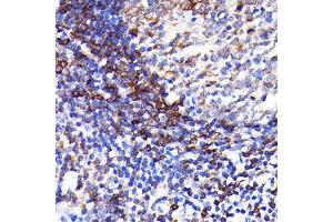
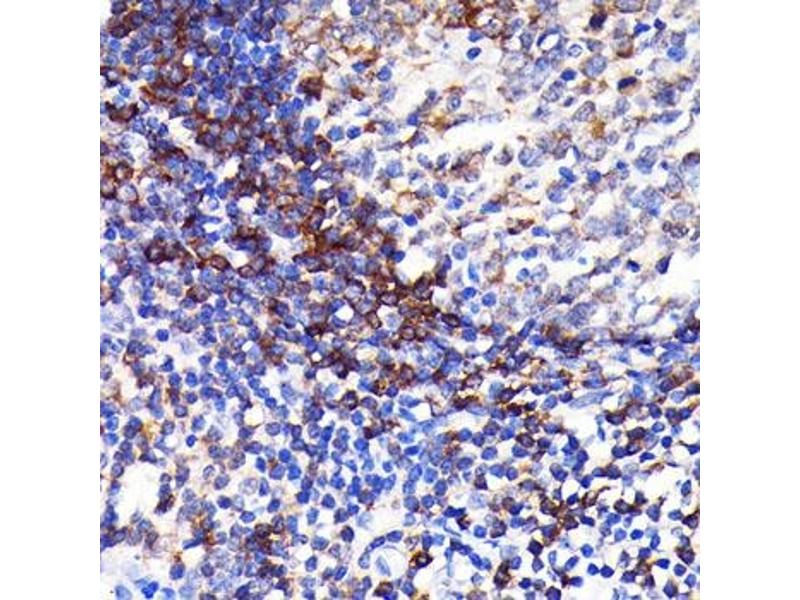
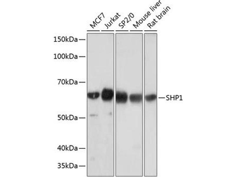
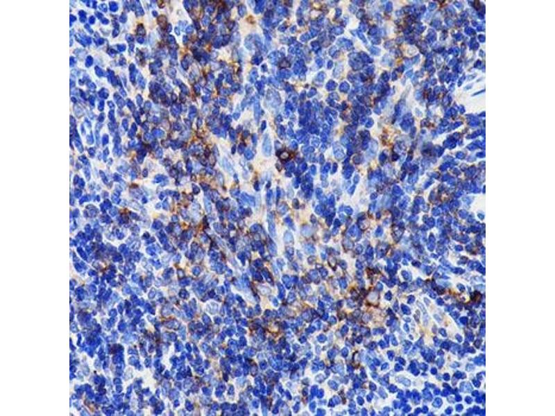
The protein encoded by this gene is a member of the protein tyrosine phosphatase (PTP) family. PTPs are known to be signaling molecules that regulate a variety of cellular processes including cell growth, differentiation, mitotic cycle, and oncogenic transformation. N-terminal part of this PTP contains two tandem Src homolog (SH2) domains, which act as protein phospho-tyrosine binding domains, and mediate the interaction of this PTP with its substrates. This PTP is expressed primarily in hematopoietic cells, and functions as an important regulator of multiple signaling pathways in hematopoietic cells. This PTP has been shown to interact with, and dephosphorylate a wide spectrum of phospho-proteins involved in hematopoietic cell signaling. Multiple alternatively spliced variants of this gene, which encode distinct isoforms, have been reported. [provided by RefSeq, Jul 2008],HCP,HCPH,HPTP1C,PTP-1C,SH-PTP1,SHP-1,SHP-1L,SHP1,CTCN6,PTPN6,Apoptosis,B Cell Receptor Signaling Pathway,Cancer,Cell Biology & Developmental Biology,Cell Cycle,G protein signaling,G protein signaling_G-Protein-Coupled Receptors(GPCR),IL-6 Receptor Signaling Pathway,Immunology & Inflammation,Kinase,Kinase_Tyrosine kinases,Protein phosphorylation,Signal Transduction,PTPN6