Phone:
+1 877 302 8632
Fax:
+1 888 205 9894 (Toll-free)
E-Mail:
orders@antibodies-online.com

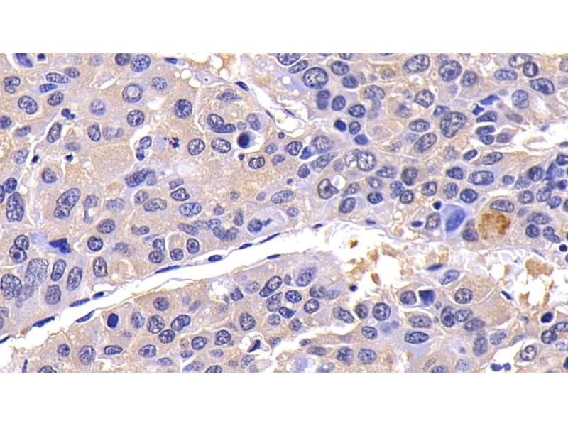
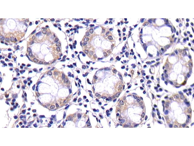
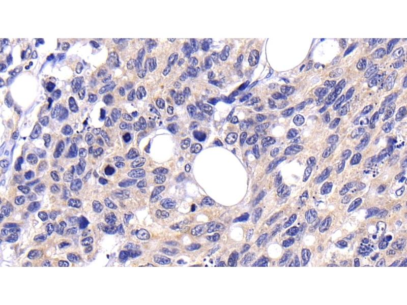
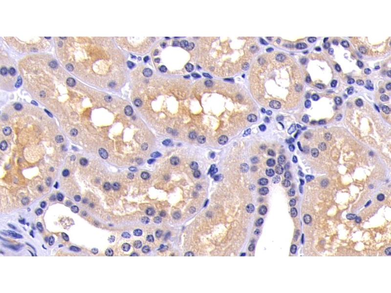
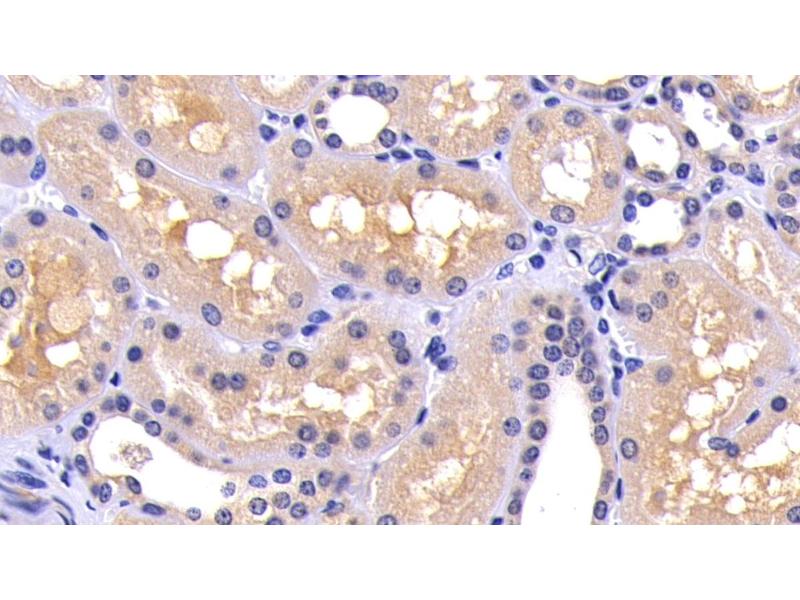
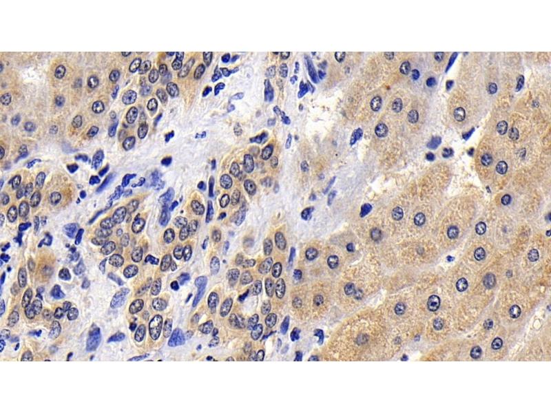
Caspase 8 antibody (AA 217-384)

