Phone:
+1 877 302 8632
Fax:
+1 888 205 9894 (Toll-free)
E-Mail:
orders@antibodies-online.com

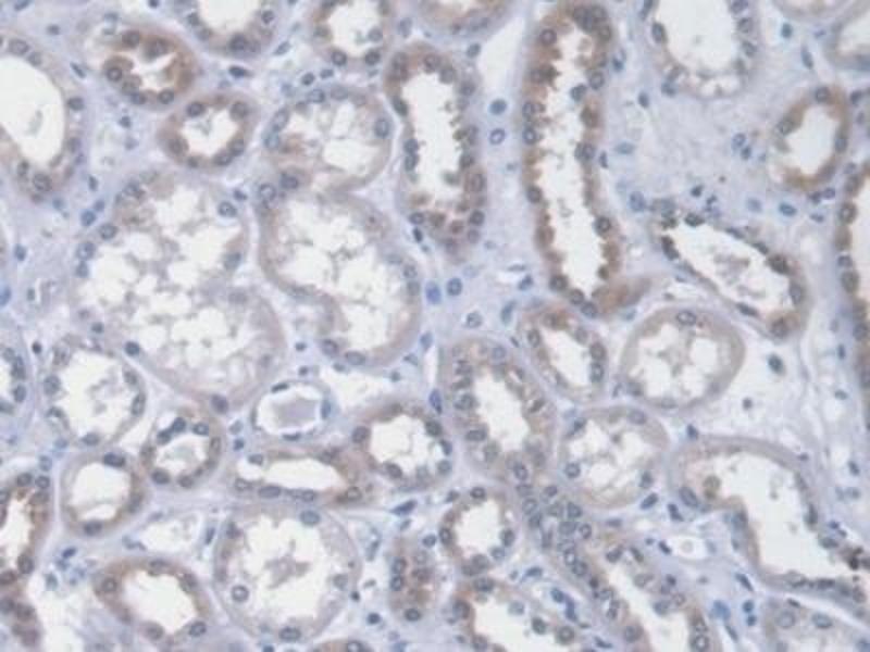
ICA1 Antibodies

(Islet Cell Autoantigen 1, 69kDa (ICA1))

Choose one of 68 ICA1 antibodies from our product listing based on 2 publications and 30 validation images.

Explore reliable ICA1 antibodies from a broad selection of renowned manufacturers. Our portfolio enables accurate ICA1 detection across multiple species, including Human, Mouse, Rat, Dog, Guinea Pig, Horse, Cow, Rabbit, Bat, Monkey, Zebrafish (Danio rerio), Chicken, Pig, Xenopus laevis, and supports diverse research applications such as WB, ELISA, IHC, IF (cc), IF (p).

Quickly find the right antibody using our search, filter, and comparison tools. Each product page provides detailed validation data, literature references, and customer feedback. Unlike comparison-only resources, you can conveniently purchase antibodies directly through our site. Choose from polyclonal, monoclonal, or recombinant ICA1 antibodies derived from various hosts such as Rabbit, Mouse. Browse our products below and order directly to support your research with confidence.

Alternative names for ICA1 are ica1.L, ICA1, ica1, ica69, Ica1, ica1.S.

68 results

ICA1 Reactivity: Human WB Host: Mouse Monoclonal C7 unconjugated
Catalog No. ABIN7427720
$340.17
Plus shipping costs $50.00
100 μL (More quantities available)
Shipping to: United States
Delivery in 13 to 17 Business Days
 
ICA1 Reactivity: Human WB, ELISA Host: Mouse Monoclonal 6G11 unconjugated
Catalog No. ABIN561401
$520.15
Plus shipping costs $50.00
100 μg
Shipping to: United States
Delivery in 11 to 14 Business Days
 
ICA1 Reactivity: Human WB, IHC, ELISA Host: Rabbit Polyclonal unconjugated
Catalog No. ABIN7157091
$394.68
Plus shipping costs $50.00
100 μg (More quantities available)
Shipping to: United States
Delivery in 13 to 17 Business Days
 
ICA1 Reactivity: Human WB, FACS Host: Mouse Polyclonal unconjugated
Catalog No. ABIN7799131
$394.31
Plus shipping costs $50.00
100 μL
Shipping to: United States
Delivery in 3 to 5 Business Days
 
ICA1 Reactivity: Human, Mouse, Rat WB Host: Rabbit Polyclonal unconjugated
Catalog No. ABIN3042731
$370.00
Plus shipping costs $50.00
100 μg
Shipping to: United States
Delivery in 4 to 7 Business Days
 
