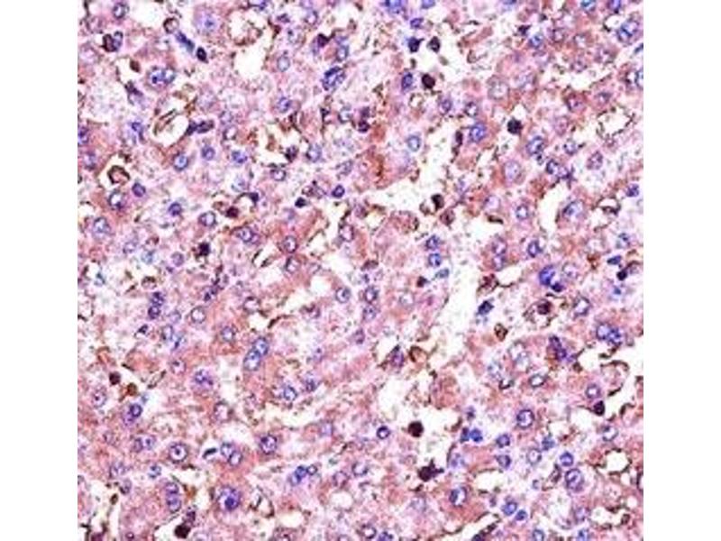
IGF1 antibody (AA 115-144)
Quick Overview for IGF1 antibody (AA 115-144) (ABIN3031342)
Target
See all IGF1 AntibodiesReactivity
Host
Clonality
Conjugate
Application
-
-
Binding Specificity
- AA 115-144
-
Purification
- Antigen affinity purified
-
Immunogen
- A portion of amino acids 115-144 from the human protein was used as the immunogen for this IGF1 antibody.
-
Isotype
- Ig Fraction
-
-
-
-
Application Notes
- Titration of the IGF1 antibody may be required due to differences in protocols and secondary/substrate sensitivity.\. Western blot: 1:1000,Immunofluorescence: 1:10-1:50,Flow Cytometry: 1:10-1:50,IHC (Paraffin): 1:10-1:50
-
Restrictions
- For Research Use only
-
-
-
Format
- Liquid
-
Buffer
- In 1X PBS pH 7.4 with 0.09 % sodium azide
-
Preservative
- Sodium azide
-
Precaution of Use
- This product contains Sodium azide: a POISONOUS AND HAZARDOUS SUBSTANCE which should be handled by trained staff only.
-
Storage
- -20 °C
-
Storage Comment
- Aliquot the IGF1 antibody and store frozen at -20°C or colder. Avoid repeated freeze-thaw cycles.
-
-
- IGF1 (Insulin-Like Growth Factor 1 (IGF1))
-
Alternative Name
- IGF1
-
Background
- The protein encoded by this gene is similar to insulin in function and structure and is a member of a family of proteins involved in mediating growth and development. The encoded protein is processed from a precursor, bound by a specific receptor, and secreted. Defects in this gene are a cause of insulin-like growth factor I deficiency. Several transcript variants encoding different isoforms have been found for this gene.
-
Pathways
- RTK Signaling, Intracellular Steroid Hormone Receptor Signaling Pathway, Peptide Hormone Metabolism, Hormone Activity, Regulation of Intracellular Steroid Hormone Receptor Signaling, Regulation of Hormone Metabolic Process, Regulation of Hormone Biosynthetic Process, Stem Cell Maintenance, Glycosaminoglycan Metabolic Process, Regulation of Carbohydrate Metabolic Process, Autophagy, Smooth Muscle Cell Migration, Activated T Cell Proliferation, Positive Regulation of fat Cell Differentiation
Target
-