Phone:
+1 877 302 8632
Fax:
+1 888 205 9894 (Toll-free)
E-Mail:
orders@antibodies-online.com

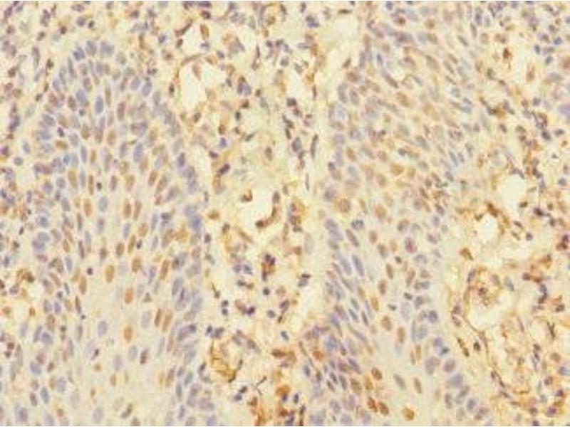
CHRNA10 antibody (AA 25-240)

The Rabbit Polyclonal anti-CHRNA10 antibody (ABIN7161343) specifically detects CHRNA10 in WB, ELISA and IHC. The antibody is reactive with Human samples.
Catalog No. ABIN7161343
$394.68
Plus shipping costs $50.00
Shipping to: United States
Delivery in 13 to 17 Business Days

Quick Overview for CHRNA10 antibody (AA 25-240) (ABIN7161343)

Target

See all CHRNA10 Antibodies
CHRNA10 (Cholinergic Receptor, Nicotinic, alpha 10 (CHRNA10))

Reactivity

  • 30
  • 13
  • 9
  • 1
  • 1
  • 1
  • 1
Human

Host

  • 31
  • 2
Rabbit

Clonality

  • 31
  • 2
Polyclonal

Conjugate

  • 21
  • 2
  • 1
  • 1
  • 1
  • 1
  • 1
  • 1
  • 1
  • 1
  • 1
  • 1
This CHRNA10 antibody is un-conjugated

Application

  • 23
  • 17
  • 12
  • 3
  • 3
  • 3
  • 2
  • 1
  • 1
Western Blotting (WB), ELISA, Immunohistochemistry (IHC)
  • Binding Specificity

    • 7
    • 5
    • 2
    • 2
    • 2
    • 2
    • 1
    • 1
    • 1
    • 1
    • 1
    • 1
    • 1
    • 1
    AA 25-240

    Purpose

    CHRNA10 Antibody

    Purification

    Antigen Affinity Purified

    Immunogen

    Recombinant Human Neuronal acetylcholine receptor subunit alpha-10 protein (25-240AA)

    Isotype

    IgG
  • Application Notes

    Optimal working dilution should be determined by the investigator.

    Restrictions

    For Research Use only
  • Format

    Liquid

    Buffer

    PBS with 0.02 % sodium azide, 50 % glycerol, pH 7.3.

    Preservative

    Sodium azide

    Precaution of Use

    This product contains Sodium azide: a POISONOUS AND HAZARDOUS SUBSTANCE which should be handled by trained staff only.

    Storage

    -20 °C,-80 °C

    Storage Comment

    Upon receipt, store at -20°C or -80°C. Avoid repeated freeze.
  • Target

    CHRNA10 (Cholinergic Receptor, Nicotinic, alpha 10 (CHRNA10))

    Alternative Name

    CHRNA10

    Background

    Background: Ionotropic receptor with a probable role in the modulation of auditory stimuli. Agonist binding may induce an extensive change in conformation that affects all subunits and leads to opening of an ion-conducting channel across the plasma membrane. The channel is permeable to a range of divalent cations including calcium, the influx of which may activate a potassium current which hyperpolarizes the cell membrane. In the ear, this may lead to a reduction in basilar membrane motion, altering the activity of auditory nerve fibers and reducing the range of dynamic hearing. This may protect against acoustic trauma.

    Aliases: Acetylcholine receptor, neuronal nicotinic, alpha-10 subunit antibody, ACH10_HUMAN antibody, Alpha 10 nAChR antibody, Cholinergic receptor nicotinic alpha 10 antibody, Cholinergic receptor, neuronal nicotinic, alpha polypeptide 10 antibody, Cholinergic receptor, nicotinic, alpha polypeptide 10 antibody, CHRNA 10 antibody, CHRNA10 antibody, NACHR alpha 10 antibody, NACHR alpha-10 antibody, NACHRA10 antibody, Neuronal acetylcholine receptor protein subunit alpha 10 antibody, Neuronal acetylcholine receptor subunit alpha-10 antibody, Nicotinic acetylcholine receptor subunit alpha 10 antibody, Nicotinic acetylcholine receptor subunit alpha-10 antibody, OTTHUMP00000013620 antibody

    UniProt

    Q9GZZ6

    Pathways

    Sensory Perception of Sound, Synaptic Membrane
You are here:
Chat with us!