Phone:
+1 877 302 8632
Fax:
+1 888 205 9894 (Toll-free)
E-Mail:
orders@antibodies-online.com

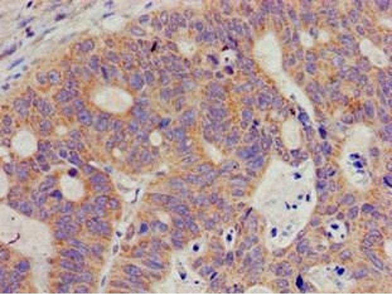
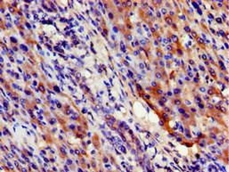
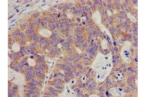
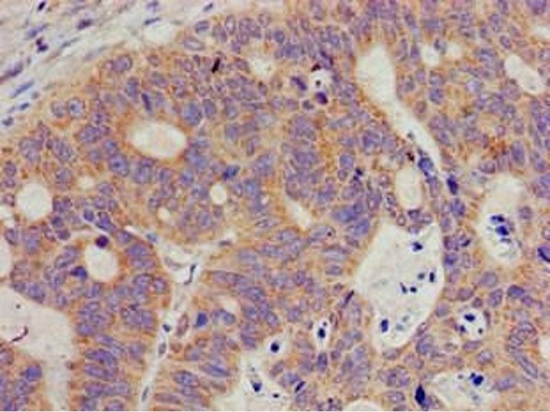
SIGMAR1 antibody (AA 112-169)

The Rabbit Polyclonal anti-SIGMAR1 antibody (ABIN7169599) specifically detects SIGMAR1 in ELISA and IHC. The antibody is reactive with Human samples.
Catalog No. ABIN7169599
$394.68
Plus shipping costs $50.00
Shipping to: United States
Delivery in 13 to 17 Business Days

Quick Overview for SIGMAR1 antibody (AA 112-169) (ABIN7169599)

Target

See all SIGMAR1 Antibodies
SIGMAR1 (sigma Non-Opioid Intracellular Receptor 1 (SIGMAR1))

Reactivity

  • 20
  • 10
  • 9
  • 1
Human

Host

  • 20
Rabbit

Clonality

  • 20
Polyclonal

Conjugate

  • 9
  • 2
  • 2
  • 1
  • 1
  • 1
  • 1
  • 1
  • 1
  • 1
This SIGMAR1 antibody is un-conjugated

Application

  • 9
  • 6
  • 2
  • 2
  • 1
  • 1
  • 1
  • 1
  • 1
  • 1
ELISA, Immunohistochemistry (IHC)
  • Binding Specificity

    • 4
    • 3
    • 2
    • 1
    • 1
    • 1
    • 1
    • 1
    • 1
    AA 112-169

    Purpose

    SIGMAR1 Antibody

    Purification

    Protein G purified

    Purity

    >95 %

    Immunogen

    Recombinant Human Sigma non-opioid intracellular receptor 1 protein (112-169AA)

    Isotype

    IgG
  • Application Notes

    Optimal working dilution should be determined by the investigator.

    Restrictions

    For Research Use only
  • Format

    Liquid

    Buffer

    Preservative: 0.03 % Proclin 300
    Constituents: 50 % Glycerol, 0.01M PBS, pH 7.4

    Preservative

    ProClin

    Precaution of Use

    This product contains ProClin: a POISONOUS AND HAZARDOUS SUBSTANCE which should be handled by trained staff only.

    Storage

    -20 °C,-80 °C

    Storage Comment

    Upon receipt, store at -20°C or -80°C. Avoid repeated freeze.
  • Target

    SIGMAR1 (sigma Non-Opioid Intracellular Receptor 1 (SIGMAR1))

    Alternative Name

    SIGMAR1

    Background

    Background: Functions in lipid transport from the endoplasmic reticulum and is involved in a wide array of cellular functions probably through regulation of the biogenesis of lipid microdomains at the plasma membrane. Involved in the regulation of different receptors it plays a role in BDNF signaling and EGF signaling. Also regulates ion channels like the potassium channel and could modulate neurotransmitter release. Plays a role in calcium signaling through modulation together with ANK2 of the ITP3R-dependent calcium efflux at the endoplasmic reticulum. Plays a role in several other cell functions including proliferation, survival and death. Originally identified for its ability to bind various psychoactive drugs it is involved in learning processes, memory and mood alteration (PubMed:16472803, PubMed:9341151). Necessary for proper mitochondrial axonal transport in motor neurons, in particular the retrograde movement of mitochondria (By similarity).

    Aliases: Aging associated gene 8 protein antibody, Aging-associated gene 8 protein antibody, AL024364 antibody, hSigmaR1 antibody, mSigmaR1 antibody, opioid receptor, sigma 1 antibody, opioid receptor, sigma 1 isoform 1 antibody, RP23 167I12.6 antibody, SGMR1_HUMAN antibody, SIG 1R antibody, SIG-1R antibody, Sigma 1-type opioid receptor antibody, Sigma non-opioid intracellular receptor 1 antibody, sigma1 receptor antibody, Sigma1-receptor antibody, Sigma1R antibody, Sigmar1 antibody, SR BP antibody, SR-BP antibody, SR31747 binding protein antibody, SR31747-binding protein antibody, SRBP antibody

    UniProt

    Q99720

    Pathways

    SARS-CoV-2 Protein Interactome
You are here:
Chat with us!