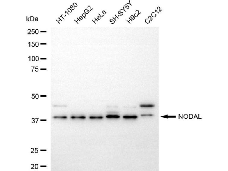
Recombinant Nodal antibody
Quick Overview for Recombinant Nodal antibody (ABIN7799614)
Target
See all Nodal (NODAL) AntibodiesAntibody Type
Reactivity
Host
Clonality
Conjugate
Application
Clone
-
-
Expression System
- HEK-293 Cells
-
Purpose
- NODAL Recombinant Rabbit mAb
-
Cross-Reactivity
- Mouse, Rat
-
Purification
- Affinity Purified
-
Immunogen
- A synthesized peptide derived from human NODAL
-
Isotype
- IgG
-
-
-
-
Application Notes
- Western Blotting (WB): 1:1,000-1:5,000, Flow Cytometry (FCM): 1:200-1:2,000
-
Restrictions
- For Research Use only
-
-
-
Format
- Liquid
-
Buffer
- PBS (pH 7.4) containing 50% glycerol and 0.02% sodium azide.
-
Preservative
- Sodium azide
-
Precaution of Use
- This product contains Sodium azide: a POISONOUS AND HAZARDOUS SUBSTANCE which should be handled by trained staff only.
-
Storage
- -20 °C
-
Storage Comment
- Store at -20 °C for one year.
-
Expiry Date
- 12 months
-
-
- Nodal (NODAL) (Nodal Homolog (NODAL))
-
Alternative Name
- NODAL
-
Molecular Weight
- 40 kDa
-
Gene ID
- 4838
-
UniProt
- Q96S42
-
Pathways
- Intracellular Steroid Hormone Receptor Signaling Pathway, Regulation of Intracellular Steroid Hormone Receptor Signaling, Stem Cell Maintenance, Tube Formation, Positive Regulation of Endopeptidase Activity
Target
-