Phone:
+1 877 302 8632
Fax:
+1 888 205 9894 (Toll-free)
E-Mail:
orders@antibodies-online.com

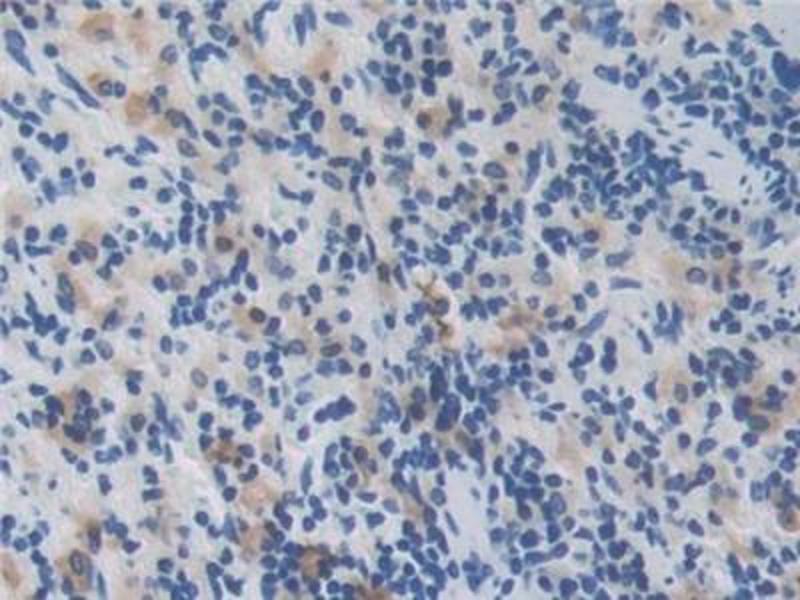
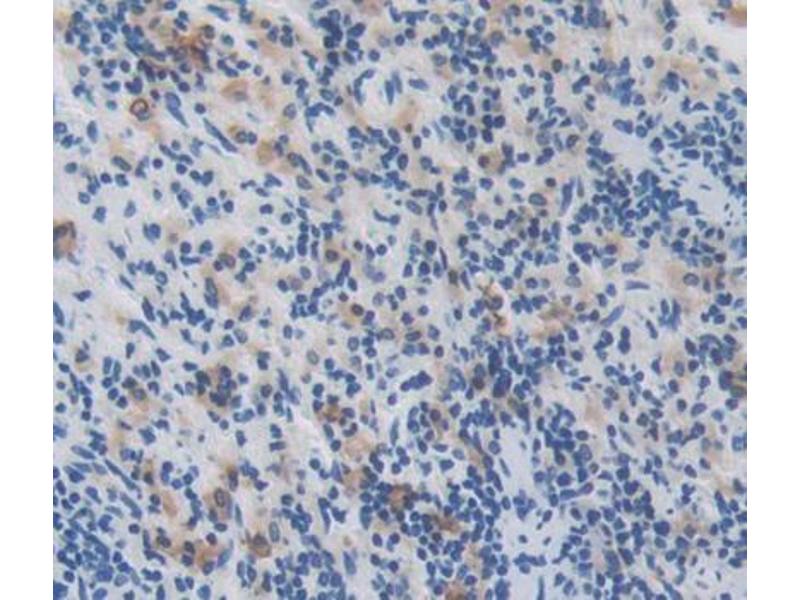
Manic Fringe antibody (AA 56-309)

This Rabbit Polyclonal antibody specifically detects Manic Fringe in WB, IHC, IP and ICC. It exhibits reactivity toward Rat.
Catalog No. ABIN5013233
$293.00
Plus shipping costs $50.00
100 μL
Shipping to: United States
Delivery in 15 to 19 Business Days

Quick Overview for Manic Fringe antibody (AA 56-309) (ABIN5013233)

Target

See all Manic Fringe (MFNG) Antibodies
Manic Fringe (MFNG) (MFNG)

Reactivity

  • 29
  • 27
  • 10
  • 5
  • 5
  • 4
  • 4
  • 4
  • 2
  • 2
  • 2
  • 2
  • 1
  • 1
Rat

Host

  • 43
  • 4
  • 1
Rabbit

Clonality

  • 47
  • 1
Polyclonal

Conjugate

  • 24
  • 2
  • 2
  • 2
  • 1
  • 1
  • 1
  • 1
  • 1
  • 1
  • 1
  • 1
  • 1
  • 1
  • 1
  • 1
  • 1
  • 1
  • 1
  • 1
  • 1
  • 1
This Manic Fringe antibody is un-conjugated

Application

  • 22
  • 14
  • 14
  • 13
  • 13
  • 8
  • 7
  • 6
  • 5
  • 3
  • 1
Western Blotting (WB), Immunohistochemistry (IHC), Immunoprecipitation (IP), Immunocytochemistry (ICC)
  • Binding Specificity

    • 16
    • 4
    • 3
    • 2
    • 2
    • 2
    • 1
    • 1
    • 1
    • 1
    • 1
    • 1
    • 1
    • 1
    • 1
    AA 56-309

    Purpose

    Polyclonal Antibody to Beta-1,3-N-Acetylglucosaminyltransferase Manic Fringe (MFNG)

    Specificity

    The antibody is a rabbit polyclonal antibody raised against MFNG. It has been selected for its ability to recognize MFNG in immunohistochemical staining and western blotting.

    Purification

    Antigen-specific affinity chromatography followed by Protein A affinity chromatography

    Immunogen

    MFNG (Ile56-Tyr309)

    Isotype

    IgG
  • Application Notes

    Western blotting: 0.2-2 μg/mL,1:250-2500 Immunohistochemistry: 5-20 μg/mL,1:25-100 Immunocytochemistry: 5-20 μg/mL,1:25-100 Optimal working dilutions must be determined by end user.

    Comment

    The thermal stability is described by the loss rate. The loss rate was determined by accelerated thermal degradation test, that is, incubate the protein at 37°C for 48h, and no obvious degradation and precipitation were observed. The loss rate is less than 5% within the expiration date under appropriate storage condition.

    Restrictions

    For Research Use only
  • Format

    Liquid

    Concentration

    500 μg/mL

    Buffer

    PBS, pH 7.4, containing 0.01 % SKL, 1 mM DTT, 5 % Trehalose and Proclin300.

    Preservative

    Dithiothreitol (DTT), ProClin

    Storage

    4 °C,-20 °C

    Storage Comment

    Store at 4°C for frequent use. Stored at -20°C in a manual defrost freezer for two year without detectable loss of activity. Avoid repeated freeze-thaw cycles.
  • Target

    Manic Fringe (MFNG) (MFNG)

    Alternative Name

    MFNG

    Background

    MFNG O-Fucosylpeptide 3-Beta-N-Acetylglucosaminyltransferase

    Pathways

    Notch Signaling
You are here:
Chat with us!