Recombinant SDHB antibody
Quick Overview for Recombinant SDHB antibody (ABIN7127803)
Target
See all SDHB AntibodiesAntibody Type
Reactivity
Host
Clonality
Conjugate
Application
Clone
-
-
Purpose
- SDHB Recombinant Monoclonal Antibody
-
Cross-Reactivity
- Mouse, Rat
-
Purification
- Affinity-chromatography
-
Immunogen
- A synthesized peptide derived from human SDHB
-
Isotype
- IgG
-
-
-
-
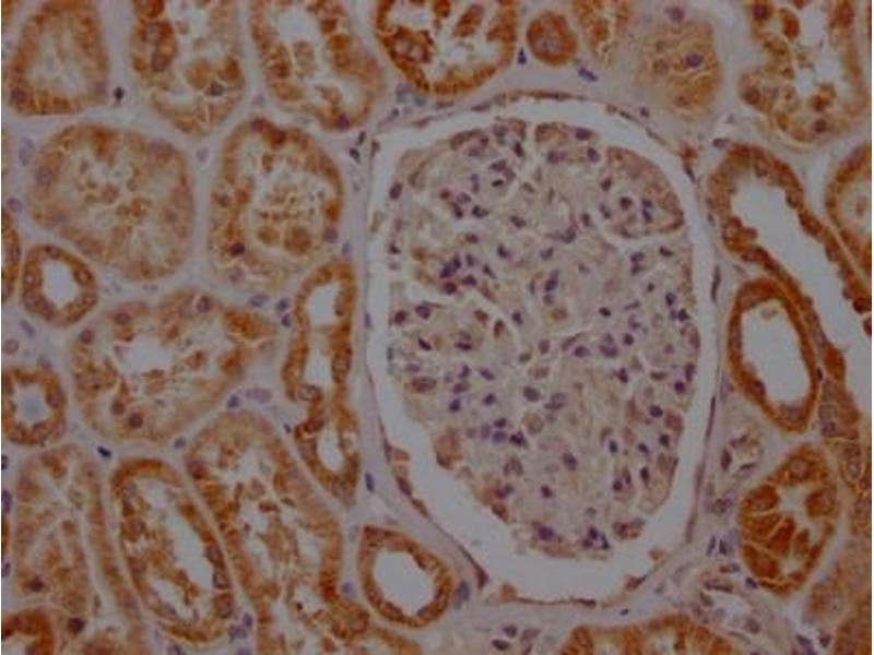
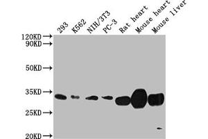
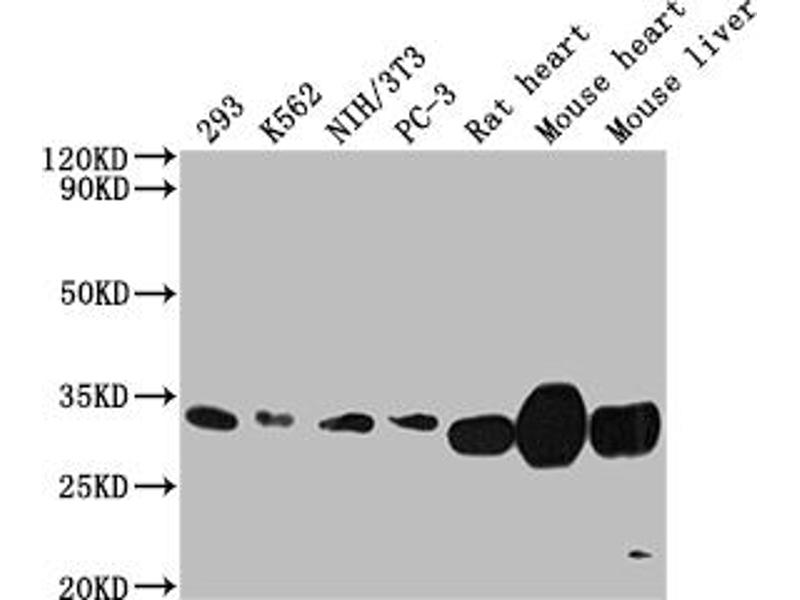
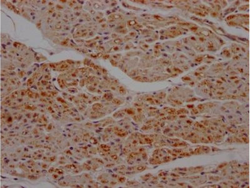
Application Notes
- WB:1:500-1:5000, IHC:1:50-1:200, FC:1:20-1:200
-
Restrictions
- For Research Use only
-
-
-
Format
- Liquid
-
Buffer
- phosphate buffered saline, pH 7.4, 150 mM NaCl, 0.02 % sodium azide and 50 % glycerol.
-
Preservative
- Sodium azide
-
Precaution of Use
- This product contains Sodium azide: a POISONOUS AND HAZARDOUS SUBSTANCE which should be handled by trained staff only.
-
Storage
- -20 °C,-80 °C
-
Storage Comment
- Upon receipt, store at -20°C or -80°C. Avoid repeated freeze.
-
-
- SDHB (Succinate Dehydrogenase Complex, Subunit B, Iron Sulfur (Ip) (SDHB))
-
Alternative Name
- SDHB
-
Background
-
Background: Iron-sulfur protein (IP) subunit of succinate dehydrogenase (SDH) that is involved in complex II of the mitochondrial electron transport chain and is responsible for transferring electrons from succinate to ubiquinone (coenzyme Q).
Aliases: Succinate dehydrogenase [ubiquinone] iron-sulfur subunit, mitochondrial (EC 1.3.5.1) (Iron-sulfur subunit of complex II) (Ip), SDHB, SDH SDH1
-
UniProt
- P21912
Target
-