Phone:
+1 877 302 8632
Fax:
+1 888 205 9894 (Toll-free)
E-Mail:
orders@antibodies-online.com

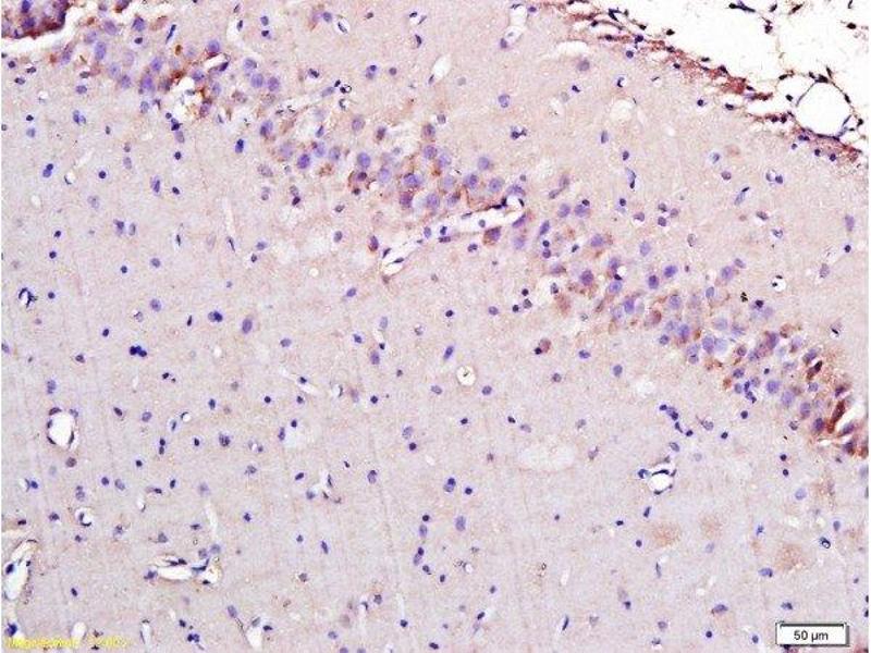
AIF antibody (AA 131-230)

There are 2+ publications for this product available. The Rabbit Polyclonal anti-AIF antibody is suitable to detect AIF in samples from Human, Rat, Mouse and Pig. It has been validated for WB, ELISA, ICC, IHC (p), IF (p), IF (cc) and IHC (fro).
Catalog No. ABIN724010
$384.62
Plus shipping costs $50.00
100 μL
Shipping to: United States
Delivery in 4 to 7 Business Days

Quick Overview for AIF antibody (AA 131-230) (ABIN724010)

Target

See all AIF (AIFM1) Antibodies
AIF (AIFM1) (Apoptosis-Inducing Factor, Mitochondrion-Associated, 1 (AIFM1))

Reactivity

  • 121
  • 72
  • 72
  • 21
  • 11
  • 11
  • 7
  • 7
  • 7
  • 6
  • 4
  • 4
  • 3
  • 2
  • 1
  • 1
Human, Rat, Mouse, Pig

Host

  • 110
  • 11
  • 2
  • 2
Rabbit

Clonality

  • 95
  • 29
Polyclonal

Conjugate

  • 74
  • 5
  • 4
  • 4
  • 4
  • 4
  • 4
  • 4
  • 4
  • 3
  • 1
  • 1
  • 1
  • 1
  • 1
  • 1
  • 1
  • 1
  • 1
  • 1
  • 1
  • 1
  • 1
  • 1
  • 1
This AIF antibody is un-conjugated

Application

  • 98
  • 50
  • 46
  • 37
  • 27
  • 23
  • 20
  • 19
  • 13
  • 12
  • 4
  • 3
  • 2
  • 1
Western Blotting (WB), ELISA, Immunocytochemistry (ICC), Immunohistochemistry (Paraffin-embedded Sections) (IHC (p)), Immunofluorescence (Paraffin-embedded Sections) (IF (p)), Immunofluorescence (Cultured Cells) (IF (cc)), Immunohistochemistry (Frozen Sections) (IHC (fro))
  • Binding Specificity

