SHP1 antibody
Quick Overview for SHP1 antibody (ABIN6939660)
Target
See all SHP1 (PTPN6) AntibodiesReactivity
Host
Clonality
Conjugate
Application
Clone
-
-
Purification
- Purified by Protein A/G
-
Immunogen
- Recombinant human full-length APEX1 protein
-
Isotype
- IgG1 kappa
-
-
-
-
Application Notes
-
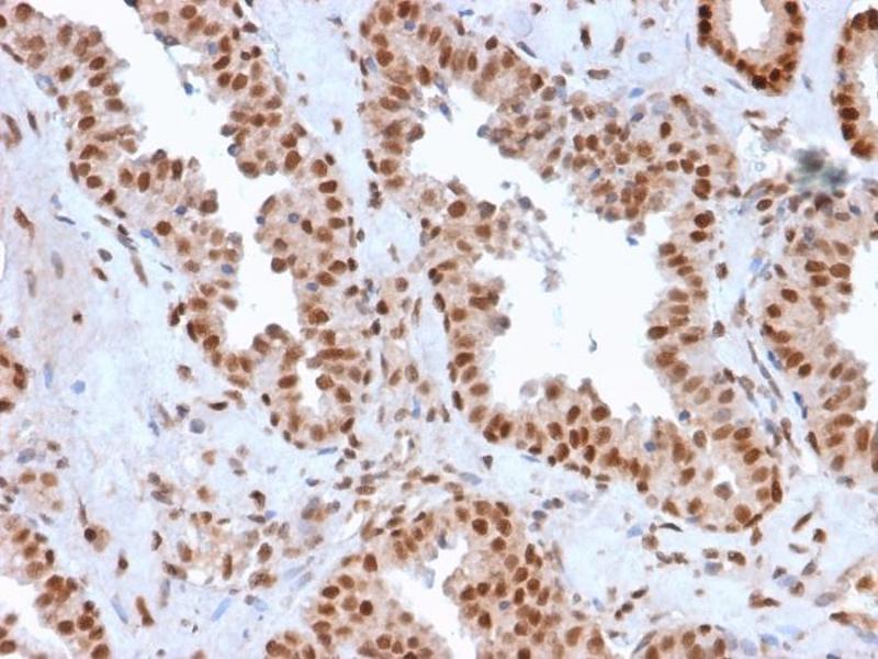
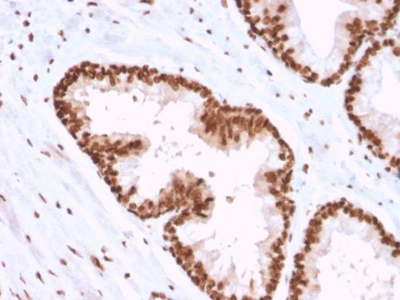
Positive Control: A431, A549, PC3, HAP1, HePG2, MCF-7, HeLa, NIH/3T3 and C6 whole cell lysates. Human ovarian carcinoma.
Known Application: Flow Cytometry (1-2 μg/million cells),Immunofluorescence (1-2 μg/mL), Western Blot (1-2 μg/mL),Immunohistochemistry (Formalin-fixed) (0.5-1 μg/mL for 30 min at RT),(Staining of formalin-fixed tissues requires boiling tissue sections in 10 mM Citrate Buffer, pH 6.0, for 10-20 min followed by cooling at RT for 20 minutes),Optimal dilution for a specific application should be determined.
-
Restrictions
- For Research Use only
-
-
-
Concentration
- 200 μg/mL
-
Buffer
- 10 mM PBS with 0.05 % BSA & 0.05 % azide.
-
Preservative
- Sodium azide
-
Precaution of Use
- This product contains Sodium azide: a POISONOUS AND HAZARDOUS SUBSTANCE which should be handled by trained staff only.
-
Storage
- 4 °C,-80 °C
-
Storage Comment
- Antibody with azide - store at 2 to 8°C. Antibody without azide - store at -20 to -80°C. Antibody is stable for 24 months. Non-hazardous. No MSDS required.
-
Expiry Date
- 24 months
-
-
- SHP1 (PTPN6) (Protein-tyrosine Phosphatase 1C (PTPN6))
-
Alternative Name
- PTPN6
-
Background
- APEX / APE1 is a multifunctional protein that plays a central role in the cellular response to oxidative stress. The two major activities of APEX1 in DNA repair and redox regulation of transcriptional factors. Functions as a apurinic/apyrimidinic (AP) endodeoxyribonuclease in the DNA base excision repair (BER) pathway of DNA lesions induced by oxidative and alkylating agents. Patients with genetic variants in APEX1 and XRCC1 have been shown to have a higher risk of lung cancer. Elevated APEX1 levels observed in human testicular cancer may be related to relative resistance to therapy and therefore may serve as a diagnostic marker for refractory disease.
-
Molecular Weight
- 35kDa
-
Gene ID
- 328
-
UniProt
- P27695
-
Pathways
- JAK-STAT Signaling, TCR Signaling, TLR Signaling, Nuclear Receptor Transcription Pathway, Positive Regulation of Peptide Hormone Secretion, Steroid Hormone Mediated Signaling Pathway, Response to Growth Hormone Stimulus, Regulation of Leukocyte Mediated Immunity, CXCR4-mediated Signaling Events, Signaling Events mediated by VEGFR1 and VEGFR2, BCR Signaling
Target
-