Phone:
+1 877 302 8632
Fax:
+1 888 205 9894 (Toll-free)
E-Mail:
orders@antibodies-online.com

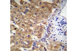
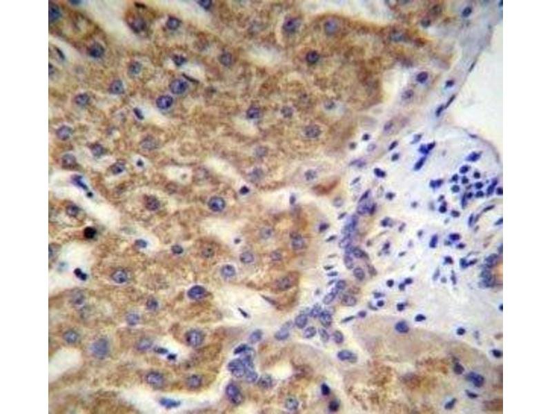
MUC15 antibody (AA 209-237)

The Rabbit Polyclonal anti-MUC15 antibody (ABIN3028848) specifically detects MUC15 in WB, ELISA and IHC. The antibody is reactive with Human samples.
Catalog No. ABIN3028848
$612.54
Plus shipping costs $50.00
Shipping to: United States
Delivery in 2 to 4 Business Days

Quick Overview for MUC15 antibody (AA 209-237) (ABIN3028848)

Target

See all MUC15 Antibodies
MUC15 (Mucin 15, Cell Surface Associated (MUC15))

Reactivity

  • 40
  • 9
  • 4
  • 2
  • 2
  • 2
  • 2
  • 2
  • 1
  • 1
Human

Host

  • 40
Rabbit

Clonality

  • 40
Polyclonal

Conjugate

  • 11
  • 2
  • 2
  • 2
  • 2
  • 1
  • 1
  • 1
  • 1
  • 1
  • 1
  • 1
  • 1
  • 1
  • 1
  • 1
  • 1
  • 1
  • 1
  • 1
  • 1
  • 1
  • 1
  • 1
  • 1
  • 1
This MUC15 antibody is un-conjugated

Application

  • 34
  • 13
  • 13
  • 12
  • 8
  • 5
  • 3
  • 1
  • 1
Western Blotting (WB), ELISA, Immunohistochemistry (IHC)
You are here:
Chat with us!