Phone:
+1 877 302 8632
Fax:
+1 888 205 9894 (Toll-free)
E-Mail:
orders@antibodies-online.com

ATP-Binding Cassette, Sub-Family B (MDR/TAP), Member 4 Antibodies

(ATP-Binding Cassette, Sub-Family B (MDR/TAP), Member 4 (ABCB4))

Choose one of 43 ABCB4 antibodies from our product listing based on 2 publications and 32 validation images.

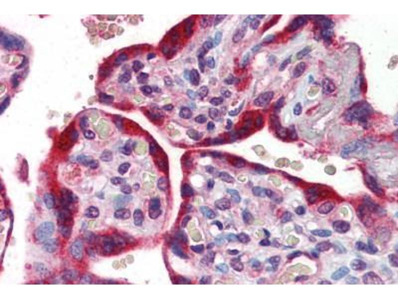
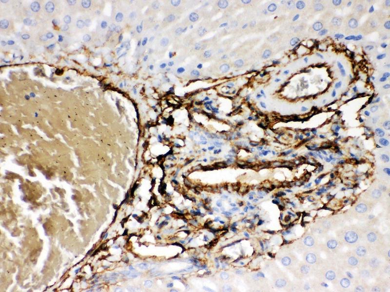
Explore reliable ABCB4 antibodies from a broad selection of renowned manufacturers. Our portfolio enables accurate ABCB4 detection across multiple species, including Human, Mouse, Rat, Cow, Dog, Rabbit, Guinea Pig, Horse, Sheep, Hamster, Monkey, Pig, Zebrafish (Danio rerio), and supports diverse research applications such as WB, ELISA, IHC, IF, IHC (p).

Quickly find the right antibody using our search, filter, and comparison tools. Each product page provides detailed validation data, literature references, and customer feedback. Unlike comparison-only resources, you can conveniently purchase antibodies directly through our site. Choose from polyclonal, monoclonal, or recombinant ABCB4 antibodies derived from various hosts such as Rabbit, Mouse. Browse our products below and order directly to support your research with confidence.

Alternative names for ABCB4 are ABCB4, abcb4, Abcb4, LOC100861170, Abcb1b, LOC101122517.

43 results

ABCB4 Reactivity: Human, Mouse WB, IHC (p) Host: Rabbit Polyclonal RB02209 unconjugated
Pubmed 1 reference
Catalog No. ABIN390060
$451.00
Plus shipping costs $50.00
400 μL (More quantities available)
Shipping to: United States
Delivery in 10 to 12 Business Days
 
ABCB4 Reactivity: Human, Mouse, Rat WB, IHC, FACS Host: Rabbit Polyclonal unconjugated
Catalog No. ABIN3043734
$370.00
Plus shipping costs $50.00
100 μg
Shipping to: United States
Delivery in 4 to 7 Business Days
 
ABCB4 Reactivity: Mouse WB, IHC, ICC, IP Host: Rabbit Polyclonal unconjugated
Catalog No. ABIN7444991
$333.16
Plus shipping costs $50.00
100 μL (More quantities available)
Shipping to: United States
Delivery in 13 to 17 Business Days
 
ABCB4 Reactivity: Human ELISA, IHC, IF Host: Rabbit Polyclonal unconjugated
Catalog No. ABIN7163123
$394.68
Plus shipping costs $50.00
100 μg (More quantities available)
Shipping to: United States
Delivery in 13 to 17 Business Days
 
ABCB4 Reactivity: Human WB, IF Host: Rabbit Polyclonal unconjugated
Pubmed 1 reference
Catalog No. ABIN6136350
$383.00
Plus shipping costs $50.00
100 μL (More quantities available)
Shipping to: United States
Delivery in 7 to 10 Business Days
 
ABCB4 Reactivity: Human, Mouse, Rat, Cow, Dog, Rabbit, Hamster, Monkey WB, IHC, IHC (p) Host: Rabbit Polyclonal unconjugated
Catalog No. ABIN768867
$656.94
Plus shipping costs $50.00
50 μg
Shipping to: United States
Delivery in 11 to 15 Business Days
 
ABCB4 Reactivity: Human, Mouse ELISA, WB, IHC Host: Rabbit Polyclonal unconjugated
Catalog No. ABIN3030051
$612.54
Plus shipping costs $50.00
0.4 mL (More quantities available)
Shipping to: United States
Delivery in 2 to 4 Business Days
 
