Phone:
+1 877 302 8632
Fax:
+1 888 205 9894 (Toll-free)
E-Mail:
orders@antibodies-online.com

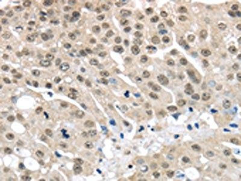
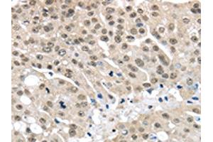
MED15 antibody

The Rabbit Polyclonal anti-MED15 antibody (ABIN7130212) specifically detects MED15 in ELISA and IHC. The antibody is reactive with Human samples.
Catalog No. ABIN7130212
$394.68
Plus shipping costs $50.00
Shipping to: United States
Delivery in 13 to 17 Business Days

Quick Overview for MED15 antibody (ABIN7130212)

Target

See all MED15 Antibodies
MED15 (Mediator Complex Subunit 15 (MED15))

Reactivity

  • 33
  • 9
  • 9
  • 2
  • 2
  • 2
  • 2
  • 2
  • 1
Human

Host

  • 29
  • 5
  • 1
Rabbit

Clonality

  • 30
  • 5
Polyclonal

Conjugate

  • 25
  • 2
  • 1
  • 1
  • 1
  • 1
  • 1
  • 1
  • 1
  • 1
This MED15 antibody is un-conjugated

Application

  • 23
  • 15
  • 7
  • 6
  • 5
  • 3
  • 2
  • 2
  • 1
ELISA, Immunohistochemistry (IHC)
  • Purpose

    MED15 Antibody

    Cross-Reactivity

    Mouse

    Purification

    Antigen affinity purification

    Immunogen

    Fusion protein of Human MED15

    Isotype

    IgG
  • Application Notes

    Optimal working dilution should be determined by the investigator.

    Restrictions

    For Research Use only
  • Format

    Liquid

    Buffer

     pH 7.4 PBS, 0.05 % Sodium azide, 40 % Glycerol

    Preservative

    Sodium azide

    Precaution of Use

    This product contains Sodium azide: a POISONOUS AND HAZARDOUS SUBSTANCE which should be handled by trained staff only.

    Storage

    -20 °C,-80 °C

    Storage Comment

    Upon receipt, store at -20°C or -80°C. Avoid repeated freeze.
  • Target

    MED15 (Mediator Complex Subunit 15 (MED15))

    Alternative Name

    MED15

    Background

    Background: The protein encoded by this gene is a subunit of the multiprotein complexes PC2 and ARC/DRIP and may function as a transcriptional coactivator in RNA polymerase II transcription. This gene contains stretches of trinucleotide repeats and is located in the chromosome 22 region which is deleted in DiGeorge syndrome. Alternative splicing results in multiple transcript variants.

    Aliases: MED15 antibody, ARC105 antibody, CTG7A antibody, PCQAP antibody, TIG1 antibody, TNRC7 antibody, Mediator of RNA polymerase II transcription subunit 15 antibody, Activator-recruited cofactor 105 kDa component antibody, ARC105 antibody, CTG repeat protein 7a antibody, Mediator complex subunit 15 antibody, Positive cofactor 2 glutamine/Q-rich-associated protein antibody, PC2 glutamine/Q-rich-associated protein antibody, TPA-inducible gene 1 protein antibody, TIG-1 antibody, Trinucleotide repeat-containing gene 7 protein antibody

    UniProt

    Q96RN5

    Pathways

    Stem Cell Maintenance, Regulation of Lipid Metabolism by PPARalpha
You are here:
Chat with us!