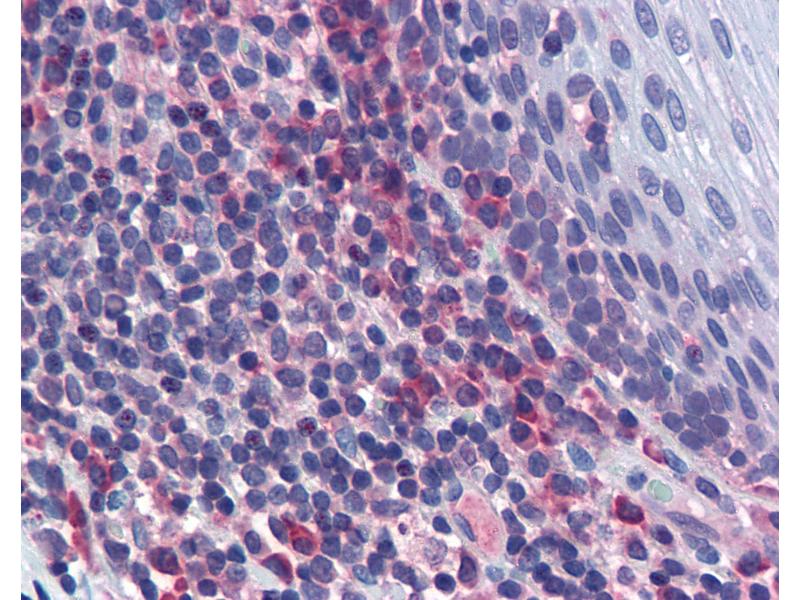
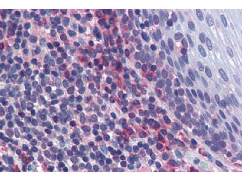
JNK2 antibody (AA 1-425)
Quick Overview for JNK2 antibody (AA 1-425) (ABIN790579)
Target
See all JNK2 (MAPK9) AntibodiesReactivity
Host
Clonality
Conjugate
Application
Clone
-
-
Binding Specificity
- AA 1-425
-
Specificity
- Human JNK2
-
Purification
- Purified from ascites by Protein A
-
Immunogen
-
MAPK9 (AAH32539, 1 a.a. ~ 425 a.a) full length recombinant protein with GST tag. MW of the GST tag alone is 26 KDa.
Type of Immunogen: Recombinant protein -
Isotype
- IgG1 kappa
-
-
-
-
Application Notes
-
Approved: ELISA, IHC, IHC-P (5 μg/mL), WB (1:500 - 1:1000)
Usage: Immunohistochemistry: Formalin-fixed paraffin-embedded sections. RNAi Knockdown: Antibody validated. Sandwich ELISA: Recombinant protein. Western Blot using tissue lysated and the recombinant protein used as the immunogen. -
Comment
-
Target Species of Antibody: Human
-
Restrictions
- For Research Use only
-
-
-
Format
- Liquid
-
Concentration
- Lot specific
-
Buffer
- PBS, pH 7.4. Sourced in Ascites.
-
Handling Advice
- Aliquot to Avoid repeated freezing and thawing.
-
Storage
- -20 °C
-
Storage Comment
- Store at -20°C or lower. Aliquot to avoid freeze-thaw cycles.
-
-
- JNK2 (MAPK9) (Mitogen-Activated Protein Kinase 9 (MAPK9))
-
Alternative Name
- MAPK9 / JNK2 / SAPK
-
Background
-
Name/Gene ID: MAPK9
Subfamily: MAPK
Family: Protein Kinase
Synonyms: MAPK9, C-Jun kinase 2, C-Jun N-terminal kinase 2, JNK2B, JNK2, JNK2ALPHA, MAP kinase 9, p54a, JNK2BETA, PRKM9, SAPK, MAPK 9, p54aSAPK, SAPK1a, JNK-55, JNK2A, Jun kinase -
Gene ID
- 5601
-
UniProt
- P45984
-
Pathways
- MAPK Signaling, WNT Signaling, TLR Signaling, Fc-epsilon Receptor Signaling Pathway, Activation of Innate immune Response, Cellular Response to Molecule of Bacterial Origin, Positive Regulation of Endopeptidase Activity, Hepatitis C, Toll-Like Receptors Cascades, BCR Signaling, S100 Proteins
Target
-