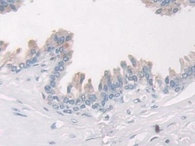
PAI1 antibody
Quick Overview for PAI1 antibody (ABIN7427915)
Target
See all PAI1 (SERPINE1) AntibodiesReactivity
Host
Clonality
Conjugate
Application
Clone
-
-
Purpose
- Monoclonal Antibody to Plasminogen Activator Inhibitor 1 (PAI1)
-
Specificity
- The antibody is a mouse monoclonal antibody raised against PAI1. It has been selected for its ability to recognize PAI1 in immunohistochemical staining and western blotting.
-
Purification
- Protein A + Protein G affinity chromatography
-
Immunogen
- Recombinant Plasminogen Activator Inhibitor 1 (PAI1) corresdonding to N-terminal His Tag
-
Isotype
- IgG2a kappa
-
-
-
-
Application Notes
- Western blotting: 0.5-3 μg/mL,Immunohistochemistry: 5-30 μg/mL,Immunocytochemistry: 5-30 μg/mL,Optimal working dilutions must be determined by end user.
-
Comment
-
The thermal stability is described by the loss rate. The loss rate was determined by accelerated thermal degradation test, that is, incubate the protein at 37°C for 48h, and no obvious degradation and precipitation were observed. The loss rate is less than 5% within the expiration date under appropriate storage condition.
-
Restrictions
- For Research Use only
-
-
-
Format
- Liquid
-
Concentration
- 1 mg/mL
-
Buffer
- 0.01M PBS, pH 7.4, containing 0.05 % Proclin-300, 50 % glycerol.
-
Preservative
- ProClin
-
Precaution of Use
- This product contains ProClin: a POISONOUS AND HAZARDOUS SUBSTANCE which should be handled by trained staff only.
-
Storage
- 4 °C,-20 °C
-
Storage Comment
- Store at 4°C for frequent use. Stored at -20°C in a manual defrost freezer for two year without detectable loss of activity. Avoid repeated freeze-thaw cycles.
-
Expiry Date
- 24 months
-
-
- PAI1 (SERPINE1) (Plasminogen Activator Inhibitor 1 (SERPINE1))
-
Alternative Name
- PAI1
-
Background
- SERPINE1, PLANH1, Serpin Peptidase Inhibitor Clade E Member 1, Nexin,Plasminogen Activator Inhibitor Type 1 Serpin E1, Endothelial plasminogen activator inhibitor
-
UniProt
- P05121
-
Pathways
- p53 Signaling, Cellular Response to Molecule of Bacterial Origin, Carbohydrate Homeostasis, Autophagy, Smooth Muscle Cell Migration
Target
-