Phone:
+1 877 302 8632
Fax:
+1 888 205 9894 (Toll-free)
E-Mail:
orders@antibodies-online.com

CDK10 Antibodies

(Cyclin-Dependent Kinase 10 (CDK10))

Choose one of 63 CDK10 antibodies from our product listing based on 4 publications and 21 validation images.

Explore reliable CDK10 antibodies from a broad selection of renowned manufacturers. Our portfolio enables accurate CDK10 detection across multiple species, including Human, Mouse, Rat, Cow, Monkey, Zebrafish (Danio rerio), and supports diverse research applications such as WB, ELISA, IF (cc), IF (p), IHC.

Quickly find the right antibody using our search, filter, and comparison tools. Each product page provides detailed validation data, literature references, and customer feedback. Unlike comparison-only resources, you can conveniently purchase antibodies directly through our site. Choose from polyclonal, monoclonal, or recombinant CDK10 antibodies derived from various hosts such as Rabbit, Mouse, Goat. Browse our products below and order directly to support your research with confidence.

Alternative names for CDK10 are CDK10, Cdk10, cdk10, LOC5566134, cdk10.L.

63 results

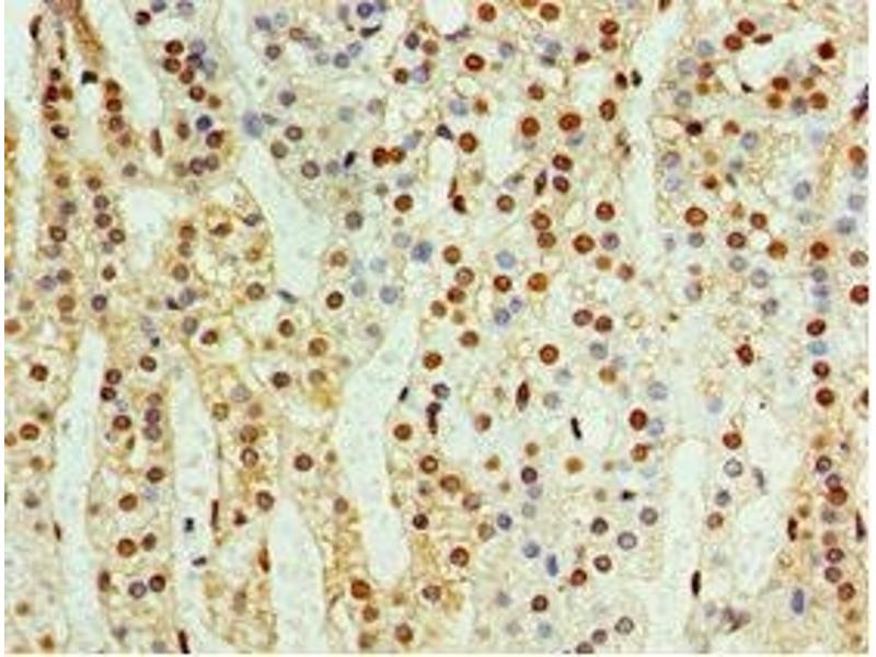
CDK10 Reactivity: Human WB, IHC (p) Host: Rabbit Polyclonal RB3172 unconjugated
Pubmed 4 references
Catalog No. ABIN391741
$451.00
Plus shipping costs $50.00
400 μL (More quantities available)
Shipping to: United States
Delivery in 10 to 12 Business Days
 
CDK10 Reactivity: Human WB Host: Rabbit Polyclonal unconjugated
Catalog No. ABIN3016469
$383.00
Plus shipping costs $50.00
100 μL (More quantities available)
Shipping to: United States
Delivery in 7 to 10 Business Days
 
CDK10 Reactivity: Human WB Host: Mouse Polyclonal unconjugated
Catalog No. ABIN522012
$520.15
Plus shipping costs $50.00
50 μg
Shipping to: United States
Delivery in 11 to 14 Business Days
 
CDK10 Reactivity: Human ELISA, IHC Host: Rabbit Polyclonal unconjugated
Catalog No. ABIN7148846
$394.68
Plus shipping costs $50.00
100 μL (More quantities available)
Shipping to: United States
Delivery in 13 to 17 Business Days
 
CDK10 Reactivity: Human, Mouse, Rat WB, ELISA, IHC Host: Rabbit Polyclonal unconjugated
Catalog No. ABIN3183837
$402.79
Plus shipping costs $50.00
100 μL (More quantities available)
Shipping to: United States
Delivery in 11 to 15 Business Days
 
CDK10 Reactivity: Human, Mouse, Rat WB, ELISA, ICC, IF Host: Rabbit Polyclonal unconjugated
Catalog No. ABIN6258014
$494.77
Plus shipping costs $50.00
100 μL (More quantities available)
Shipping to: United States
Delivery in 11 to 13 Business Days
 
