Phone:
+1 877 302 8632
Fax:
+1 888 205 9894 (Toll-free)
E-Mail:
orders@antibodies-online.com

EPH Receptor B6 antibody

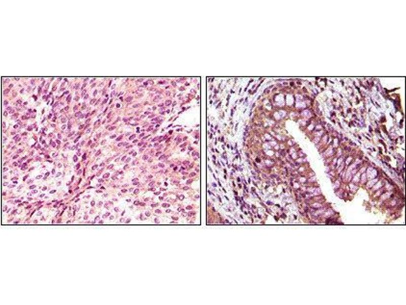
There are 2+ publications for this product available. The Mouse Monoclonal anti-EPH Receptor B6 antibody is suitable to detect EPH Receptor B6 in samples from Human. It has been validated for WB, ELISA and IHC.
Catalog No. ABIN969479
$546.06
Plus shipping costs $50.00
100 μL
Shipping to: United States
Delivery in 3 to 5 Business Days

Quick Overview for EPH Receptor B6 antibody (ABIN969479)

Target

See all EPH Receptor B6 (EPHB6) Antibodies
EPH Receptor B6 (EPHB6)

Reactivity

  • 81
  • 45
  • 20
  • 4
  • 3
  • 2
  • 1
  • 1
  • 1
  • 1
Human

Host

  • 75
  • 5
  • 1
  • 1
  • 1
Mouse

Clonality

  • 76
  • 7
Monoclonal

Conjugate

  • 39
  • 6
  • 6
  • 5
  • 4
  • 3
  • 1
  • 1
  • 1
  • 1
  • 1
  • 1
  • 1
  • 1
  • 1
  • 1
  • 1
  • 1
  • 1
  • 1
  • 1
  • 1
  • 1
  • 1
  • 1
  • 1
This EPH Receptor B6 antibody is un-conjugated

Application

  • 50
  • 38
  • 28
  • 15
  • 13
  • 12
  • 11
  • 8
  • 3
  • 2
  • 2
  • 1
  • 1
Western Blotting (WB), ELISA, Immunohistochemistry (IHC)

Clone

8E7H12
  • Purpose

    EphB6 Antibody

    Purification

    Purified antibody

    Immunogen

    Purified recombinant fragment of EphB6 expressed in E. Coli.

    Isotype

    IgG1
  • Application Notes

    ELISA: 1/10000

    Restrictions

    For Research Use only
  • Format

    Liquid

    Buffer

    Purified antibody in PBS containing 0.03 % sodium azide.

    Preservative

    Sodium azide

    Precaution of Use

    This product contains Sodium azide: a POISONOUS AND HAZARDOUS SUBSTANCE which should be handled by trained staff only.

    Storage

    4 °C,-20 °C

    Storage Comment

    Store at 4°C short term. Aliquot and store at -20°C long term. Avoid freeze/thaw cycles.
  • Ogawa, Wada, Okada, Harada, Nakajima, Pasquale, Tsuyama: "EphB2 and ephrin-B1 expressed in the adult kidney regulate the cytoarchitecture of medullary tubule cells through Rho family GTPases." in: Journal of cell science, Vol. 119, Issue Pt 3, pp. 559-70, (2006) (PubMed).

    Matsuoka, Obama, Kelly, Matsui, Nakamoto: "Biphasic functions of the kinase-defective Ephb6 receptor in cell adhesion and migration." in: The Journal of biological chemistry, Vol. 280, Issue 32, pp. 29355-63, (2005) (PubMed).

  • Target

    EPH Receptor B6 (EPHB6)

    Alternative Name

    EphB6

    Background

    EPH receptor B6 (EphB6), with 1006-amino acid protein(~ 110 kDa), belongs to the ephrin receptor subfamily of the protein-tyrosine kinase family. Eph receptors and ephrin ligands are membrane-bound cell-cell communication molecules with well-defined functions in development. EphB6 is expressed both in a variety of embryonic and adult tissues. EphB6 is a unique member in the Eph family of receptor tyrosine kinases in that its kinase domain contains several alterations in conserved amino acids and is catalytically inactive. EphB6 can both positively and negatively regulate cell adhesion and migration and tyrosine phosphorylation of the receptor by an Src family kinase acts as the molecular switch for the functional transition.

    UniProt

    O15197

    Pathways

    RTK Signaling, Hormone Transport
You are here:
Chat with us!