TNF alpha antibody (AA 1-234)
Quick Overview for TNF alpha antibody (AA 1-234) (ABIN790510)
Target
See all TNF alpha AntibodiesReactivity
Host
Clonality
Conjugate
Application
Clone
-
-
Binding Specificity
- AA 1-234
-
Specificity
- Human TNF
-
Purification
- Purified from ascites by Protein A
-
Immunogen
-
TNF (AAH28148, 1 a.a. ~ 234 a.a) full length recombinant protein with GST tag. MW of the GST tag alone is 26 KDa.
Type of Immunogen: Recombinant protein -
Isotype
- IgG1 kappa
-
-
-
-
Application Notes
-
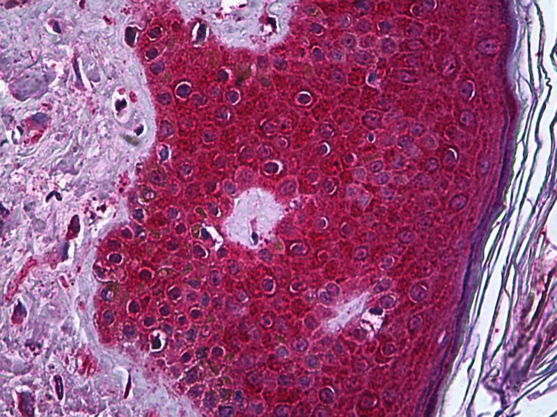
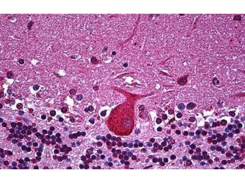
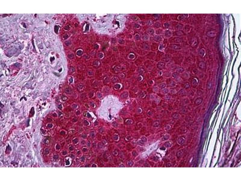
Approved: ELISA, IHC, IHC-P (5 μg/mL), WB (1:500 - 1:1000)
Usage: Immunohistochemistry: Formalin-fixed paraffin-embedded sections. Sandwich ELISA: Recombinant protein. Western Blot using tissue lysates and the recombinant protein used as the immunogen. -
Comment
-
Target Species of Antibody: Human
-
Restrictions
- For Research Use only
-
-
-
Format
- Liquid
-
Concentration
- Lot specific
-
Buffer
- PBS, pH 7.4
-
Handling Advice
- avoid freeze thaw cycles.
-
Storage
- 4 °C,-20 °C
-
Storage Comment
- Short term 4°C, long term aliquot and store at -20°C, avoid freeze-thaw cycles.
-
-
- TNF alpha (Tumor Necrosis Factor alpha (TNF alpha))
-
Alternative Name
- TNF Alpha
-
Background
-
Name/Gene ID: TNF
Family: TNF
Synonyms: TNF, APC1 protein, Cachectin, DIF, TNF Alpha, Tumor necrosis factor-alpha, TNF-alpha, TNF-a, TNFA, Tumor necrosis factor, TNF, macrophage-derived, TNF, monocyte-derived, TNFSF2 -
Gene ID
- 7124
-
UniProt
- P01375
-
Pathways
- NF-kappaB Signaling, Apoptosis, Caspase Cascade in Apoptosis, TLR Signaling, Cellular Response to Molecule of Bacterial Origin, Regulation of Leukocyte Mediated Immunity, Positive Regulation of Immune Effector Process, Production of Molecular Mediator of Immune Response, Positive Regulation of Endopeptidase Activity, Hepatitis C, Protein targeting to Nucleus, Inflammasome
Target
-