ICA1 Reactivity: Human, Mouse, Rat IHC, ELISA Host: Rabbit Polyclonal unconjugated
Catalog No. ABIN7247768
$538.80
Plus shipping costs $50.00
200 μL (More quantities available)
Shipping to: United States
Delivery in 11 to 15 Business Days
 
ICA1 Reactivity: Human WB Host: Rabbit Polyclonal RB36301 unconjugated
Catalog No. ABIN1539626
$451.00
Plus shipping costs $50.00
400 μL (More quantities available)
Shipping to: United States
Delivery in 10 to 12 Business Days
 
ICA1 Reactivity: Human WB Host: Rabbit Polyclonal unconjugated
Catalog No. ABIN516769
$504.43
Plus shipping costs $50.00
100 μg
Shipping to: United States
Delivery in 11 to 14 Business Days
 
ICA1 Reactivity: Human, Mouse, Rat WB Host: Rabbit Polyclonal unconjugated
Catalog No. ABIN631932
$1,297.32
Plus shipping costs $50.00
100 μL
Shipping to: United States
Delivery in 9 to 12 Business Days
 
ICA1 Reactivity: Human, Mouse WB Host: Rabbit Polyclonal unconjugated
Catalog No. ABIN632403
$1,297.32
Plus shipping costs $50.00
100 μL
Shipping to: United States
Delivery in 9 to 12 Business Days
 
ICA1 Reactivity: Human WB, ELISA Host: Mouse Polyclonal unconjugated
Catalog No. ABIN561400
$359.85
Plus shipping costs $50.00
50 μL
Shipping to: United States
Delivery in 11 to 14 Business Days
 
ICA1 Reactivity: Human, Mouse, Rat, Dog, Guinea Pig, Horse, Cow, Rabbit, Zebrafish (Danio rerio), Bat, Monkey, Pig WB, IHC, IHC (p) Host: Rabbit Polyclonal unconjugated
Catalog No. ABIN6754949
$476.30
Plus shipping costs $50.00
100 μL
Shipping to: United States
Delivery in 11 to 15 Business Days
 
ICA1 Reactivity: Human, Mouse, Dog, Guinea Pig, Horse, Bat, Monkey, Chicken, Xenopus laevis WB, IHC, IHC (p) Host: Rabbit Polyclonal unconjugated
Catalog No. ABIN6755458
$476.30
Plus shipping costs $50.00
100 μL
Shipping to: United States
Delivery in 11 to 15 Business Days
 
ICA1 Reactivity: Human WB Host: Mouse Polyclonal unconjugated
Catalog No. ABIN7799132
$394.31
Plus shipping costs $50.00
100 μL
Shipping to: United States
Delivery in 3 to 5 Business Days
 
ICA1 Reactivity: Human WB, IHC, ICC, IP Host: Rabbit Polyclonal unconjugated
Catalog No. ABIN1175746
$245.00
Plus shipping costs $50.00
100 μL (More quantities available)
Shipping to: United States
Delivery in 15 to 19 Business Days
 
ICA1 Reactivity: Mouse WB, IHC, ICC, IP Host: Rabbit Polyclonal unconjugated
Catalog No. ABIN1175749
$252.00
Plus shipping costs $50.00
100 μL (More quantities available)
Shipping to: United States
Delivery in 15 to 19 Business Days
 
ICA1 Reactivity: Human, Mouse, Rat, Dog, Guinea Pig, Horse, Cow, Rabbit, Zebrafish (Danio rerio) WB, IHC Host: Rabbit Polyclonal unconjugated
Pubmed 1 reference
Catalog No. ABIN2785861
$483.54
Plus shipping costs $50.00
100 μL (More quantities available)
Shipping to: United States
Delivery in 2 to 4 Business Days
 
ICA1 Reactivity: Human, Mouse, Rat, Dog, Guinea Pig, Horse, Cow, Rabbit WB Host: Rabbit Polyclonal unconjugated
Pubmed 1 reference
Catalog No. ABIN2785862
$483.54
Plus shipping costs $50.00
100 μL (More quantities available)
Shipping to: United States
Delivery in 2 to 4 Business Days
 
ICA1 Reactivity: Human WB, IF (cc), IF (p) Host: Rabbit Polyclonal AbBy Fluor® 680
Catalog No. ABIN5005006
$458.46
Plus shipping costs $50.00
100 μL
Shipping to: United States
Delivery in 16 to 20 Business Days
 
