Phone:
+1 877 302 8632
Fax:
+1 888 205 9894 (Toll-free)
E-Mail:
orders@antibodies-online.com

TPMT antibody

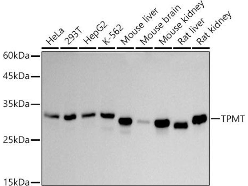
The Rabbit Monoclonal anti-TPMT antibody (ABIN7270797) specifically detects TPMT in WB. The antibody is reactive with Human samples.
Catalog No. ABIN7270797
$393.00
Plus shipping costs $50.00
Shipping to: United States
Delivery in 7 to 10 Business Days

Quick Overview for TPMT antibody (ABIN7270797)

Target

See all TPMT Antibodies
TPMT (Thiopurine S-Methyltransferase (TPMT))

Reactivity

  • 54
  • 22
  • 22
  • 2
  • 2
Human

Host

  • 45
  • 9
Rabbit

Clonality

  • 32
  • 22
Monoclonal

Conjugate

  • 28
  • 5
  • 4
  • 3
  • 2
  • 2
  • 2
  • 2
  • 2
  • 2
  • 1
  • 1
This TPMT antibody is un-conjugated

Application

  • 42
  • 26
  • 21
  • 13
  • 6
  • 6
  • 3
  • 2
  • 1
Western Blotting (WB)
  • Purpose

    TPMT Rabbit mAb

    Cross-Reactivity

    Human, Mouse, Rat

    Characteristics

    Monoclonal Antibodies

    Purification

    Affinity purification

    Immunogen

    Recombinant protein of Human TPMT.

    Isotype

    IgG
  • Application Notes

    WB,1:500 - 1:2000

    Restrictions

    For Research Use only
  • Format

    Liquid

    Buffer

    PBS with 0.02 % sodium azide,0.05 % BSA,50 % glycerol, pH 7.3.

    Preservative

    Sodium azide

    Precaution of Use

    This product contains Sodium azide: a POISONOUS AND HAZARDOUS SUBSTANCE which should be handled by trained staff only.

    Storage

    -20 °C

    Storage Comment

    Store at -20°C. Avoid freeze / thaw cycles.
  • Target

    TPMT (Thiopurine S-Methyltransferase (TPMT))

    Alternative Name

    TPMT

    Background

    This gene encodes the enzyme that metabolizes thiopurine drugs via S-adenosyl-L-methionine as the S-methyl donor and S-adenosyl-L-homocysteine as a byproduct. Thiopurine drugs such as 6-mercaptopurine are used as chemotherapeutic agents. Genetic polymorphisms that affect this enzymatic activity are correlated with variations in sensitivity and toxicity to such drugs within individuals, causing thiopurine S-methyltransferase deficiency. Related pseudogenes have been identified on chromosomes 3, 18 and X.,TPMT,TPMTD,Signal Transduction,Endocrine & Metabolism,Drug metabolism,TPMT

    Molecular Weight

    28kDa

    Gene ID

    7172

    UniProt

    P51580
You are here:
Chat with us!