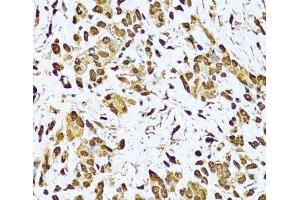
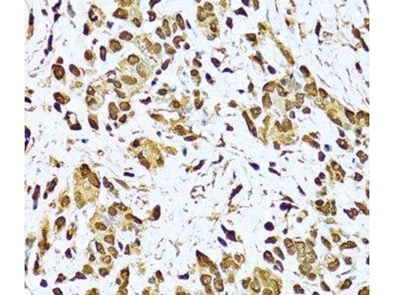
XRCC6 antibody
Quick Overview for XRCC6 antibody (ABIN7263341)
Target
See all XRCC6 AntibodiesReactivity
Host
Clonality
Conjugate
Application
-
-
Characteristics
- Polyclonal Antibody
-
Purification
- Affinity purification
-
Immunogen
- Recombinant fusion protein of human KU70 (NP_001460.1).
-
Isotype
- IgG
-
-
-
-
Application Notes
- WB 1:500-1:2000 IHC 1:50-1:100 IF 1:50-1:100
-
Restrictions
- For Research Use only
-
-
-
Format
- Liquid
-
Concentration
- 1 mg/mL
-
Buffer
- PBS with 0.02 % sodium azide, 50 % glycerol, pH 7.3
-
Preservative
- Sodium azide
-
Precaution of Use
- This product contains Sodium azide: a POISONOUS AND HAZARDOUS SUBSTANCE which should be handled by trained staff only.
-
Storage
- -20 °C
-
Storage Comment
- Store at -20°C. Avoid freeze / thaw cycles.
-
-
- XRCC6 (X-Ray Repair Complementing Defective Repair in Chinese Hamster Cells 6 (XRCC6))
-
Alternative Name
- KU70
-
Background
- The p70/p80 autoantigen is a nuclear complex consisting of two subunits with molecular masses of approximately 70 and 80 kDa. The complex functions as a single-stranded DNA-dependent ATP-dependent helicase. The complex may be involved in the repair of nonhomologous DNA ends such as that required for double-strand break repair, transposition, and V(D)J recombination. High levels of autoantibodies to p70 and p80 have been found in some patients with systemic lupus erythematosus.
-
Molecular Weight
-
Observed_MW: 70 kDa
Calculated_MW: 65 kDa/69 kDa
-
Gene ID
- 2547
-
UniProt
- P12956
-
Pathways
- DNA Damage Repair
Target
-