KIT antibody
Quick Overview for KIT antibody (ABIN6939853)
Target
See all KIT AntibodiesReactivity
Host
Clonality
Conjugate
Application
Clone
-
-
Specificity
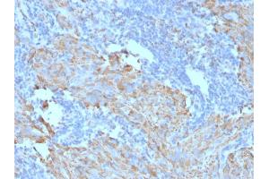
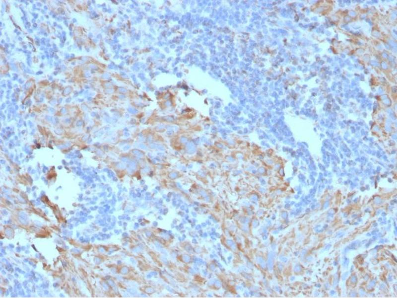
- This MAb recognizes a protein of 145 kDa, identified as CD117/p145kit. It is found on a wide variety of tumor cells including follicular and papillary carcinoma of thyroid, adenocarcinomas from endometrium, lung, ovary, pancreas, and breast as well as malignant melanoma, endodermal sinus tumor, and small cell carcinoma. However, anti-CD117 has been particularly useful in differentiating gastrointestinal stromal tumors from Kaposi's sarcoma, tumors of smooth muscle origin, fibromatosis, and neural tumors of the GI tract. Anti-CD117 is also useful in recognizing myeloblasts in bone marrow biopsy and clot section.
-
Purification
- Purified by Protein A/G
-
Immunogen
- Recombinant human CD117 protein
-
Isotype
- IgG1 kappa
-
-
-
-
Application Notes
-
Positive Control: Gastrointestinal Stromal Tumor (GIST) or testicular germ cell tumor. Melanocytes in the basal layer of the epidermis and mast cells in the dermis of normal skin.
Known Application: Immunohistochemistry (Formalin-fixed) (1-2 μg/mL for 30 minutes at RT)(Staining of formalin-fixed tissues requires boiling tissue sections in 1 mM EDTA buffer, pH 9.5, for 10-20 min followed by cooling at RT for 20 minutes)Optimal dilution for a specific application should be determined.
-
Restrictions
- For Research Use only
-
-
-
Concentration
- 200 μg/mL
-
Buffer
- 10 mM PBS with 0.05 % BSA & 0.05 % azide.
-
Preservative
- Sodium azide
-
Precaution of Use
- This product contains Sodium azide: a POISONOUS AND HAZARDOUS SUBSTANCE which should be handled by trained staff only.
-
Storage
- 4 °C,-80 °C
-
Storage Comment
- Antibody with azide - store at 2 to 8°C. Antibody without azide - store at -20 to -80°C. Antibody is stable for 24 months. Non-hazardous. No MSDS required.
-
Expiry Date
- 24 months
-
-
- KIT (Mast/stem Cell Growth Factor Receptor (KIT))
-
Alternative Name
- KIT
-
Molecular Weight
- ~145kDa
-
Gene ID
- 3815
-
UniProt
- P10721
-
Pathways
- RTK Signaling, Fc-epsilon Receptor Signaling Pathway, EGFR Signaling Pathway, Neurotrophin Signaling Pathway, Sensory Perception of Sound, Stem Cell Maintenance, Production of Molecular Mediator of Immune Response, Regulation of long-term Neuronal Synaptic Plasticity
Target
-