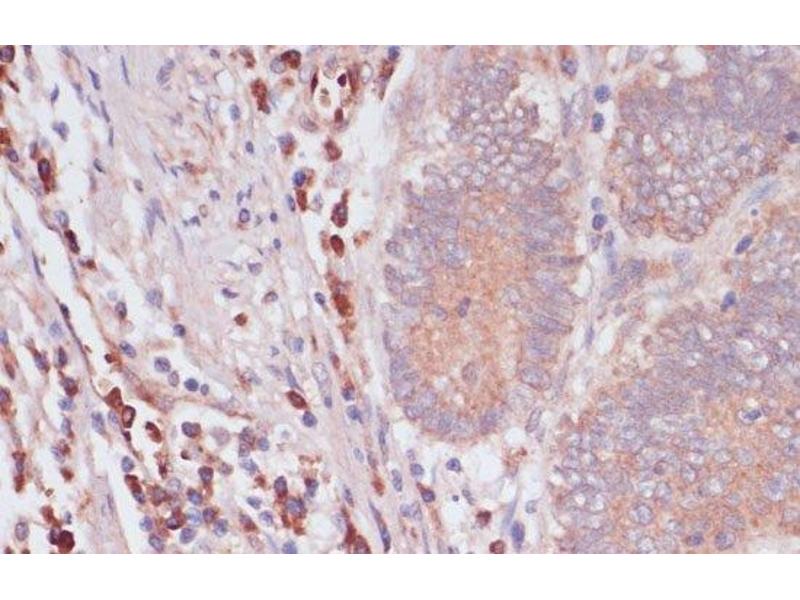
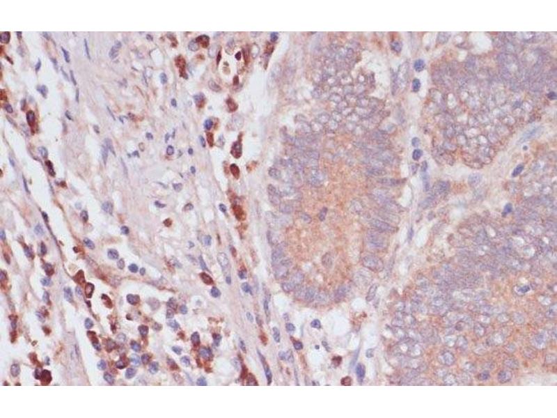
IFNAR2 antibody
Quick Overview for IFNAR2 antibody (ABIN7259717)
Target
See all IFNAR2 AntibodiesReactivity
Host
Clonality
Conjugate
Application
-
-
Characteristics
- Polyclonal Antibody
-
Purification
- Affinity purification
-
Immunogen
- Recombinant fusion protein of human IFNAR2 (NP_997467.1).
-
Isotype
- IgG
-
-
-
-
Application Notes
- WB 1:500-1:2000 IHC 1:50-1:100 IF 1:50-1:100
-
Restrictions
- For Research Use only
-
-
-
Format
- Liquid
-
Concentration
- 1 mg/mL
-
Buffer
- PBS with 0.02 % sodium azide, 50 % glycerol, pH 7.3
-
Preservative
- Sodium azide
-
Precaution of Use
- This product contains Sodium azide: a POISONOUS AND HAZARDOUS SUBSTANCE which should be handled by trained staff only.
-
Storage
- -20 °C
-
Storage Comment
- Store at -20°C. Avoid freeze / thaw cycles.
-
-
- IFNAR2 (Interferon alpha/beta Receptor 2 (IFNAR2))
-
Alternative Name
- IFNAR2
-
Background
- The protein encoded by this gene is a type I membrane protein that forms one of the two chains of a receptor for interferons alpha and beta. Binding and activation of the receptor stimulates Janus protein kinases, which in turn phosphorylate several proteins, including STAT1 and STAT2. Multiple transcript variants encoding at least two different isoforms have been found for this gene.
-
Molecular Weight
-
Observed_MW: 58 kDa
Calculated_MW: 27 kDa/37 kDa/57 kDa
-
Gene ID
- 3455
-
UniProt
- P48551
-
Pathways
- JAK-STAT Signaling, Hepatitis C
Target
-