Phone:
+1 877 302 8632
Fax:
+1 888 205 9894 (Toll-free)
E-Mail:
orders@antibodies-online.com

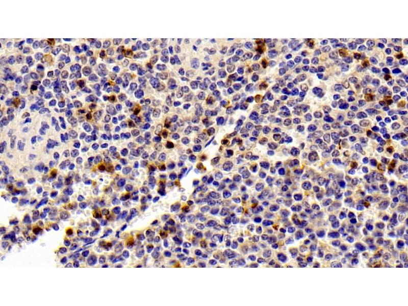
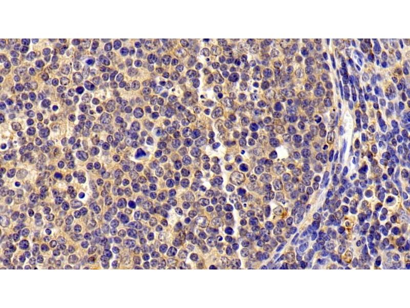
S100A8 antibody (AA 1-89)

The Rabbit Polyclonal anti-S100A8 antibody is suitable to detect S100A8 in samples from Pig. It has been validated for WB, IHC, ICC and IP.
Catalog No. ABIN7443995
$360.20
Plus shipping costs $50.00
Shipping to: United States
Delivery in 13 to 17 Business Days

Quick Overview for S100A8 antibody (AA 1-89) (ABIN7443995)

Target

See all S100A8 Antibodies
S100A8 (S100 Calcium Binding Protein A8 (S100A8))

Reactivity

  • 111
  • 66
  • 38
  • 11
  • 8
  • 7
  • 6
  • 4
  • 4
  • 4
  • 2
  • 2
  • 2
Pig

Host

  • 124
  • 34
  • 3
  • 3
  • 3
Rabbit

Clonality

  • 120
  • 47
Polyclonal

Conjugate

  • 71
  • 26
  • 23
  • 9
  • 2
  • 2
  • 2
  • 2
  • 2
  • 2
  • 2
  • 2
  • 2
  • 2
  • 2
  • 2
  • 2
  • 2
  • 2
  • 2
  • 2
  • 1
  • 1
  • 1
  • 1
This S100A8 antibody is un-conjugated

Application

  • 108
  • 66
  • 52
  • 31
  • 29
  • 25
  • 16
  • 13
  • 13
  • 11
  • 6
  • 6
  • 5
  • 5
  • 1
  • 1
  • 1
Western Blotting (WB), Immunohistochemistry (IHC), Immunocytochemistry (ICC), Immunoprecipitation (IP)
  • Binding Specificity

    • 24
    • 20
    • 19
    • 16
    • 3
    • 3
    • 2
    • 1
    • 1
    • 1
    • 1
    AA 1-89

    Purpose

    Polyclonal Antibody to S100 Calcium Binding Protein A8 (S100A8)

    Specificity

    The antibody is a rabbit polyclonal antibody raised against S100A8. It has been selected for its ability to recognize S100A8 in immunohistochemical staining and western blotting.

    Cross-Reactivity

    Human

    Purification

    Antigen-specific affinity chromatography followed by Protein A affinity chromatography

    Immunogen

    Recombinant S100 Calcium Binding Protein A8 (S100A8) corresdonding to Met1~Glu89 with N-terminal His Tag

    Isotype

    IgG
  • Application Notes

    Western blotting: 0.01-2 μg/mL,Immunohistochemistry: 5-20 μg/mL,Immunocytochemistry: 5-20 μg/mL,Optimal working dilutions must be determined by end user.

    Comment

    The thermal stability is described by the loss rate. The loss rate was determined by accelerated thermal degradation test, that is, incubate the protein at 37°C for 48h, and no obvious degradation and precipitation were observed. The loss rate is less than 5% within the expiration date under appropriate storage condition.

    Restrictions

    For Research Use only
  • Format

    Liquid

    Concentration

    500 μg/mL

    Buffer

    PBS, pH 7.4, containing 0.02 % Sodium azide, 50 % glycerol.

    Preservative

    Sodium azide

    Precaution of Use

    This product contains Sodium azide: a POISONOUS AND HAZARDOUS SUBSTANCE which should be handled by trained staff only.

    Storage

    4 °C,-20 °C

    Storage Comment

    Store at 4°C for frequent use. Stored at -20°C in a manual defrost freezer for two year without detectable loss of activity. Avoid repeated freeze-thaw cycles.

    Expiry Date

    24 months
  • Target

    S100A8 (S100 Calcium Binding Protein A8 (S100A8))

    Alternative Name

    S100A8

    Background

    MRP8, MIF, 60B8AG, CAGA, CFAG, CGLA, CP-10, L1Ag, NIF, P8, Calgranulin A, Cystic fibrosis antigen, Leukocyte L1 complex light chain, Migration inhibitory factor-related protein 8

    UniProt

    C3S7K5

    Pathways

    Transition Metal Ion Homeostasis, Positive Regulation of Endopeptidase Activity, S100 Proteins
You are here:
Chat with us!