ICA1 Reactivity: Human WB, IF (cc), IF (p) Host: Rabbit Polyclonal AbBy Fluor® 750
Catalog No. ABIN5005007
$458.46
Plus shipping costs $50.00
100 μL
Shipping to: United States
Delivery in 16 to 20 Business Days
 
  • Type Primary
    • Primary
  • Application
    • Western Blotting (WB)
    • ELISA
    • Immunohistochemistry (IHC)
    • Immunofluorescence (Cultured Cells) (IF (cc))
    • Immunofluorescence (Paraffin-embedded Sections) (IF (p))
    • Immunocytochemistry (ICC)
    • Immunohistochemistry (Paraffin-embedded Sections) (IHC (p))
    • Immunoprecipitation (IP)
    • Immunohistochemistry (Frozen Sections) (IHC (fro))
    • Immunofluorescence (fixed cells) (IF/ICC)
    • Enzyme Immunoassay (EIA)
    • Flow Cytometry (FACS)
  • Reactivity
    • Human
    • Mouse
    • Rat
    • Dog
    • Guinea Pig
    • Horse
    • Cow
    • Rabbit
    • Bat
    • Monkey
    • Zebrafish (Danio rerio)
    • Chicken
    • Pig
    • Xenopus laevis
  • Cited in publications
  • Images available
  • Preservative free only
  • Carrier free only
  • Host
    • Rabbit
    • Mouse
  • Clonality
    • Polyclonal
    • Monoclonal
  • Clone
    • 6G11
    • C10
    • C7
    • RB36301
  • Binding Specificity
    • AA 1-100
    • AA 84-111
    • AA 1-268
    • N-Term
    • AA 1-258
    • C-Term
    • AA 1-110
    • AA 1-257
    • AA 1-482
    • AA 83-111
    • AA 243-276
    • AA 74-123
    • Middle Region
  • Conjugate
    • Un-conjugated
    • Biotin
    • FITC
    • HRP
    • APC
    • AbBy Fluor® 350
    • AbBy Fluor® 488
    • AbBy Fluor® 555
    • AbBy Fluor® 594
    • AbBy Fluor® 647
    • AbBy Fluor® 680
    • AbBy Fluor® 750
    • Alexa Fluor 488
    • Alexa Fluor 555
    • Alexa Fluor 594
    • Alexa Fluor 647
    • Alexa Fluor 680
    • Alexa Fluor 750
    • Cy3
    • Cy5
    • Cy5.5
    • Cy7
    • PE
  • Isotype
    • IgG
    • Ig Fraction
    • IgG2a
    • IgG2b kappa
  • Format
    • Liquid
    • Lyophilized
  • Supplier
    • antibodies-online
    • Signalway
    • Abbexa
    • Aviva Systems Biology
    • Cloud-Clone
    • Acris
    • Boster Bio
    • CUSABIO
    • Cohesion Biosciences
    • USBio

Latest Publications for our ICA1 Antibodies

Stadler, Rexhepaj, Singan, Murphy, Pepperkok, Uhlén, Simpson, Lundberg: "Immunofluorescence and fluorescent-protein tagging show high correlation for protein localization in mammalian cells." in: Nature methods, Vol. 10, Issue 4, pp. 315-23, (2013) (PubMed).

Ewing, Chu, Elisma, Li, Taylor, Climie, McBroom-Cerajewski, Robinson, OConnor, Li, Taylor, Dharsee, Ho, Heilbut, Moore, Zhang, Ornatsky, Bukhman, Ethier, Sheng, Vasilescu, Abu-Farha, Lambert, Duewel et al.: "Large-scale mapping of human protein-protein interactions by mass spectrometry. ..." in: Molecular systems biology, Vol. 3, pp. 89, (2007) (PubMed).

Aliases for ICA1 Antibodies

islet cell autoantigen 1 L homeolog (ica1.L) Antibodies
islet cell autoantigen 1 (ICA1) Antibodies
islet cell autoantigen 1 (ica1) Antibodies
Islet cell autoantigen 1 (ica69) Antibodies
islet cell autoantigen 1 (Ica1) Antibodies
islet cell autoantigen 1 S homeolog (ica1.S) Antibodies
69kDa Antibodies
DKFZp469G0321 Antibodies
ica1 Antibodies
ICA1 Antibodies
ICA69 Antibodies
Ica69 Antibodies
ICAp69 Antibodies
MGC52730 Antibodies
MGC83241 Antibodies
zgc:92566 Antibodies
You are here:
Chat with us!