CDK10 Reactivity: Human, Mouse, Rat WB, ELISA Host: Rabbit Polyclonal unconjugated
Catalog No. ABIN7000113
$142.80
Plus shipping costs $50.00
20 μL
Shipping to: United States
Delivery in 11 to 15 Business Days
 
Verified CDK10 Reactivity: Human WB, ELISA Host: Goat Polyclonal unconjugated
Catalog No. ABIN5539698
$488.25
Plus shipping costs $50.00
100 μg
Shipping to: United States
Delivery in 1 to 3 Business Days
 
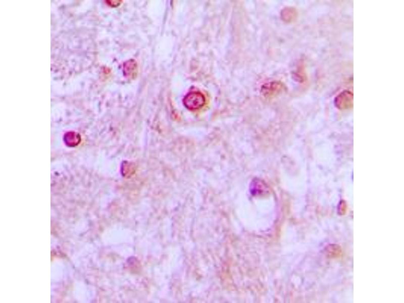
CDK10 Reactivity: Human WB, IHC (p), EIA Host: Rabbit Polyclonal unconjugated
Catalog No. ABIN359653
$846.00
Plus shipping costs $50.00
0.4 mL
Shipping to: United States
Delivery in 1 to 2 Business Days
 
CDK10 Reactivity: Human, Mouse, Rat, Cow, Zebrafish (Danio rerio) WB, IHC Host: Rabbit Polyclonal unconjugated
Catalog No. ABIN7297410
$330.77
Plus shipping costs $50.00
100 μL (More quantities available)
Shipping to: United States
Delivery in 13 to 15 Business Days
 
CDK10 Reactivity: Human WB, IF (cc), IF (p) Host: Rabbit Polyclonal AbBy Fluor® 680
Catalog No. ABIN4999761
$458.46
Plus shipping costs $50.00
100 μL
Shipping to: United States
Delivery in 16 to 20 Business Days
 
CDK10 Reactivity: Human WB, IF (cc), IF (p) Host: Rabbit Polyclonal AbBy Fluor® 750
Catalog No. ABIN4999762
$458.46
Plus shipping costs $50.00
100 μL
Shipping to: United States
Delivery in 16 to 20 Business Days
 
CDK10 Reactivity: Human WB, ICC, IF Host: Rabbit Polyclonal unconjugated
Catalog No. ABIN7465870
$740.00
Plus shipping costs $50.00
100 μL
Shipping to: United States
Delivery in 3 to 5 Business Days
 
CDK10 Reactivity: Human WB, IF (cc), IF (p) Host: Rabbit Polyclonal AbBy Fluor® 488
Catalog No. ABIN889740
$458.46
Plus shipping costs $50.00
100 μL
Shipping to: United States
Delivery in 16 to 20 Business Days
 
CDK10 Reactivity: Human WB, IF (cc), IF (p) Host: Rabbit Polyclonal AbBy Fluor® 555
Catalog No. ABIN889739
$458.46
Plus shipping costs $50.00
100 μL
Shipping to: United States
Delivery in 16 to 20 Business Days
 
CDK10 Reactivity: Human WB, IF (cc), IF (p) Host: Rabbit Polyclonal AbBy Fluor® 647
Catalog No. ABIN889737
$458.46
Plus shipping costs $50.00
100 μL
Shipping to: United States
Delivery in 16 to 20 Business Days
 
CDK10 Reactivity: Human WB, IF (cc), IF (p) Host: Rabbit Polyclonal AbBy Fluor® 350
Catalog No. ABIN889741
$458.46
Plus shipping costs $50.00
100 μL
Shipping to: United States
Delivery in 16 to 20 Business Days
 
CDK10 Reactivity: Human WB, IF (cc), IF (p) Host: Rabbit Polyclonal Cy5
Catalog No. ABIN679947
$470.46
Plus shipping costs $50.00
100 μL
Shipping to: United States
Delivery in 16 to 20 Business Days
 
CDK10 Reactivity: Human WB, IF (cc), IF (p) Host: Rabbit Polyclonal Cy3
Catalog No. ABIN679946
$470.46
Plus shipping costs $50.00
100 μL
Shipping to: United States
Delivery in 16 to 20 Business Days
 
CDK10 Reactivity: Human WB, IF (cc), IF (p) Host: Rabbit Polyclonal Cy5.5
Catalog No. ABIN679948
$470.46
Plus shipping costs $50.00
100 μL
Shipping to: United States
Delivery in 16 to 20 Business Days
 
