Recombinant TNF alpha antibody
Quick Overview for Recombinant TNF alpha antibody (ABIN6940762)
Target
See all TNF alpha AntibodiesAntibody Type
Reactivity
Host
Clonality
Conjugate
Application
Clone
-
-
Specificity
- This MAb recognizes human 17-26 kDa protein, which is identified as cytokine TNF-alpha (Tumor Necrosis Factor-alpha). TNF-alpha can be expressed as a 17 kDa free molecule, or as a 26 kDa membrane protein. TNF-alpha is a protein secreted by lipopolysaccharide-stimulated macrophages, and causes tumor necrosis when injected into tumor bearing mice. TNF alpha causes cytolysis of certain transformed cells, being synergistic with interferon gamma in its cytotoxicity. Although it has little effect on many cultured normal human cells, TNF alpha appears to be directly toxic to vascular endothelial cells. Other actions of TNF alpha include stimulating growth of human fibroblasts and other cell lines, activating polymorphonuclear neutrophils and osteoclasts, and induction of interleukin 1, prostaglandin E2 and collagenase production. TNF alpha is currently being evaluated in treatment of certain cancers and AIDS Related Complex.
-
Immunogen
- Recombinant full-length human TNF-alpha protein
-
Isotype
- IgG
-
-
-
-
Application Notes
-
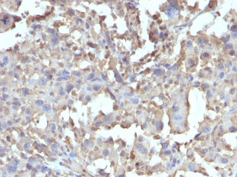
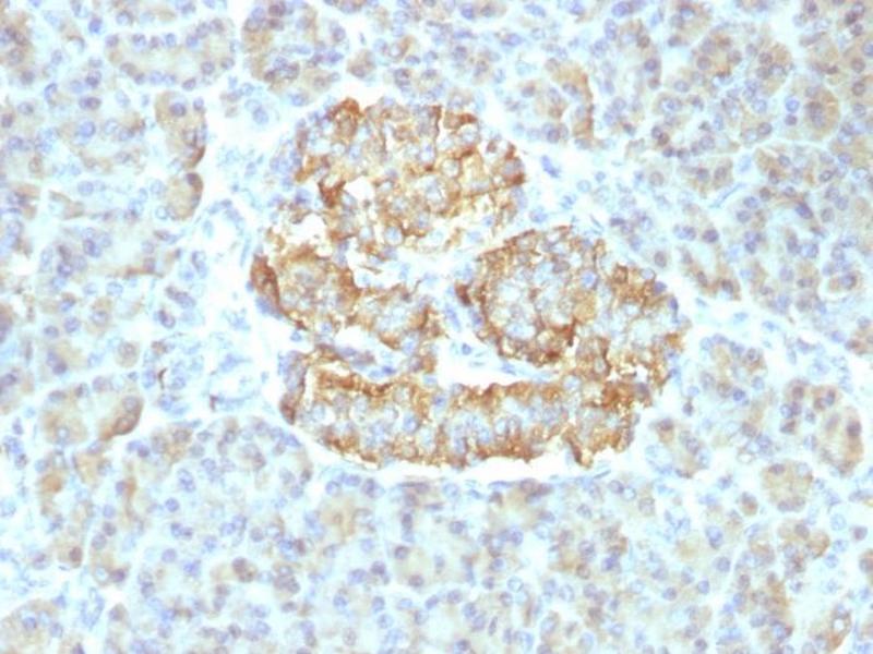
Positive Control: HeLa, HL-60 or A431 cells. Pancreas or Histiocytoma.
Known Application: Immunohistochemistry (Formalin-fixed) (4-8 μg/mL for 30 min at RT)(Staining of formalin-fixed tissues requires boiling tissue sections in 10 mM Citrate Buffer, pH 6.0, for 10-20 min followed by cooling at RT for 20 minutes)Optimal dilution for a specific application should be determined.
-
Restrictions
- For Research Use only
-
-
-
Concentration
- 200 μg/mL
-
Buffer
- 10 mM PBS with 0.05 % BSA & 0.05 % azide.
-
Preservative
- Sodium azide
-
Precaution of Use
- This product contains Sodium azide: a POISONOUS AND HAZARDOUS SUBSTANCE which should be handled by trained staff only.
-
Storage
- 4 °C,-80 °C
-
Storage Comment
- Antibody with azide - store at 2 to 8°C. Antibody without azide - store at -20 to -80°C. Antibody is stable for 24 months. Non-hazardous. No MSDS required.
-
Expiry Date
- 24 months
-
-
- TNF alpha (Tumor Necrosis Factor alpha (TNF alpha))
-
Alternative Name
- TNF
-
Molecular Weight
- 17kDa
-
Gene ID
- 7124
-
UniProt
- P01375
-
Pathways
- NF-kappaB Signaling, Apoptosis, Caspase Cascade in Apoptosis, TLR Signaling, Cellular Response to Molecule of Bacterial Origin, Regulation of Leukocyte Mediated Immunity, Positive Regulation of Immune Effector Process, Production of Molecular Mediator of Immune Response, Positive Regulation of Endopeptidase Activity, Hepatitis C, Protein targeting to Nucleus, Inflammasome
Target
-