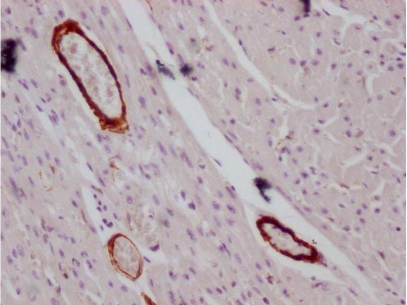
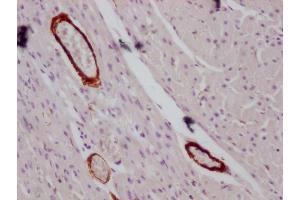
Smooth Muscle Actin antibody
Quick Overview for Smooth Muscle Actin antibody (ABIN7180358)
Target
See all Smooth Muscle Actin (ACTA2) AntibodiesReactivity
Host
Clonality
Conjugate
Application
-
-
Purpose
- ACTA2/ACTG2 Monoclonal Antibody
-
Purification
- The antibody was affinity-purified from mouse ascites by affinity-chromatography using specific immunogen.
-
Immunogen
- Synthesized peptide derived from human Actin, smooth muscle (SMA)
-
Isotype
- IgG2a, kappa
-
-
-
-
Application Notes
- Optimal working dilution should be determined by the investigator.
-
Restrictions
- For Research Use only
-
-
-
Format
- Liquid
-
Buffer
- PBS containing 50 % glycerol, 0.5 % BSA and 0.02 % sodium azide.
-
Preservative
- Sodium azide
-
Precaution of Use
- This product contains Sodium azide: a POISONOUS AND HAZARDOUS SUBSTANCE which should be handled by trained staff only.
-
Storage
- -20 °C,-80 °C
-
Storage Comment
- Upon receipt, store at -20°C or -80°C. Avoid repeated freeze.
-
-
- Smooth Muscle Actin (ACTA2) (Actin, alpha 2, Smooth Muscle, Aorta (ACTA2))
-
Alternative Name
- ACTA2
-
Background
-
Background: Actins are highly conserved proteins that are involved in various types of cell motility and are ubiquitously expressed in all eukaryotic cells.
Aliases: Actin, aortic smooth muscle (Alpha-actin-2) (Cell growth-inhibiting gene 46 protein) [Cleaved into: Actin, aortic smooth muscle, intermediate form], ACTA2, ACTSA ACTVS
-
UniProt
- P62736, P63267
-
Pathways
- Myometrial Relaxation and Contraction, Skeletal Muscle Fiber Development
Target
-