Phone:
+1 877 302 8632
Fax:
+1 888 205 9894 (Toll-free)
E-Mail:
orders@antibodies-online.com

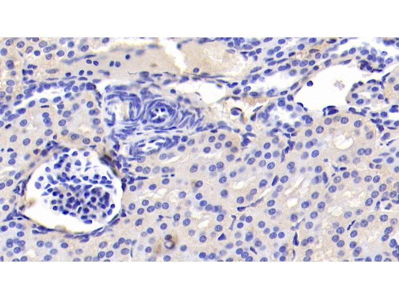
Insulin Receptor antibody (AA 1024-1298)

The Rabbit Polyclonal anti-Insulin Receptor antibody (ABIN7432874) specifically detects Insulin Receptor in WB, IHC, ICC and IF. The antibody is reactive with Human samples.
Catalog No. ABIN7432874
$302.11
Plus shipping costs $50.00
Shipping to: United States
Delivery in 13 to 17 Business Days

Quick Overview for Insulin Receptor antibody (AA 1024-1298) (ABIN7432874)

Target

See all Insulin Receptor (INSR) Antibodies
Insulin Receptor (INSR)

Reactivity

  • 206
  • 109
  • 100
  • 14
  • 13
  • 8
  • 7
  • 6
  • 6
  • 6
  • 4
  • 2
  • 2
  • 1
  • 1
  • 1
  • 1
  • 1
  • 1
  • 1
  • 1
  • 1
Human

Host

  • 177
  • 40
  • 6
  • 2
  • 1
Rabbit

Clonality

  • 145
  • 81
Polyclonal

Conjugate

  • 133
  • 17
  • 16
  • 6
  • 6
  • 5
  • 4
  • 4
  • 4
  • 4
  • 4
  • 4
  • 2
  • 2
  • 2
  • 1
  • 1
  • 1
  • 1
  • 1
  • 1
  • 1
  • 1
  • 1
  • 1
  • 1
  • 1
  • 1
This Insulin Receptor antibody is un-conjugated

Application

  • 157
  • 77
  • 72
  • 31
  • 28
  • 27
  • 21
  • 17
  • 13
  • 13
  • 9
  • 5
  • 5
  • 4
  • 2
  • 2
  • 2
  • 2
  • 1
  • 1
  • 1
Western Blotting (WB), Immunohistochemistry (IHC), Immunocytochemistry (ICC), Immunofluorescence (IF)
  • Binding Specificity

    • 16
    • 13
    • 12
    • 11
    • 8
    • 8
    • 8
    • 5
    • 5
    • 5
    • 5
    • 4
    • 4
    • 4
    • 3
    • 3
    • 3
    • 2
    • 2
    • 2
    • 2
    • 2
    • 2
    • 2
    • 2
    • 2
    • 2
    • 2
    • 2
    • 1
    • 1
    • 1
    • 1
    • 1
    • 1
    • 1
    • 1
    • 1
    • 1
    • 1
    • 1
    • 1
    • 1
    • 1
    • 1
    • 1
    • 1
    • 1
    • 1
    • 1
    AA 1024-1298

    Purpose

    Polyclonal Antibody to Insulin Receptor (INSR)

    Specificity

    The antibody is a rabbit polyclonal antibody raised against INSR. It has been selected for its ability to recognize INSR in immunohistochemical staining and western blotting.

    Cross-Reactivity

    Mouse, Pig, Rat

    Purification

    Antigen-specific affinity chromatography followed by Protein A affinity chromatography

    Immunogen

    Recombinant Insulin Receptor (INSR) corresdonding to Thr1024~Phe1298 with N-terminal His Tag

    Isotype

    IgG
  • Application Notes

    Western blotting: 0.01-2 μg/mL,Immunohistochemistry: 5-20 μg/mL,Immunofluorescence:5-20 μg/mL,Optimal working dilutions must be determined by end user.

    Comment

    The thermal stability is described by the loss rate. The loss rate was determined by accelerated thermal degradation test, that is, incubate the protein at 37°C for 48h, and no obvious degradation and precipitation were observed. The loss rate is less than 5% within the expiration date under appropriate storage condition.

    Restrictions

    For Research Use only
  • Format

    Liquid

    Concentration

    0.5 mg/mL

    Buffer

    PBS, pH 7.4, containing 0.02 % Sodium azide, 50 % glycerol.

    Preservative

    Sodium azide

    Precaution of Use

    This product contains Sodium azide: a POISONOUS AND HAZARDOUS SUBSTANCE which should be handled by trained staff only.

    Storage

    4 °C,-20 °C

    Storage Comment

    Store at 4°C for frequent use. Stored at -20°C in a manual defrost freezer for two year without detectable loss of activity. Avoid repeated freeze-thaw cycles.

    Expiry Date

    24 months
  • Target

    Insulin Receptor (INSR)

    Alternative Name

    INSR

    Background

    CD220, ISR, HHF5, IR

    UniProt

    P06213

    Pathways

    NF-kappaB Signaling, RTK Signaling, AMPK Signaling, Carbohydrate Homeostasis, Regulation of Cell Size, Regulation of Carbohydrate Metabolic Process, Growth Factor Binding, Negative Regulation of Transporter Activity
You are here:
Chat with us!