  • Type Primary
    • Primary
  • Application
    • Western Blotting (WB)
    • ELISA
    • Immunofluorescence (Cultured Cells) (IF (cc))
    • Immunofluorescence (Paraffin-embedded Sections) (IF (p))
    • Immunohistochemistry (IHC)
    • Immunohistochemistry (Paraffin-embedded Sections) (IHC (p))
    • Immunohistochemistry (Frozen Sections) (IHC (fro))
    • Immunocytochemistry (ICC)
    • Immunofluorescence (IF)
    • Enzyme Immunoassay (EIA)
  • Reactivity
    • Human
    • Mouse
    • Rat
    • Cow
    • Monkey
    • Zebrafish (Danio rerio)
  • Cited in publications
  • Images available
  • Preservative free only
  • Carrier free only
  • Host
    • Rabbit
    • Mouse
    • Goat
  • Clonality
    • Polyclonal
    • Monoclonal
  • Clone
    • RB3172
  • Binding Specificity
    • AA 261-360
    • AA 1-32
    • AA 287-314
    • N-Term
    • C-Term
    • AA 1-283
    • AA 1-331
    • AA 15-44
    • AA 255-304
    • AA 286-314
    • AA 51-100
    • Center
    • Glu63
    • Internal Region
  • Conjugate
    • Un-conjugated
    • Biotin
    • FITC
    • HRP
    • APC
    • Alexa Fluor 488
    • Alexa Fluor 555
    • Alexa Fluor 594
    • Alexa Fluor 647
    • Alexa Fluor 680
    • Alexa Fluor 750
    • PE
    • AbBy Fluor® 350
    • AbBy Fluor® 488
    • AbBy Fluor® 555
    • AbBy Fluor® 594
    • AbBy Fluor® 647
    • AbBy Fluor® 680
    • AbBy Fluor® 750
    • Cy3
    • Cy5
    • Cy5.5
    • Cy7
  • Isotype
    • IgG
    • Ig Fraction
  • Protein Type
    • Recombinant Antibody
  • Format
    • Liquid
    • Lyophilized
  • Grade
    • Verified
  • Supplier
    • antibodies-online
    • Signalway
    • Cohesion Biosciences
    • USBio
    • Abbexa
    • Acris
    • Assay Biotechnology Company, Inc.
    • Aviva Systems Biology
    • ProSci

Latest Publications for our CDK10 Antibodies

Hong, Zhang, You, Qiu, Giuliano, Cui, Zhang, Cui: "Elevated C1orf63 expression is correlated with CDK10 and predicts better outcome for advanced breast cancers: a retrospective study." in: BMC cancer, Vol. 15, pp. 548, (2015) (PubMed).

You, Li, Qin, Zhang, Song, Ran, Gao: "Decreased CDK10 expression correlates with lymph node metastasis and predicts poor outcome in breast cancer patients - a short report." in: Cellular oncology (Dordrecht), Vol. 38, Issue 6, pp. 485-91, (2015) (PubMed).

Leman, Magheli, Yong, Netto, Hinz, Getzenberg: "Identification of nuclear structural protein alterations associated with seminomas." in: Journal of cellular biochemistry, Vol. 108, Issue 6, pp. 1274-9, (2009) (PubMed).

Iorns, Turner, Elliott, Syed, Garrone, Gasco, Tutt, Crook, Lord, Ashworth: "Identification of CDK10 as an important determinant of resistance to endocrine therapy for breast cancer." in: Cancer cell, Vol. 13, Issue 2, pp. 91-104, (2008) (PubMed).

Kasten, Giordano: "Cdk10, a Cdc2-related kinase, associates with the Ets2 transcription factor and modulates its transactivation activity." in: Oncogene, Vol. 20, Issue 15, pp. 1832-8, (2001) (PubMed).

Sergère, Thuret, Le Roux, Carosella, Leteurtre: "Human CDK10 gene isoforms." in: Biochemical and biophysical research communications, Vol. 276, Issue 1, pp. 271-7, (2000) (PubMed).

Aliases for CDK10 Antibodies

cyclin dependent kinase 10 (CDK10) Antibodies
cyclin-dependent kinase 10 (Cdk10) Antibodies
cyclin-dependent kinase 10 (cdk10) Antibodies
cyclin-dependent kinase 10 (LOC5566134) Antibodies
CDK family protein kinase (cdk10) Antibodies
hypothetical protein (Cdk10) Antibodies
cyclin-dependent kinase 10 L homeolog (cdk10.L) Antibodies
BC017131 Antibodies
cdc2rk Antibodies
DDBDRAFT_0216532 Antibodies
DDBDRAFT_0229427 Antibodies
DDB_0216532 Antibodies
DDB_0229427 Antibodies
NV16107 Antibodies
PISSLRE Antibodies
zgc:110252 Antibodies
You are here:
Chat with us!