ABCB4 Reactivity: Human ELISA, IHC Host: Rabbit Polyclonal unconjugated
Catalog No. ABIN7248074
$538.80
Plus shipping costs $50.00
200 μL (More quantities available)
Shipping to: United States
Delivery in 11 to 15 Business Days
 
ABCB4 Reactivity: Human, Mouse WB, IHC (p), EIA Host: Rabbit Polyclonal unconjugated
Catalog No. ABIN358591
$846.00
Plus shipping costs $50.00
0.4 mL
Shipping to: United States
Delivery in 1 to 2 Business Days
 
ABCB4 Reactivity: Human, Mouse, Rat, Cow, Dog, Rabbit, Guinea Pig, Horse, Sheep, Pig WB Host: Rabbit Polyclonal unconjugated
Catalog No. ABIN2776966
$483.54
Plus shipping costs $50.00
100 μL (More quantities available)
Shipping to: United States
Delivery in 2 to 4 Business Days
 
ABCB4 Reactivity: Human, Mouse, Rat, Cow, Dog, Rabbit, Guinea Pig, Horse, Sheep WB Host: Rabbit Polyclonal unconjugated
Catalog No. ABIN2776967
$483.54
Plus shipping costs $50.00
100 μL (More quantities available)
Shipping to: United States
Delivery in 2 to 4 Business Days
 
ABCB4 Reactivity: Human WB Host: Rabbit Polyclonal unconjugated
Catalog No. ABIN3042908
$370.00
Plus shipping costs $50.00
100 μg
Shipping to: United States
Delivery in 4 to 7 Business Days
 
ABCB4 Reactivity: Human WB Host: Mouse Monoclonal Y5T3 unconjugated
Catalog No. ABIN7090763
$453.85
Plus shipping costs $50.00
100 μL
Shipping to: United States
Delivery in 8 to 12 Business Days
 
ABCB4 Reactivity: Human WB, IHC, ICC, IP Host: Rabbit Polyclonal unconjugated
Catalog No. ABIN7445855
$333.16
Plus shipping costs $50.00
100 μL (More quantities available)
Shipping to: United States
Delivery in 13 to 17 Business Days
 
ABCB4 Reactivity: Human, Mouse, Rat ELISA, WB Host: Rabbit Polyclonal unconjugated
Catalog No. ABIN7229616
$379.10
Plus shipping costs $50.00
100 μL (More quantities available)
Shipping to: United States
Delivery in 12 to 16 Business Days
 
ABCB4 Reactivity: Mouse Host: Rabbit Polyclonal FITC
Catalog No. ABIN7177744
$394.68
Plus shipping costs $50.00
100 μg (More quantities available)
Shipping to: United States
Delivery in 13 to 17 Business Days
 
ABCB4 Reactivity: Mouse ELISA Host: Rabbit Polyclonal HRP
Catalog No. ABIN7177745
$394.68
Plus shipping costs $50.00
100 μg (More quantities available)
Shipping to: United States
Delivery in 13 to 17 Business Days
 
ABCB4 Reactivity: Mouse ELISA Host: Rabbit Polyclonal unconjugated
Catalog No. ABIN7177742
$394.68
Plus shipping costs $50.00
100 μg (More quantities available)
Shipping to: United States
Delivery in 13 to 17 Business Days
 
ABCB4 Reactivity: Mouse ELISA Host: Rabbit Polyclonal Biotin
Catalog No. ABIN7177743
$394.68
Plus shipping costs $50.00
100 μg (More quantities available)
Shipping to: United States
Delivery in 13 to 17 Business Days
 
ABCB4 Reactivity: Human ELISA Host: Rabbit Polyclonal Biotin
Catalog No. ABIN7163124
$394.68
Plus shipping costs $50.00
100 μg (More quantities available)
Shipping to: United States
Delivery in 13 to 17 Business Days
 