The Rabbit Polyclonal anti-Caspase 8 antibody (ABIN7432745) specifically detects Caspase 8 in WB, IHC, ICC and IF. The antibody is reactive with Human samples.
Catalog No. ABIN7432745
$277.07
Plus shipping costs $50.00
Shipping to: United States
Delivery in 13 to 17 Business Days

Quick Overview for Caspase 8 antibody (AA 217-384) (ABIN7432745)

Target

See all Caspase 8 (CASP8) Antibodies
Caspase 8 (CASP8)

Reactivity

  • 173
  • 73
  • 66
  • 23
  • 16
  • 16
  • 11
  • 2
  • 1
Human

Host

  • 164
  • 31
  • 5
  • 2
Rabbit

Clonality

  • 137
  • 64
Polyclonal

Conjugate

  • 118
  • 19
  • 11
  • 4
  • 3
  • 3
  • 3
  • 3
  • 3
  • 3
  • 2
  • 2
  • 2
  • 2
  • 2
  • 2
  • 2
  • 2
  • 2
  • 2
  • 2
  • 2
  • 2
  • 2
  • 2
  • 2
This Caspase 8 antibody is un-conjugated

Application

  • 182
  • 63
  • 48
  • 47
  • 47
  • 40
  • 27
  • 27
  • 26
  • 23
  • 8
  • 4
  • 4
  • 3
  • 1
  • 1
  • 1
  • 1
Western Blotting (WB), Immunohistochemistry (IHC), Immunocytochemistry (ICC), Immunofluorescence (IF)
  • Binding Specificity

    • 16
    • 16
    • 12
    • 7
    • 7
    • 7
    • 6
    • 6
    • 5
    • 4
    • 4
    • 3
    • 3
    • 3
    • 3
    • 3
    • 3
    • 2
    • 2
    • 2
    • 2
    • 2
    • 2
    • 2
    • 2
    • 2
    • 2
    • 2
    • 2
    • 2
    • 1
    • 1
    • 1
    • 1
    • 1
    • 1
    • 1
    • 1
    • 1
    • 1
    • 1
    • 1
    • 1
    • 1
    • 1
    • 1
    • 1
    • 1
    • 1
    • 1
    AA 217-384

    Purpose

    Polyclonal Antibody to Caspase 8 (CASP8)

    Specificity

    The antibody is a rabbit polyclonal antibody raised against CASP8. It has been selected for its ability to recognize CASP8 in immunohistochemical staining and western blotting.

    Cross-Reactivity

    Mouse, Pig, Rat

    Purification

    Antigen-specific affinity chromatography followed by Protein A affinity chromatography

    Immunogen

    Recombinant Caspase 8 (CASP8) corresdonding to Ser217~Asp384 with N-terminal His Tag

    Isotype

    IgG
  • Application Notes

    Western blotting: 0.01-2 μg/mL,Immunohistochemistry: 5-30 μg/mL,Immunofluorescence:5-20 μg/mL,Optimal working dilutions must be determined by end user.

    Comment

    The thermal stability is described by the loss rate. The loss rate was determined by accelerated thermal degradation test, that is, incubate the protein at 37°C for 48h, and no obvious degradation and precipitation were observed. The loss rate is less than 5% within the expiration date under appropriate storage condition.

    Restrictions

    For Research Use only
  • Format

    Liquid

    Concentration

    0.5 mg/mL

    Buffer

    0.01M PBS, pH 7.4, containing 0.05 % Proclin-300, 50 % glycerol.

    Preservative

    ProClin

    Precaution of Use

    This product contains ProClin: a POISONOUS AND HAZARDOUS SUBSTANCE which should be handled by trained staff only.

    Storage

    4 °C,-20 °C

    Storage Comment

    Store at 4°C for frequent use. Stored at -20°C in a manual defrost freezer for two year without detectable loss of activity. Avoid repeated freeze-thaw cycles.

    Expiry Date

    24 months
  • Target

    Caspase 8 (CASP8)

    Alternative Name

    CASP8

    Background

    CAP4, FLICE, MACH, MCH5, Cysteinyl Aspartate Specific Proteinases 8, Apoptotic cysteine protease, FADD-homologous ICE/ced-3-like protease, MORT1-associated ced-3 homolog

    UniProt

    Q14790

    Pathways

    Apoptosis, Caspase Cascade in Apoptosis, TLR Signaling, Activation of Innate immune Response, Tube Formation, Positive Regulation of Endopeptidase Activity, Toll-Like Receptors Cascades
You are here:
Chat with us!