    • 14
    • 10
    • 10
    • 8
    • 5
    • 4
    • 4
    • 3
    • 3
    • 2
    • 2
    • 2
    • 1
    • 1
    • 1
    • 1
    • 1
    • 1
    • 1
    • 1
    • 1
    • 1
    • 1
    • 1
    • 1
    • 1
    • 1
    • 1
    • 1
    • 1
    • 1
    AA 131-230

    Cross-Reactivity

    Human, Mouse, Pig, Rat

    Predicted Reactivity

    Dog,Cow,Sheep,Chicken,Rabbit

    Purification

    Purified by Protein A.

    Immunogen

    KLH conjugated synthetic peptide derived from human AIF

    Isotype

    IgG
  • Application Notes

    WB 1:300-5000
    ELISA 1:500-1000
    IHC-P 1:200-400
    IHC-F 1:100-500
    IF(IHC-P) 1:50-200
    IF(IHC-F) 1:50-200
    IF(ICC) 1:50-200
    ICC 1:100-500

    Restrictions

    For Research Use only
  • Format

    Liquid

    Concentration

    1 μg/μL

    Buffer

    0.01M TBS( pH 7.4) with 1 % BSA, 0.02 % Proclin300 and 50 % Glycerol.

    Preservative

    ProClin

    Precaution of Use

    This product contains ProClin: a POISONOUS AND HAZARDOUS SUBSTANCE, which should be handled by trained staff only.

    Storage

    4 °C,-20 °C

    Storage Comment

    Shipped at 4°C. Store at -20°C for one year. Avoid repeated freeze/thaw cycles.

    Expiry Date

    12 months
  • Li, Chen, Lu, Zhang, Guan, Li, Wang: "Anti-Oxidative Stress Activity Is Essential for Amanita caesarea Mediated Neuroprotection on Glutamate-Induced Apoptotic HT22 Cells and an Alzheimer's Disease Mouse Model." in: International journal of molecular sciences, Vol. 18, Issue 8, (2017) (PubMed).

    Gong, Hua, Zhang, Zhao, Tang, Mei, Zhang, Cui, Li: "Hypothermia-induced neuroprotection is associated with reduced mitochondrial membrane permeability in a swine model of cardiac arrest." in: Journal of cerebral blood flow and metabolism : official journal of the International Society of Cerebral Blood Flow and Metabolism, Vol. 33, Issue 6, pp. 928-34, (2013) (PubMed).

  • Target

    AIF (AIFM1) (Apoptosis-Inducing Factor, Mitochondrion-Associated, 1 (AIFM1))

    Alternative Name

    AIF

    Background

    Synonyms: AIF, CMT2D, CMTX4, COWCK, NADMR, NAMSD, PDCD8, COXPD6, Apoptosis-inducing factor 1, mitochondrial, Programmed cell death protein 8, AIFM1

    Background: Functions both as NADH oxidoreductase and as regulator of apoptosis. In response to apoptotic stimuli, it is released from the mitochondrion intermembrane space into the cytosol and to the nucleus, where it functions as a proapoptotic factor in a caspase-independent pathway. In contrast, functions as an antiapoptotic factor in normal mitochondria via its NADH oxidoreductase activity. The soluble form (AIFsol) found in the nucleus induces 'parthanatos' i.e. caspase-independent fragmentation of chromosomal DNA. Interacts with EIF3G,and thereby inhibits the EIF3 machinery and protein synthesis, and activates casapse-7 to amplify apoptosis. Plays a critical role in caspase-independent, pyknotic cell death in hydrogen peroxide-exposed cells. Binds to DNA in a sequence-independent manner.

    Gene ID

    9131

    UniProt

    O95831

    Pathways

    Apoptosis, Positive Regulation of Endopeptidase Activity, Cell RedoxHomeostasis, Smooth Muscle Cell Migration, Warburg Effect
You are here:
Chat with us!