  • Type Primary
    • Primary
  • Application
    • Western Blotting (WB)
    • ELISA
    • Immunohistochemistry (IHC)
    • Immunofluorescence (IF)
    • Immunohistochemistry (Paraffin-embedded Sections) (IHC (p))
    • Immunocytochemistry (ICC)
    • Immunoprecipitation (IP)
    • Enzyme Immunoassay (EIA)
    • Flow Cytometry (FACS)
    • Immunohistochemistry (Frozen Sections) (IHC (fro))
  • Reactivity
    • Human
    • Mouse
    • Rat
    • Cow
    • Dog
    • Rabbit
    • Guinea Pig
    • Horse
    • Sheep
    • Hamster
    • Monkey
    • Pig
    • Zebrafish (Danio rerio)
  • Cited in publications
  • Images available
  • Carrier free only
  • Host
    • Rabbit
    • Mouse
  • Clonality
    • Polyclonal
    • Monoclonal
  • Clone
    • P3II-26
    • RB02209
    • Y5T3
  • Binding Specificity
    • AA 352-708
    • AA 530-693
    • Center
    • Internal Region
    • AA 632-661
    • AA 1-20
    • AA 20-100
    • AA 601-720
    • AA 624-654
    • N-Term
    • AA 1-110
    • AA 1034-1276
    • AA 1034-1286
    • AA 252-301
    • AA 658-671
    • Middle Region
  • Conjugate
    • Un-conjugated
    • FITC
    • Biotin
    • HRP
    • Alexa Fluor 488
    • Alexa Fluor 555
    • Alexa Fluor 594
    • Alexa Fluor 647
    • Alexa Fluor 680
    • Alexa Fluor 750
    • PE
  • Isotype
    • IgG
    • Ig Fraction
    • IgG1 kappa
    • IgG2b
  • Format
    • Liquid
    • Lyophilized
  • Supplier
    • antibodies-online
    • Signalway
    • Boster Bio
    • USBio
    • Aviva Systems Biology
    • Cohesion Biosciences
    • Abbexa
    • Acris
    • Alomone Labs
    • CUSABIO
    • Kamiya Biomedicals
    • NSJ Bioreagents

Latest Publications for our ATP-Binding Cassette, Sub-Family B (MDR/TAP), Member 4 Antibodies

Yang, Wei, Xia, Liu, Chen, Zhang, Li, Feng, Yu, Zhang, Qu, Xu, Mao, Fan, Ma: "Formononetin ameliorates cholestasis by regulating hepatic SIRT1 and PPARα." in: Biochemical and biophysical research communications, Vol. 512, Issue 4, pp. 770-778, (2020) (PubMed).

Sticova, Neroldova, Kotalova, Subhanova, Jirsa: "ABCB4 disease mimicking morbus Wilson: A potential diagnostic pitfall." in: Biomedical papers of the Medical Faculty of the University Palacký, Olomouc, Czechoslovakia, (2019) (PubMed).

Němcová-Fürstová, Kopperová, Balušíková, Ehrlichová, Brynychová, Václavíková, Daniel, Souček, Kovář: "Characterization of acquired paclitaxel resistance of breast cancer cells and involvement of ABC transporters." in: Toxicology and applied pharmacology, Vol. 310, pp. 215-228, (2016) (PubMed).

Gautier, Tietge, Boverhof, Perton, Le Guern, Masson, Rensen, Havekes, Lagrost, Kuipers: "Hepatic lipid accumulation in apolipoprotein C-I-deficient mice is potentiated by cholesteryl ester transfer protein." in: Journal of lipid research, Vol. 48, Issue 1, pp. 30-40, (2006) (PubMed).

Aliases for ATP-Binding Cassette, Sub-Family B (MDR/TAP), Member 4 Antibodies

ATP binding cassette subfamily B member 4 (ABCB4) Antibodies
ATP-binding cassette, sub-family B (MDR/TAP), member 4 (abcb4) Antibodies
ATP-binding cassette, sub-family B (MDR/TAP), member 4 (Abcb4) Antibodies
ATP binding cassette subfamily B member 4 (Abcb4) Antibodies
ATP-binding cassette, sub-family B (MDR/TAP), member 4 (ABCB4) Antibodies
beta-defensin 1-like (LOC100861170) Antibodies
ATP-binding cassette, sub-family B (MDR/TAP), member 1B (Abcb1b) Antibodies
RUN domain-containing protein 3B (LOC101122517) Antibodies
ABC21 Antibodies
ABCB4 Antibodies
ABCB4a Antibodies
DEFB1 Antibodies
GBD1 Antibodies
ICP3 Antibodies
mdr-2 Antibodies
MDR2 Antibodies
Mdr2 Antibodies
MDR2/3 Antibodies
MDR3 Antibodies
PFIC-3 Antibodies
PGP2 Antibodies
PGP3 Antibodies
Pgy-2 Antibodies
Pgy2 Antibodies
PGY2 Antibodies
PGY3 Antibodies
Pgy3 Antibodies
RUNDC3B Antibodies
zgc:172149 Antibodies
You are here:
Chat with us!