Phone:
+1 877 302 8632
Fax:
+1 888 205 9894 (Toll-free)
E-Mail:
orders@antibodies-online.com

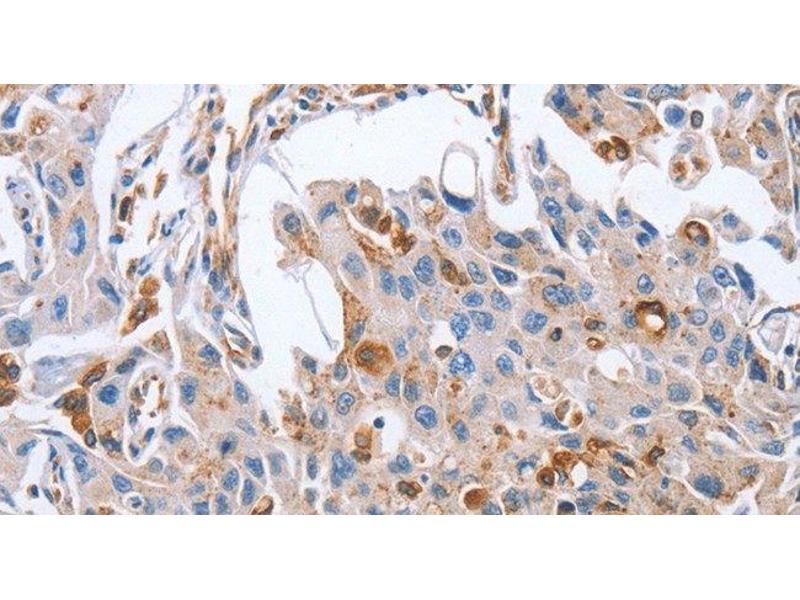
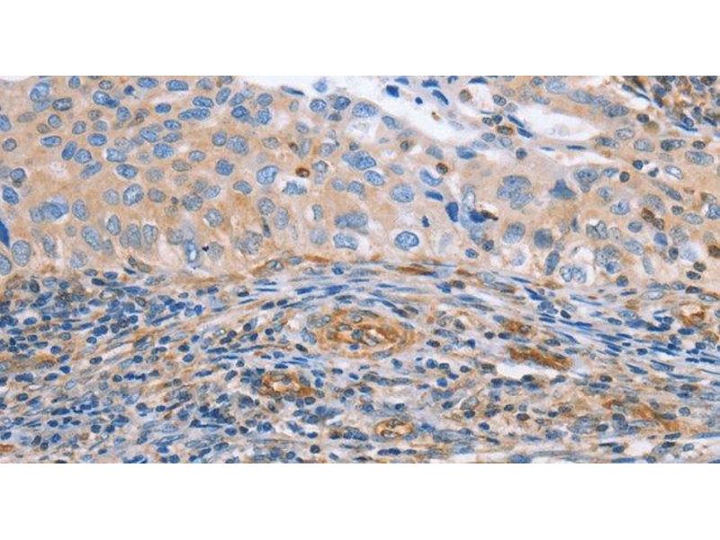
Neuregulin 4 antibody

The Rabbit Polyclonal anti-Neuregulin 4 antibody (ABIN7240646) specifically detects Neuregulin 4 in IHC and ELISA. The antibody is reactive with Human and Mouse samples.
Catalog No. ABIN7240646
$538.80
Plus shipping costs $50.00
Shipping to: United States
Delivery in 11 to 15 Business Days

Quick Overview for Neuregulin 4 antibody (ABIN7240646)

Target

See all Neuregulin 4 (NRG4) Antibodies
Neuregulin 4 (NRG4)

Reactivity

  • 34
  • 8
  • 3
  • 1
Human, Mouse

Host

  • 33
  • 4
Rabbit

Clonality

  • 34
  • 3
Polyclonal

Conjugate

  • 19
  • 4
  • 3
  • 3
  • 1
  • 1
  • 1
  • 1
  • 1
  • 1
  • 1
  • 1
This Neuregulin 4 antibody is un-conjugated

Application

  • 20
  • 17
  • 15
  • 7
  • 6
  • 3
  • 1
Immunohistochemistry (IHC), ELISA
  • Characteristics

    Polyclonal Antibody

    Purification

    Affinity purification

    Immunogen

    Recombinant protein of human NRG4

    Isotype

    IgG
  • Application Notes

    IHC 1:50-1:200

    Restrictions

    For Research Use only
  • Format

    Liquid

    Concentration

    0.3 mg/mL

    Buffer

    PBS with 0.05 % sodium azide and 50 % glycerol, PH7.4

    Preservative

    Sodium azide

    Precaution of Use

    This product contains Sodium azide: a POISONOUS AND HAZARDOUS SUBSTANCE which should be handled by trained staff only.

    Storage

    -20 °C

    Storage Comment

    Store at -20°C. Avoid freeze / thaw cycles.
  • Target

    Neuregulin 4 (NRG4)

    Alternative Name

    NRG4

    Background

    Neuregulin 4also known asNRG4is a member of theneuregulinproteinfamily which in humans is encoded by theNRG4gene. Low affinity ligand for the ERBB4 tyrosine kinase receptor. Concomitantly recruits ERBB1 and ERBB2 coreceptors, resulting in ligand-stimulated tyrosine phosphorylation and activation of the ERBB receptors. Does not bind to the ERBB1, ERBB2 and ERBB3 receptors.

    UniProt

    Q8WWG1

    Pathways

    RTK Signaling, Fc-epsilon Receptor Signaling Pathway, EGFR Signaling Pathway, Neurotrophin Signaling Pathway
You are here:
Chat with us!