PBS with 0.02 % sodium azide,50 % glycerol, pH 7.3.
Preservative
Sodium azide
Precaution of Use
This product contains Sodium azide: a POISONOUS AND HAZARDOUS SUBSTANCE which should be handled by trained staff only.
Storage
-20 °C
Storage Comment
Store at -20°C. Avoid freeze / thaw cycles.
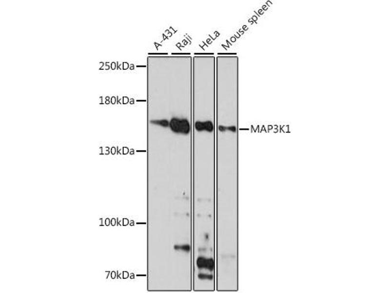
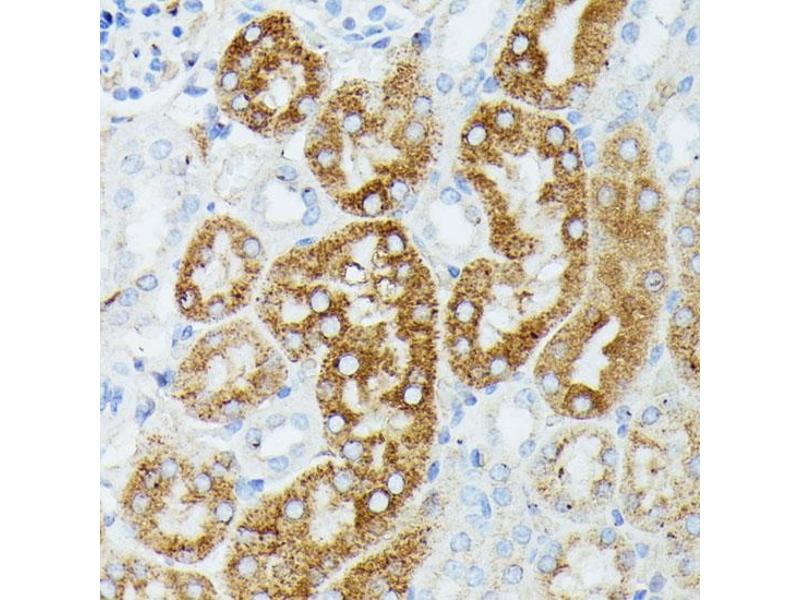
Target
MAP3K1
(Mitogen-Activated Protein Kinase Kinase Kinase 1 (MAP3K1))
Alternative Name
MAP3K1
Background
The protein encoded by this gene is a serine/threonine kinase and is part of some signal transduction cascades, including the ERK and JNK kinase pathways as well as the NF-kappa-B pathway. The encoded protein is activated by autophosphorylation and requires magnesium as a cofactor in phosphorylating other proteins. This protein has E3 ligase activity conferred by a plant homeodomain (PHD) in its N-terminus and phospho-kinase activity conferred by a kinase domain in its C-terminus.,MAP3K1,MAPKKK1,MEKK,MEKK 1,MEKK1,SRXY6,Cancer,Signal Transduction,Kinase,Serine/threonine kinases,ErbB-HER Signaling Pathway,MAPK-JNK Signaling Pathway,MAPK-P38 Signaling Pathway,Cell Biology & Developmental Biology,Cytoskeleton,Actins,Ubiquitin,Ubiquitin-Proteasome Signaling Pathway,TGF-b-Smad Signaling Pathway,Immunology & Inflammation,B Cell Receptor Signaling Pathway,T Cell Receptor Signaling Pathway,Toll-like Receptor Signaling Pathway,MAP3K1