This product contains Sodium azide: a POISONOUS AND HAZARDOUS SUBSTANCE which should be handled by trained staff only.
Storage
-20 °C
Storage Comment
Store at -20°C. Avoid freeze / thaw cycles.
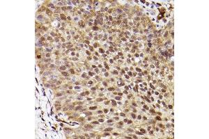
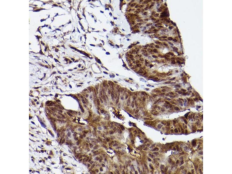
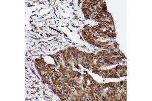
Target
ERK1 (MAPK3)
(Mitogen-Activated Protein Kinase 3 (MAPK3))
Alternative Name
MAPK3
Background
The protein encoded by this gene is a member of the MAP kinase family. MAP kinases, also known as extracellular signal-regulated kinases (ERKs), act in a signaling cascade that regulates various cellular processes such as proliferation, differentiation, and cell cycle progression in response to a variety of extracellular signals. This kinase is activated by upstream kinases, resulting in its translocation to the nucleus where it phosphorylates nuclear targets. Alternatively spliced transcript variants encoding different protein isoforms have been described. [provided by RefSeq, Jul 2008],ERK-1,ERK1,ERT2,HS44KDAP,HUMKER1A,P44ERK1,P44MAPK,PRKM3,p44-ERK1,p44-MAPK,MAPK3,Angiogenesis,Apoptosis,Apoptosis_Inhibition of Apoptosis,Apoptosis_Mitochondrial Control of Apoptosis,B Cell Receptor Signaling Pathway,Cardiovascular,Cell Biology & Developmental Biology,Cell Cycle,Cell Cycle_Centromere,Cytoskeleton_Microtubules,Endocrine & Metabolism,Epigenetics & Nuclear Signaling,ErbB-HER Signaling Pathway,ESC Pluripotency and Differentiation,G protein signaling,G protein signaling_G-Protein-Coupled Receptors Signaling to MAPK/Erk,IL-6 Receptor Signaling Pathway,Immunology & Inflammation,Insulin Receptor Signaling Pathway,Kinase,Kinase_Serine/threonine kinases,MAPK-Erk Signaling Pathway,mTOR Signaling Pathway,Neurodegenerative Diseases,Neurodegenerative Diseases_Amyloid Plaque and Neurofibrillary Tangle Formation in Alzheimers Disease,Neuroscience,Protein phosphorylation,Signal Transduction,Stem Cells,T Cell Receptor Signaling Pathway,TGF-b-Smad Signaling Pathway,Translation Control,Translational Control_Regulation of eIF4 and p70 S6 Kinase,Warburg Effect,MAPK3